Suppr超能文献

基于纳米制剂的1,2,3-三唑磺酰胺用于抗研究。 不过这段英文表述似乎不太完整准确,可能会影响对其确切含义的理解 。

Nanoformulation-Based 1,2,3-Triazole Sulfonamides for Anti- Study.

作者信息

Arafa Fadwa M, Said Heba, Osman Doaa, Rezki Nadjet, Aouad Mohamed R, Hagar Mohamed, Osman Mervat, Elwakil Bassma H, Jaremko Mariusz, Tolba Mona Mohamed

机构信息

Department of Medical Parasitology, Faculty of Medicine, Alexandria University, Alexandria 21577, Egypt.

Department of Parasitology, Medical Research Institute, Alexandria University, Alexandria 21561, Egypt.

出版信息

Trop Med Infect Dis. 2023 Aug 7;8(8):401. doi: 10.3390/tropicalmed8080401.

Abstract

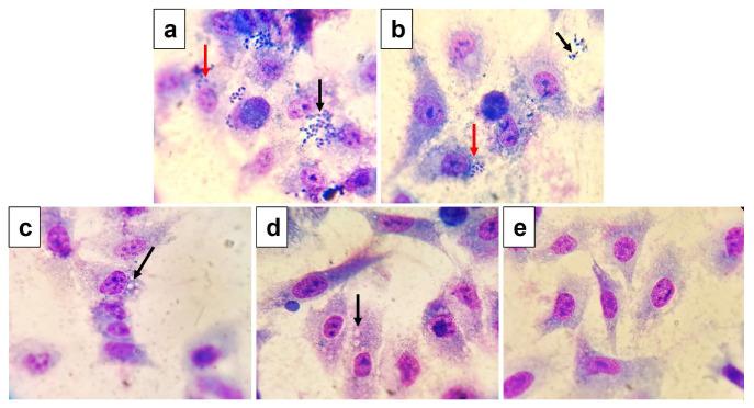
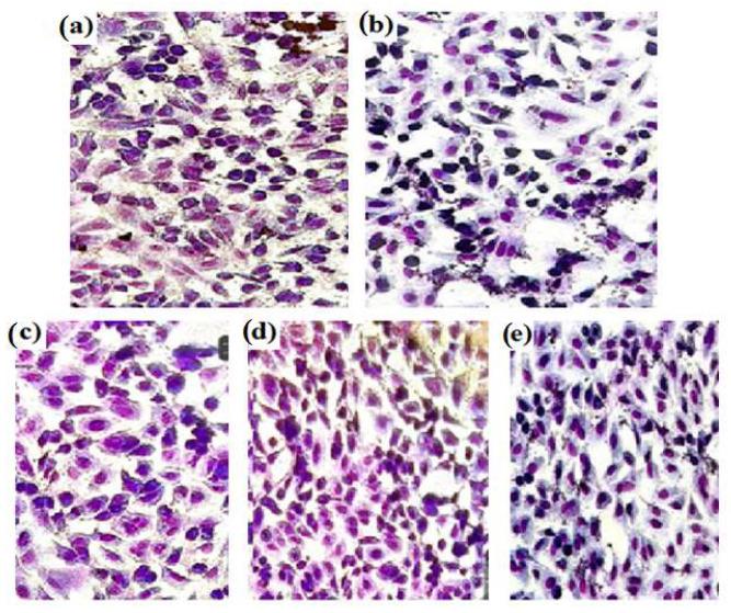
is deemed a successful parasite worldwide with a wide range of hosts. Currently, a combination of pyrimethamine and sulfadiazine serves as the first-line treatment; however, these drugs have serious adverse effects. Therefore, it is imperative to focus on new therapies that produce the desired effect with the lowest possible dose. The designation and synthesis of sulfonamide-1,2,3-triazole hybrids () were performed to create hybrid frameworks. The newly synthesized compounds were loaded on chitosan nanoparticles (CNPs) to form nanoformulations (, , ) for further in vitro investigation as an anti- treatment. The current study demonstrated that all examined compounds were active against in vitro relative to the control drug, sulfadiazine. showed the best impact against with the lowest IC value of 3.64 µg/mL. Using light microscopy, it was found that Vero cells treated with the three nanoformulae showed remarkable morphological improvement, and tachyzoites were rarely seen in the treated cells. Moreover, scanning and transmission electron microscopic studies confirmed the efficacy of the prepared nanoformulae on the parasites. All of them caused parasite ultrastructural damage and altered morphology, suggesting a cytopathic effect and hence confirming their promising anti- activity.

摘要

在全球范围内被认为是一种成功的寄生虫,宿主范围广泛。目前,乙胺嘧啶和磺胺嘧啶联合用药是一线治疗方法;然而,这些药物有严重的副作用。因此,必须关注能以尽可能低的剂量产生预期效果的新疗法。进行了磺胺类-1,2,3-三唑杂化物()的设计与合成以构建杂化骨架。将新合成的化合物负载于壳聚糖纳米颗粒(CNPs)上形成纳米制剂(,,),作为抗治疗方法进行进一步的体外研究。当前研究表明,相对于对照药物磺胺嘧啶,所有检测的化合物在体外均对有活性。对的影响最佳,最低IC值为3.64 µg/mL。使用光学显微镜发现,用三种纳米制剂处理的Vero细胞显示出显著的形态改善,且在处理过的细胞中很少见到速殖子。此外,扫描和透射电子显微镜研究证实了所制备的纳米制剂对寄生虫的疗效。所有纳米制剂均导致寄生虫超微结构损伤并改变形态,表明有细胞病变效应,从而证实了它们有前景的抗活性。

https://cdn.ncbi.nlm.nih.gov/pmc/blobs/d711/10460005/35592183de63/tropicalmed-08-00401-sch001.jpg

文献AI研究员

20分钟写一篇综述,助力文献阅读效率提升50倍。

立即体验

用中文搜PubMed

大模型驱动的PubMed中文搜索引擎

马上搜索

文档翻译

学术文献翻译模型,支持多种主流文档格式。

立即体验