Suppr超能文献

一种合成十肽对速殖子的新活性

Novel Activity of a Synthetic Decapeptide Against Tachyzoites.

作者信息

Giovati Laura, Santinoli Claudia, Mangia Carlo, Vismarra Alice, Belletti Silvana, D'Adda Tiziana, Fumarola Claudia, Ciociola Tecla, Bacci Cristina, Magliani Walter, Polonelli Luciano, Conti Stefania, Kramer Laura H

机构信息

Laboratory of Microbiology and Virology, Department of Medicine and Surgery, University of Parma, Parma, Italy.

Department of Veterinary Science, University of Parma, Parma, Italy.

出版信息

Front Microbiol. 2018 Apr 20;9:753. doi: 10.3389/fmicb.2018.00753. eCollection 2018.

Abstract

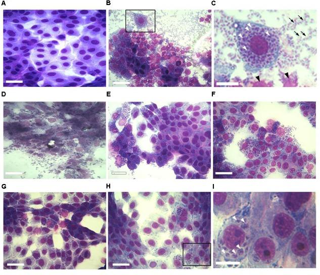
The killer peptide KP is a synthetic decapeptide derived from the sequence of the variable region of a recombinant yeast killer toxin-like microbicidal single-chain antibody. KP proved to exert significant activities against diverse microbial and viral pathogens through different mechanisms of action, but little is known of its effect on apicomplexan protozoa. The aim of the present study was to evaluate the activity of KP against , a globally widespread protozoan parasite of great medical interest. The effect of KP treatment and its potential mechanism of action on were evaluated by various methods, including light microscopy, quantitative PCR, flow cytometry, confocal microscopy, and transmission electron microscopy. In the presence of KP, the number of tachyzoites able to invade Vero cells and the parasite intracellular proliferation were significantly reduced. Morphological observation and analysis of apoptotic markers suggested that KP is able to trigger an apoptosis-like cell death in . Overall, our results indicate that KP could be a promising candidate for the development of new anti- drugs with a novel mechanism of action.

摘要

杀伤肽KP是一种合成十肽,源自重组酵母杀伤毒素样杀微生物单链抗体可变区的序列。KP已被证明通过不同的作用机制对多种微生物和病毒病原体具有显著活性,但对其对顶复门原生动物的影响知之甚少。本研究的目的是评估KP对 (一种全球广泛存在且具有重大医学意义的原生动物寄生虫)的活性。通过各种方法评估了KP处理的效果及其对 的潜在作用机制,包括光学显微镜、定量PCR、流式细胞术、共聚焦显微镜和透射电子显微镜。在存在KP的情况下,能够侵入Vero细胞的速殖子数量以及寄生虫的细胞内增殖显著减少。形态学观察和凋亡标志物分析表明,KP能够在 中引发类似凋亡的细胞死亡。总体而言,我们的结果表明,KP可能是开发具有新作用机制的新型抗 药物的有前景的候选物。

https://cdn.ncbi.nlm.nih.gov/pmc/blobs/f3ec/5920037/23efba378993/fmicb-09-00753-g001.jpg

文献AI研究员

20分钟写一篇综述,助力文献阅读效率提升50倍。

立即体验

用中文搜PubMed

大模型驱动的PubMed中文搜索引擎

马上搜索

文档翻译

学术文献翻译模型,支持多种主流文档格式。

立即体验