Suppr超能文献

4G 手机辐射改变了鸡胚模型中的一些免疫原性和血管基因表达以及大体和微观及生化参数。

4G mobile phone radiation alters some immunogenic and vascular gene expressions, and gross and microscopic and biochemical parameters in the chick embryo model.

机构信息

Department of Anatomy and Histology, Faculty of Veterinary and Animal Science, Hajee Mohammad Danesh Science and Technology University, Dinajpur, Bangladesh.

Department of Pathology and Parasitology, Faculty of Veterinary and Animal Science, Hajee Mohammad Danesh Science and Technology University, Dinajpur, Bangladesh.

出版信息

Vet Med Sci. 2023 Nov;9(6):2648-2659. doi: 10.1002/vms3.1273. Epub 2023 Sep 19.

Abstract

BACKGROUND

The risks to human health have grown over the past 10 years due to the excessive use of mobile phones.

OBJECTIVES

The study was designed to determine the harmful effects of 4G mobile phone radiation on the expression of immunogenic and vascular genes and gross, microscopic and biochemical alterations in the development of chicken embryos.

METHODS

Sixty individuals in the exposure group were subjected to mobile phones with a specific absorption rate of 1.4 W/kg and a frequency of 2100 MHz positioned at a distance of 12 cm in the incubator for 60 min/night for 14 days. The histopathological examination involved hematoxylin and eosin staining, whereas cresyl violet staining was used to evaluate the condition and number of neurons in the brain. The biochemical parameters of amniotic fluid were analysed using the photometry method, and the expression of VEGF-A and immunity genes (AvBD9, IL6) was measured using the real-time PCR (qPCR) technique.

RESULTS

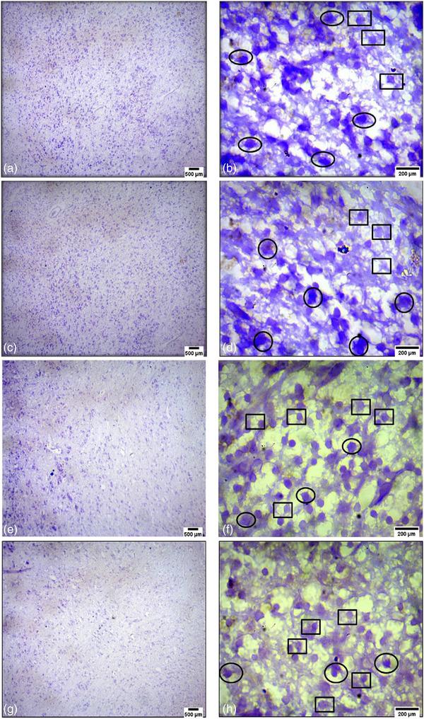
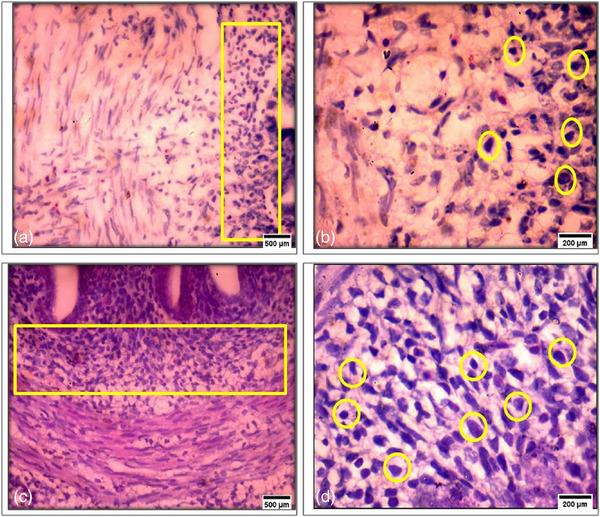
Compared to the control, the exposure group's body weight and length significantly decreased (p < 0.05). Subcutaneous bleeding was seen in the exposure group. Urea, creatinine, alkaline phosphatase, aspartate aminotransferase and alanine aminotransferase levels were all significantly higher than in the control group (p < 0.05). The exposed group showed pathological lesions in the liver and degenerated neurons with lightly stained nuclei in the cerebral cortex. Hyperchromatic neurons were significantly higher in the exposure group (58.8 ± 2.28) compared to the control (6.6 ± 0.44) (p < 0.05). 4G exposure reduced lymphocyte count in the caecal tonsil (86.8 ± 5.38) compared to the control (147.2 ± 9.06) (p < 0.05). Vascular gene mRNA expression was higher, but immune gene expression was lower in the exposed group.

CONCLUSION

Exposure to mobile phone radiation may result in gross, microscopic and biochemical changes, as well as alterations in gene expression that could hinder embryonic development.

摘要

背景

由于过去 10 年来手机的过度使用,人类健康面临的风险日益增加。

目的

本研究旨在确定 4G 手机辐射对免疫和血管基因表达的有害影响,以及对鸡胚发育的大体、微观和生化改变。

方法

将 60 只暴露组个体置于孵化器中,手机吸收率为 1.4 W/kg,频率为 2100 MHz,距离 12 cm,每晚照射 60 分钟,共 14 天。采用苏木精-伊红染色进行组织病理学检查,采用甲苯胺蓝染色评估大脑中神经元的状况和数量。采用分光光度法分析羊水的生化参数,采用实时 PCR(qPCR)技术测量 VEGF-A 和免疫基因(AvBD9、IL6)的表达。

结果

与对照组相比,暴露组的体重和体长显著降低(p < 0.05)。暴露组可见皮下出血。暴露组的尿素、肌酐、碱性磷酸酶、天门冬氨酸氨基转移酶和丙氨酸氨基转移酶水平均显著高于对照组(p < 0.05)。暴露组肝脏出现病理损伤,大脑皮质变性神经元,细胞核染色变浅。暴露组的深染神经元明显高于对照组(58.8 ± 2.28)(p < 0.05)。与对照组相比,4G 暴露降低了盲肠扁桃体中的淋巴细胞计数(86.8 ± 5.38)(p < 0.05)。暴露组血管基因 mRNA 表达升高,免疫基因表达降低。

结论

手机辐射暴露可能导致胚胎发育的大体、微观和生化改变以及基因表达改变。

https://cdn.ncbi.nlm.nih.gov/pmc/blobs/58a4/10650348/de645a4b9384/VMS3-9-2648-g008.jpg

文献AI研究员

20分钟写一篇综述,助力文献阅读效率提升50倍。

立即体验

用中文搜PubMed

大模型驱动的PubMed中文搜索引擎

马上搜索

文档翻译

学术文献翻译模型,支持多种主流文档格式。

立即体验