Suppr超能文献

PGK1 在人非小细胞肺癌中的致癌作用和调控机制。

The oncogenic role and regulatory mechanism of PGK1 in human non-small cell lung cancer.

机构信息

Department of Biochemistry, School of Basic Medicine, Hubei University of Medicine, Shiyan, 442000, Hubei, China.

Department of Clinical Oncology, Taihe Hospital, Hubei University of Medicine, Shiyan, 442000, Hubei, China.

出版信息

Biol Direct. 2024 Jan 2;19(1):1. doi: 10.1186/s13062-023-00448-9.

Abstract

BACKGROUND

Phosphoglycerate kinase 1 (PGK1) is a metabolic enzyme that participates in various biological and pathological processes. Dysregulated PGK1 has been observed in numerous malignancies. However, whether and how PGK1 affects non-small cell lung cancer (NSCLC) is not yet fully elucidated.

METHODS

Herein, the non-metabolic function of PGK1 in NSCLC was explored by integrating bioinformatics analyses, cellular experiments, and nude mouse xenograft models. The upstream regulators and downstream targets of PGK1 were examined using multiple techniques such as RNA sequencing, a dual-luciferase reporter assay, Co-immunoprecipitation, and Western blotting.

RESULTS

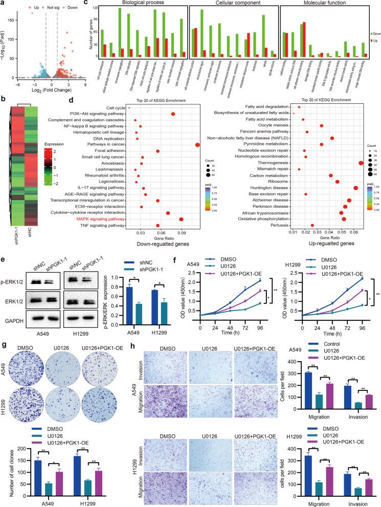
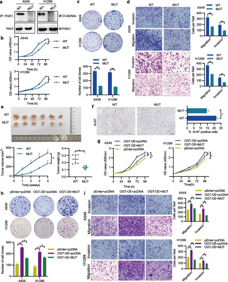
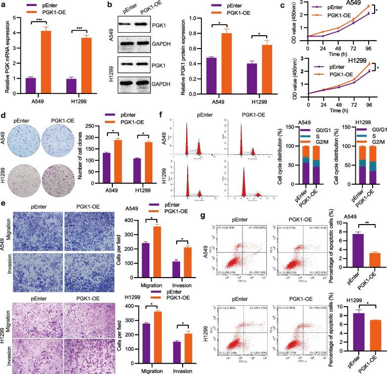
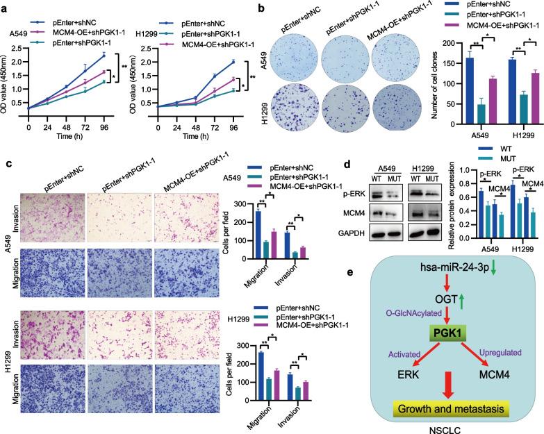
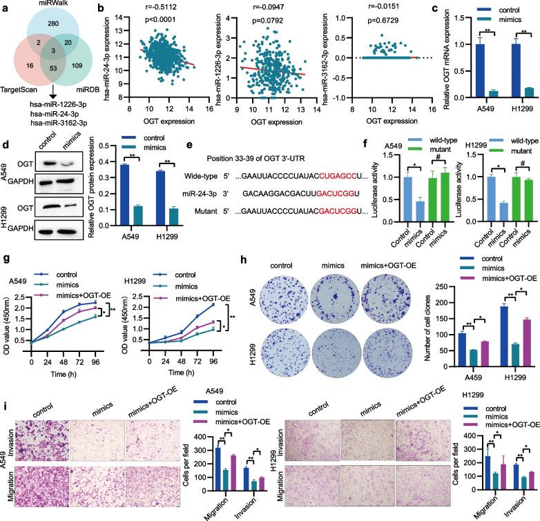
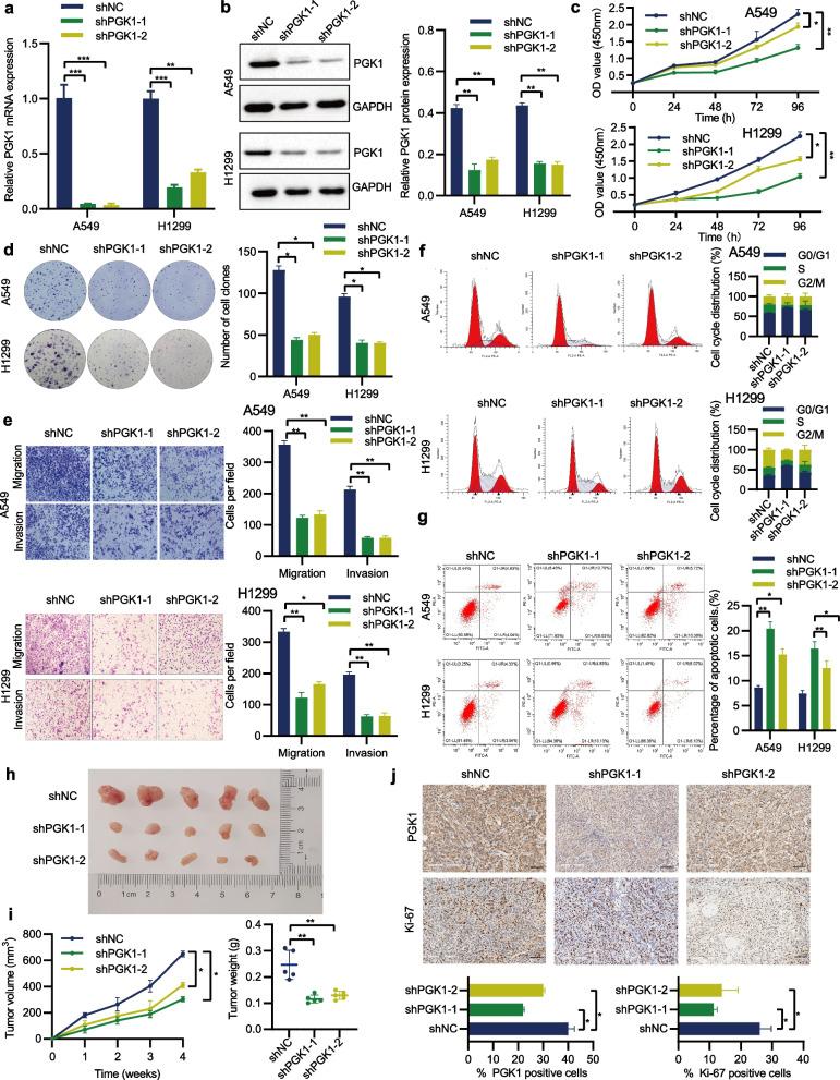
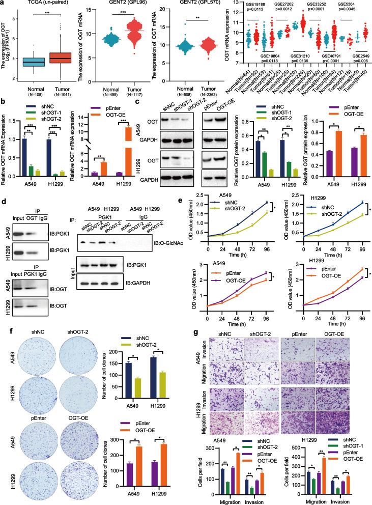
We confirmed that PGK1 was upregulated in NSCLC and this upregulation was associated with poor prognosis. Further in vitro and in vivo experiments demonstrated the promoting effects of PGK1 on NSCLC cell growth and metastasis. Additionally, we discovered that PGK1 interacted with and could be O-GlcNAcylated by OGT. The inhibition of PGK1 O-GlcNAcylation through OGT silencing or mutation at the T255 O-GlcNAcylation site could weaken PGK1-mediated NSCLC cell proliferation, colony formation, migration, and invasion. We also found that a low miR-24-3p level led to an increase in OGT expression. Additionally, PGK1 exerted its oncogenic properties by augmenting ERK phosphorylation and MCM4 expression.

