Suppr超能文献

病例报告:伴有SMARCA4缺陷的胃肠道神经内分泌癌:两例罕见病例的临床病理报告

Case Report: Gastrointestinal neuroendocrine carcinoma with SMARCA4 deficiency: a clinicopathological report of two rare cases.

作者信息

Zhou Ping, Fu Yiyun, Wang Weiya

机构信息

Department of Pathology, West China Hospital, Sichuan University, Chengdu, China.

出版信息

Front Oncol. 2023 Nov 28;13:1290717. doi: 10.3389/fonc.2023.1290717. eCollection 2023.

Abstract

BACKGROUND

Gastrointestinal neuroendocrine carcinoma (GI NEC) is a rare but highly malignant neoplasm with an aggressive clinical course. SMARCA4 is one of the subunits of the SWI/SNF chromatin remodeling complex. SMARCA4 deficiency can occur rarely in subsets of NECs. Reports of the clinicopathological features of GI NECs with SMARCA4 deficiency are limited.

METHODS

In this study, we retrospectively reported two rare cases of GI NEC with SMARCA4 deficiency and described the clinicopathological, radiographic and histopathological features.

RESULTS

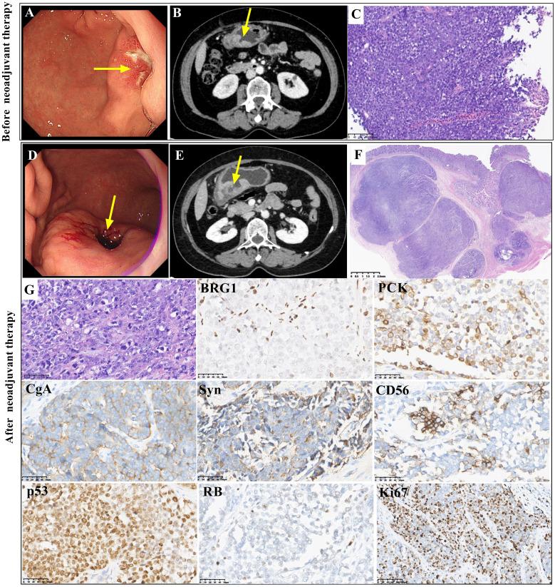
Case 1 was a 43-year-old male with a stage cT3NxM1, IV tumor. Case 2 was a 64-year-old female with a stage cT4aN1M0, IIIA tumor. Both tumors presented as ulcerated masses with infiltration. Pathological examination indicated a solid architecture with poorly differentiated morphology, and complete loss of SMARCA4 (BRG1) was found. Immunohistochemical staining showed positivity for Syn, CgA and CD56. The Ki-67 index was 90% and 70%, respectively. None of the cases had mismatch repair (MMR) deficiency. Case 1 received treatment with chemotherapy and anti-PD-1 immunotherapy. He did not respond to treatment, and died 9 months later. Case 2 received neoadjuvant chemotherapy before surgical treatment, and the tumor showed TRG3 in response to neoadjuvant chemotherapy, chemotherapy and anti-PD-1 immunotherapy were continued after surgical resection. There was no evidence of disease for 10 months.

CONCLUSIONS

GI NEC with SMARCA4 deficiency is a rare entity of gastric NEC. SMARCA4 may be a promising targetable and prognostic biomarker. BRG1 immunohistochemical staining could be performed for GI NECs. Further studies with a larger cohort will be needed.

摘要

背景

胃肠道神经内分泌癌(GI NEC)是一种罕见但高度恶性的肿瘤,临床病程侵袭性强。SMARCA4是SWI/SNF染色质重塑复合体的亚基之一。SMARCA4缺陷在神经内分泌癌的亚群中很少见。关于伴有SMARCA4缺陷的GI NEC临床病理特征的报道有限。

方法

在本研究中,我们回顾性报告了2例罕见的伴有SMARCA4缺陷的GI NEC病例,并描述了其临床病理、影像学和组织病理学特征。

结果

病例1为一名43岁男性,肿瘤分期为cT3NxM1,IV期。病例2为一名64岁女性,肿瘤分期为cT4aN1M0,IIIA期。两个肿瘤均表现为浸润性溃疡肿块。病理检查显示为实体结构,形态学分化差,且发现SMARCA4(BRG1)完全缺失。免疫组化染色显示Syn、CgA和CD56呈阳性。Ki-67指数分别为90%和70%。所有病例均无错配修复(MMR)缺陷。病例1接受了化疗和抗PD-1免疫治疗。他对治疗无反应,9个月后死亡。病例2在手术治疗前接受了新辅助化疗,肿瘤对新辅助化疗反应为TRG3,手术切除后继续进行化疗和抗PD-1免疫治疗。10个月时无疾病证据。

结论

伴有SMARCA4缺陷的GI NEC是胃神经内分泌癌的一种罕见类型。SMARCA4可能是一个有前景的可靶向和预后生物标志物。对于GI NEC可进行BRG1免疫组化染色。需要更大队列的进一步研究。

https://cdn.ncbi.nlm.nih.gov/pmc/blobs/85f7/10715813/93896ede0a28/fonc-13-1290717-g001.jpg

文献AI研究员

20分钟写一篇综述,助力文献阅读效率提升50倍。

立即体验

用中文搜PubMed

大模型驱动的PubMed中文搜索引擎

马上搜索

文档翻译

学术文献翻译模型,支持多种主流文档格式。

立即体验