Suppr超能文献

I 型/III 型 IFN 及相关因子调控 JEV 感染和 BBB 内皮完整性。

Type I/type III IFN and related factors regulate JEV infection and BBB endothelial integrity.

机构信息

State Key Laboratory of Agricultural Microbiology, College of Veterinary Medicine, Huazhong Agricultural University, Wuhan, 430070, Hubei, China.

The Cooperative Innovation Center for Sustainable Pig Production, Huazhong Agricultural University, Wuhan, 430070, Hubei, China.

出版信息

J Neuroinflammation. 2023 Sep 27;20(1):216. doi: 10.1186/s12974-023-02891-x.

Abstract

BACKGROUND

Japanese encephalitis virus (JEV) remains a predominant cause of Japanese encephalitis (JE) globally. Its infection is usually accompanied by disrupted blood‒brain barrier (BBB) integrity and central nervous system (CNS) inflammation in a poorly understood pathogenesis. Productive JEV infection in brain microvascular endothelial cells (BMECs) is considered the initial event of the virus in penetrating the BBB. Type I/III IFN and related factors have been described as negative regulators in CNS inflammation, whereas their role in JE remains ambiguous.

METHODS

RNA-sequencing profiling (RNA-seq), real-time quantitative PCR, enzyme-linked immunosorbent assay, and Western blotting analysis were performed to analyze the gene and protein expression changes between mock- and JEV-infected hBMECs. Bioinformatic tools were used to cluster altered signaling pathway members during JEV infection. The shRNA-mediated immune factor-knockdown hBMECs and the in vitro transwell BBB model were utilized to explore the interrelation between immune factors, as well as between immune factors and BBB endothelial integrity.

RESULTS

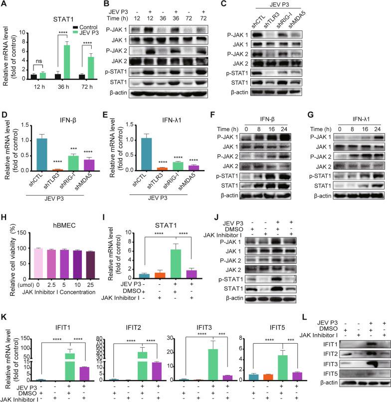
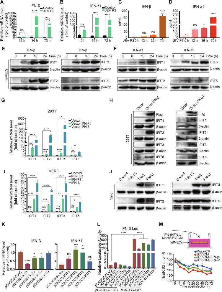
RNA-Seq data of JEV-infected hBMECs identified 417, 1256, and 2748 differentially expressed genes (DEGs) at 12, 36, and 72 h post-infection (hpi), respectively. The altered genes clustered into distinct pathways in gene ontology (GO) terms and KEGG pathway enrichment analysis, including host antiviral immune defense and endothelial cell leakage. Further investigation revealed that pattern-recognition receptors (PRRs, including TLR3, RIG-I, and MDA5) sensed JEV and initiated IRF/IFN signaling. IFNs triggered the expression of interferon-induced proteins with tetratricopeptide repeats (IFITs) via the JAK/STAT pathway. Distinct PRRs exert different functions in barrier homeostasis, while treatment with IFN (IFN-β and IFN-λ1) in hBMECs stabilizes the endothelial barrier by alleviating exogenous destruction. Despite the complex interrelationship, IFITs are considered nonessential in the IFN-mediated maintenance of hBMEC barrier integrity.

CONCLUSIONS

This research provided the first comprehensive description of the molecular mechanisms of host‒pathogen interplay in hBMECs responding to JEV invasion, in which type I/III IFN and related factors strongly correlated with regulating the hBMEC barrier and restricting JEV infection. This might help with developing an attractive therapeutic strategy in JE.

摘要

背景

日本脑炎病毒(JEV)仍然是全球日本脑炎(JE)的主要病因。其感染通常伴随着血脑屏障(BBB)完整性的破坏和中枢神经系统(CNS)炎症,但发病机制尚不清楚。在脑微血管内皮细胞(BMEC)中,JEV 的有效感染被认为是病毒穿透 BBB 的初始事件。I/III 型干扰素和相关因子已被描述为 CNS 炎症的负调节剂,但其在 JE 中的作用仍不清楚。

方法

采用 RNA 测序分析(RNA-seq)、实时定量 PCR、酶联免疫吸附试验和 Western blot 分析,分析 mock 感染和 JEV 感染的 hBMEC 之间的基因和蛋白表达变化。使用生物信息学工具对 JEV 感染过程中改变的信号通路成员进行聚类。利用 shRNA 介导的免疫因子敲低 hBMEC 和体外 transwell BBB 模型,探讨免疫因子之间以及免疫因子与 BBB 内皮完整性之间的相互关系。

结果

JEV 感染 hBMEC 的 RNA-seq 数据分别在感染后 12、36 和 72 小时(hpi)鉴定出 417、1256 和 2748 个差异表达基因(DEGs)。改变的基因在基因本体(GO)术语和 KEGG 途径富集分析中聚类成不同的途径,包括宿主抗病毒免疫防御和内皮细胞渗漏。进一步研究表明,模式识别受体(PRRs,包括 TLR3、RIG-I 和 MDA5)感知 JEV 并启动 IRF/IFN 信号。IFNs 通过 JAK/STAT 途径触发具有四肽重复的干扰素诱导蛋白(IFITs)的表达。不同的 PRR 在屏障稳态中发挥不同的功能,而 IFN-β 和 IFN-λ1 在 hBMEC 中的治疗通过减轻外源性破坏来稳定内皮屏障。尽管存在复杂的相互关系,但 IFITs 被认为在 IFN 介导的 hBMEC 屏障完整性维持中不是必需的。

结论

本研究首次全面描述了 hBMEC 中宿主-病原体相互作用的分子机制,在该机制中,I/III 型 IFN 和相关因子强烈相关,可调节 hBMEC 屏障并限制 JEV 感染。这可能有助于开发 JE 的有吸引力的治疗策略。

https://cdn.ncbi.nlm.nih.gov/pmc/blobs/30d7/10523659/49d32d9fe128/12974_2023_2891_Fig1_HTML.jpg

文献AI研究员

20分钟写一篇综述,助力文献阅读效率提升50倍。

立即体验

用中文搜PubMed

大模型驱动的PubMed中文搜索引擎

马上搜索

文档翻译

学术文献翻译模型,支持多种主流文档格式。

立即体验