CONCLUSIONS

PGK1 acted as a crucial mediator in controlling NSCLC progression. The miR-24-3p/OGT axis was responsible for PGK1 O-GlcNAcylation, and ERK/MCM4 were the downstream effectors of PGK1. It appears that PGK1 might be an attractive therapeutic target for the treatment of NSCLC.

摘要

背景

磷酸甘油酸激酶 1(PGK1)是一种参与多种生物和病理过程的代谢酶。在许多恶性肿瘤中观察到 PGK1 失调。然而,PGK1 是否以及如何影响非小细胞肺癌(NSCLC)尚未完全阐明。

方法

本文通过整合生物信息学分析、细胞实验和裸鼠异种移植模型,探讨了 PGK1 在 NSCLC 中的非代谢功能。使用 RNA 测序、双荧光素酶报告基因测定、免疫共沉淀和 Western blot 等多种技术检测 PGK1 的上游调节剂和下游靶标。

结果

我们证实 PGK1 在 NSCLC 中上调,这种上调与预后不良有关。进一步的体外和体内实验表明,PGK1 促进 NSCLC 细胞生长和转移。此外,我们发现 PGK1 与 OGT 相互作用,并可被 OGT 进行 O-GlcNAc 化。通过沉默 OGT 或在 T255 O-GlcNAc 化位点突变抑制 PGK1 O-GlcNAc 化,可减弱 PGK1 介导的 NSCLC 细胞增殖、集落形成、迁移和侵袭。我们还发现低水平的 miR-24-3p 导致 OGT 表达增加。此外,PGK1 通过增强 ERK 磷酸化和 MCM4 表达发挥其致癌特性。

结论

PGK1 作为调控 NSCLC 进展的关键介质发挥作用。miR-24-3p/OGT 轴负责 PGK1 的 O-GlcNAc 化,而 ERK/MCM4 是 PGK1 的下游效应物。PGK1 可能成为治疗 NSCLC 的有吸引力的治疗靶点。

https://cdn.ncbi.nlm.nih.gov/pmc/blobs/5a05/10759362/8d73e0f11f23/13062_2023_448_Fig1_HTML.jpg

文献AI研究员

20分钟写一篇综述,助力文献阅读效率提升50倍。

立即体验

用中文搜PubMed

大模型驱动的PubMed中文搜索引擎

马上搜索

文档翻译

学术文献翻译模型,支持多种主流文档格式。

立即体验