Suppr超能文献

精氨酸通过延胡索酸促进依马替尼诱导的铁死亡。

Arginine Expedites Erastin-Induced Ferroptosis through Fumarate.

机构信息

State Key Laboratory of Agricultural Microbiology, College of Veterinary Medicine, Huazhong Agricultural University, Wuhan 430070, China.

Hubei Hongshan Laboratory, Wuhan 430070, China.

出版信息

Int J Mol Sci. 2023 Sep 27;24(19):14595. doi: 10.3390/ijms241914595.

Abstract

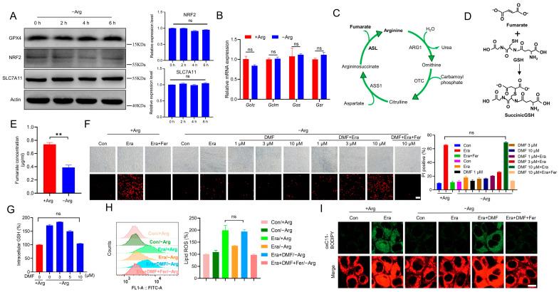
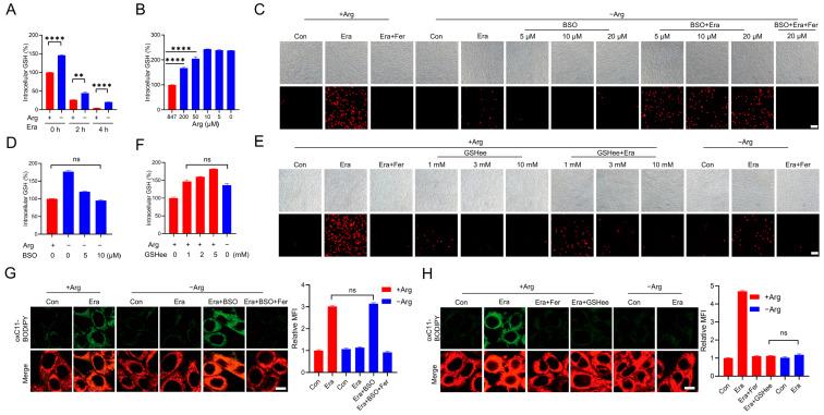
Ferroptosis is a newly characterized form of programmed cell death. The fundamental biochemical feature of ferroptosis is the lethal accumulation of iron-catalyzed lipid peroxidation. It has gradually been recognized that ferroptosis is implicated in the pathogenesis of a variety of human diseases. Increasing evidence has shed light on ferroptosis regulation by amino acid metabolism. Herein, we report that arginine deprivation potently inhibits erastin-induced ferroptosis, but not RSL3-induced ferroptosis, in several types of mammalian cells. Arginine presence reduces the intracellular glutathione (GSH) level by sustaining the biosynthesis of fumarate, which functions as a reactive α,β-unsaturated electrophilic metabolite and covalently binds to GSH to generate succinicGSH. siRNA-mediated knockdown of argininosuccinate lyase, the critical urea cycle enzyme directly catalyzing the biosynthesis of fumarate, significantly decreases cellular fumarate and thus relieves erastin-induced ferroptosis in the presence of arginine. Furthermore, fumarate is decreased during erastin exposure, suggesting that a protective mechanism exists to decelerate GSH depletion in response to pro-ferroptotic insult. Collectively, this study reveals the ferroptosis regulation by the arginine metabolism and expands the biochemical functionalities of arginine.

摘要

铁死亡是一种新鉴定的细胞程序性死亡形式。铁死亡的基本生化特征是铁催化的脂质过氧化的致死积累。人们逐渐认识到,铁死亡与多种人类疾病的发病机制有关。越来越多的证据表明氨基酸代谢参与了铁死亡的调节。在此,我们报告在几种类型的哺乳动物细胞中,精氨酸剥夺可强烈抑制依马替尼诱导的铁死亡,但不抑制 RSL3 诱导的铁死亡。精氨酸的存在通过维持延胡索酸盐的生物合成来降低细胞内谷胱甘肽 (GSH) 水平,延胡索酸盐作为一种反应性α,β-不饱和亲电代谢物起作用,并与 GSH 共价结合生成琥珀酰-GSH。精氨琥珀酸裂解酶(直接催化延胡索酸盐生物合成的尿素循环关键酶)的 siRNA 介导的敲低显著降低了细胞内的延胡索酸盐,从而缓解了有精氨酸存在时依马替尼诱导的铁死亡。此外,在依马替尼暴露期间,延胡索酸盐减少,表明存在一种保护机制以减缓对促铁死亡损伤的 GSH 耗竭。总之,本研究揭示了精氨酸代谢对铁死亡的调节作用,并扩展了精氨酸的生化功能。

https://cdn.ncbi.nlm.nih.gov/pmc/blobs/8f67/10572513/f03a485de73a/ijms-24-14595-g001.jpg

文献AI研究员

20分钟写一篇综述,助力文献阅读效率提升50倍。

立即体验

用中文搜PubMed

大模型驱动的PubMed中文搜索引擎

马上搜索

文档翻译

学术文献翻译模型,支持多种主流文档格式。

立即体验