Suppr超能文献

嵌合抗原受体 T 细胞治疗复发/难治性弥漫性大 B 细胞淋巴瘤后并发乳糜胸:一例报告。

Chylothorax after chimeric antigen receptor T cell therapy for relapsed and refractory diffuse large B-cell lymphoma: A case report.

机构信息

Department of Internal Medicine, Tri-Service General Hospital, National Defense Medical Center, Taipei City, Taiwan.

Department and Graduate Institute of Biology and Anatomy, National Defense Medical Center, Taipei City, Taiwan.

出版信息

Medicine (Baltimore). 2023 Oct 13;102(41):e35432. doi: 10.1097/MD.0000000000035432.

Abstract

RATIONALE

Anti-CD19-targeted chimeric antigen receptor (CAR) T cell therapy is effective in treating relapsed/refractory diffuse large B-cell lymphoma (DLBCL). This therapy is associated with several side effects that can be life-threatening such as cytokine release syndrome (CRS). However, chylothorax associated with CRS after CAR-T therapy has not been reported.

PATIENT CONCERNS

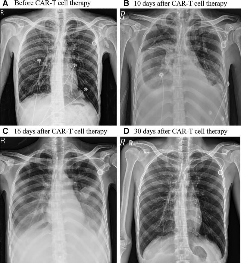
A 23-year-old male diagnosed with DLBCL relapsing after autologous peripheral blood stem cell transplantation was treated with anti-CD19-targeted CAR-T cell therapy. After CAR-T cell transfusion, he developed grade 3 CRS includes fever, dyspnea, tachycardia and hypotension. The symptoms of CRS persisted and chest plain film revealed bilateral pleural effusion.

DIAGNOSIS

Chylothorax was confirmed by the pleural effusion analysis that triglyceride level was 1061 mg/dL. Bacterial and fungal culture of pleural fluid reported no pathogen was detected. Cytological examination of pleural effusion revealed no malignant cells.

INTERVENTIONS

The chylothorax resolved after treatment with intravenous administration of tocilizumab.

OUTCOMES

On 30-day follow-up, the patient was in stable clinical condition with complete remission of DLBCL on whole-body positron emission tomography scan.

LESSONS

We reported a rare case of CAR-T associated chylothorax in a patient with relapsed and refractory DLBCL. Grade 3 CRS with high interleukin-6 level was presented in our patient. The symptoms of CRS were improved with tocilizumab treatment and the chylothorax resolved later on. It is suggested that high interleukin-6 releases might induce chyle leakage resulting from activations of endothelium and coagulation. Our finding highlights the occurrence of chylothorax during the course of CAR-T cell therapy and the importance of proper monitoring and prompt management of this life-threatening side effect.

摘要

背景

抗 CD19 靶向嵌合抗原受体(CAR)T 细胞疗法在治疗复发/难治性弥漫性大 B 细胞淋巴瘤(DLBCL)方面具有显著疗效。然而,CAR-T 治疗后与细胞因子释放综合征(CRS)相关的乳糜胸尚未见报道。

病例报告

一名 23 岁男性,在自体外周血造血干细胞移植后复发 DLBCL,接受了抗 CD19 靶向 CAR-T 细胞治疗。CAR-T 细胞输注后,他出现了 3 级 CRS,包括发热、呼吸困难、心动过速和低血压。CRS 症状持续存在,胸部平片显示双侧胸腔积液。

诊断

胸腔积液分析证实为乳糜胸,甘油三酯水平为 1061mg/dL。胸腔积液的细菌和真菌培养未检出病原体。胸腔积液细胞学检查未发现恶性细胞。

干预措施

静脉注射托珠单抗后,乳糜胸得到缓解。

结果

30 天随访时,患者临床状况稳定,全身正电子发射断层扫描(PET)显示 DLBCL 完全缓解。

结论

我们报告了一例复发难治性 DLBCL 患者在 CAR-T 治疗后发生的罕见 CAR-T 相关乳糜胸病例。该患者表现为 3 级 CRS,白细胞介素-6 水平较高。托珠单抗治疗后 CRS 症状改善,随后乳糜胸得到缓解。这表明高白细胞介素-6 释放可能通过激活内皮细胞和凝血导致乳糜液渗漏。我们的发现强调了在 CAR-T 细胞治疗过程中发生乳糜胸的情况,以及对这种危及生命的副作用进行适当监测和及时处理的重要性。

https://cdn.ncbi.nlm.nih.gov/pmc/blobs/3c48/10578660/ea64f41de70e/medi-102-e35432-g001.jpg

文献AI研究员

20分钟写一篇综述,助力文献阅读效率提升50倍。

立即体验

用中文搜PubMed

大模型驱动的PubMed中文搜索引擎

马上搜索

文档翻译

学术文献翻译模型,支持多种主流文档格式。

立即体验