Suppr超能文献

内质网相关的 SARS-CoV-2 ORF3a 尽管引发强烈的内质网相关降解反应,但仍会引发更高的细胞病变效应。

Endoplasmic reticulum-associated SARS-CoV-2 ORF3a elicits heightened cytopathic effects despite robust ER-associated degradation.

机构信息

Department of Pathology, University of Maryland School of Medicine, Baltimore, Maryland, USA.

Department of Microbiology, Howard University College of Medicine, Washington, DC, USA.

出版信息

mBio. 2024 Jan 16;15(1):e0303023. doi: 10.1128/mbio.03030-23. Epub 2023 Dec 11.

Abstract

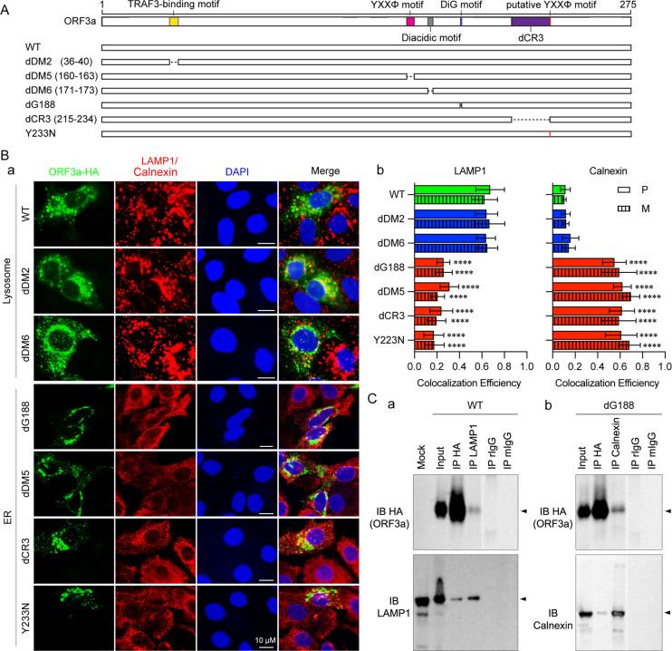
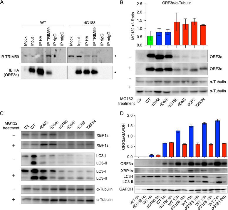
The severe acute respiratory syndrome coronavirus 2 (SARS-CoV-2) pandemic has tragically claimed millions of lives through coronavirus disease 2019 (COVID-19), and there remains a critical gap in our understanding of the precise molecular mechanisms responsible for the associated fatality. One key viral factor of interest is the SARS-CoV-2 ORF3a protein, which has been identified as a potent inducer of host cellular proinflammatory responses capable of triggering the catastrophic cytokine storm, a primary contributor to COVID-19-related deaths. Moreover, ORF3a, much like the spike protein, exhibits a propensity for frequent mutations, with certain variants linked to the severity of COVID-19. Our previous research unveiled two distinct types of ORF3a mutant proteins, categorized by their subcellular localizations, setting the stage for a comparative investigation into the functional and mechanistic disparities between these two types of ORF3a variants. Given the clinical significance and functional implications of the natural ORF3a mutations, the findings of this study promise to provide invaluable insights into the potential roles undertaken by these mutant ORF3a proteins in the pathogenesis of COVID-19.

摘要

严重急性呼吸综合征冠状病毒 2(SARS-CoV-2)大流行通过 2019 年冠状病毒病(COVID-19)造成了数百万人死亡,我们对导致相关死亡率的确切分子机制的理解仍然存在重大差距。一个引人关注的关键病毒因素是 SARS-CoV-2 的 ORF3a 蛋白,它已被确定为宿主细胞促炎反应的有力诱导剂,能够引发灾难性的细胞因子风暴,这是 COVID-19 相关死亡的主要原因之一。此外,ORF3a 与刺突蛋白一样,表现出频繁突变的倾向,某些变体与 COVID-19 的严重程度有关。我们之前的研究揭示了两种不同类型的 ORF3a 突变蛋白,根据它们的亚细胞定位进行分类,为比较这两种类型的 ORF3a 变体在功能和机制上的差异奠定了基础。鉴于天然 ORF3a 突变的临床意义和功能意义,这项研究的结果有望为这些突变 ORF3a 蛋白在 COVID-19 发病机制中的潜在作用提供宝贵的见解。

https://cdn.ncbi.nlm.nih.gov/pmc/blobs/d279/10790703/1db65fd4c63f/mbio.03030-23.f001.jpg

文献AI研究员

20分钟写一篇综述,助力文献阅读效率提升50倍。

立即体验

用中文搜PubMed

大模型驱动的PubMed中文搜索引擎

马上搜索

文档翻译

学术文献翻译模型,支持多种主流文档格式。

立即体验