Suppr超能文献

利卡林-B通过损伤线粒体和激活自噬对RH菌株表现出活性。

Licarin-B Exhibits Activity Against the RH Strain by Damaging Mitochondria and Activating Autophagy.

作者信息

Zhang Jili, Si Hongfei, Lv Kun, Qiu Yanhua, Sun Jichao, Bai Yubin, Li Bing, Zhou Xuzheng, Zhang Jiyu

机构信息

Ningbo University School of Medicine, Ningbo, China.

Lanzhou Institute of Husbandry and Pharmaceutical Sciences, Chinese Academy of Agricultural Sciences, Lanzhou, China.

出版信息

Front Cell Dev Biol. 2021 Jun 11;9:684393. doi: 10.3389/fcell.2021.684393. eCollection 2021.

Abstract

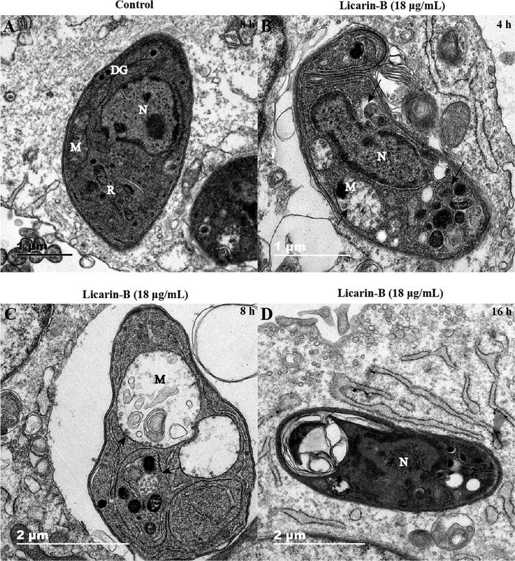
is an obligate intracellular pathogen that infects warm-blooded animals and humans. However, side effects limit toxoplasmosis treatment, and new drugs with high efficiency and low toxicity need to be developed. Natural products found in plants have become a useful source of drugs for toxoplasmosis. In this study, twenty natural compounds were screened for anti- activity by Giemsa staining or real-time fluorescence quantitative polymerase chain reaction (qPCR) . Among these, licarin-B from nutmeg exhibited excellent anti- activity, inhibiting invasion and proliferation in a dose-dependent manner, with an EC of 14.05 ± 3.96 μg/mL. In the , licarin-B treatment significantly reduced the parasite burden in tissues compared to no treatment, protected the 90% infected mice from to death at 50 mg/kg.bw. Flow cytometry analysis suggested a significant reduction in survival after licarin-B treatment. Ultrastructural changes in were observed by transmission electron microscopy (TEM), as licarin-B induced mitochondrial swelling and formation of cytoplasmic vacuoles, an autophagosome-like double-membrane structure and extensive clefts around the nucleus. Furthermore, MitoTracker Red CMXRos, MDC, and DAPI staining showed that licarin-B promoted mitochondrial damage, autophagosome formation, and nuclear disintegration, which were consistent with the TEM observations. Together, these findings indicate that licarin-B is a promising anti- agent that potentially functions by damaging mitochondria and activating autophagy, leading to death.

摘要

是一种专性细胞内病原体,可感染温血动物和人类。然而,副作用限制了弓形虫病的治疗,需要开发高效低毒的新药。植物中的天然产物已成为治疗弓形虫病的有用药物来源。在本研究中,通过吉姆萨染色或实时荧光定量聚合酶链反应(qPCR)筛选了20种天然化合物的抗[弓形虫]活性。其中,肉豆蔻中的licarin-B表现出优异的抗[弓形虫]活性,以剂量依赖方式抑制[弓形虫]的入侵和增殖,半数有效浓度(EC)为14.05±3.96μg/mL。在[实验动物模型]中,与未治疗相比,licarin-B治疗显著降低了组织中的寄生虫负荷,在50mg/kg体重时保护90%受感染小鼠免于死亡。流式细胞术分析表明,licarin-B治疗后[弓形虫]存活率显著降低。通过透射电子显微镜(TEM)观察[弓形虫]的超微结构变化,发现licarin-B诱导线粒体肿胀和细胞质空泡形成,一种自噬体样双膜结构以及[弓形虫]细胞核周围广泛的裂隙。此外,MitoTracker Red CMXRos、MDC和DAPI染色表明,licarin-B促进线粒体损伤、自噬体形成和核解体,这与TEM观察结果一致。总之,这些发现表明licarin-B是一种有前景的抗[弓形虫]剂,其潜在作用机制可能是通过破坏线粒体和激活自噬,导致[弓形虫]死亡。

https://cdn.ncbi.nlm.nih.gov/pmc/blobs/78cc/8226262/8f2d0f738e68/fcell-09-684393-g001.jpg

文献AI研究员

20分钟写一篇综述,助力文献阅读效率提升50倍。

立即体验

用中文搜PubMed

大模型驱动的PubMed中文搜索引擎

马上搜索

文档翻译

学术文献翻译模型,支持多种主流文档格式。

立即体验