Suppr超能文献

eIF4E1b 是一种非典型的 eIF4E,可保护母源休眠 mRNA。

eIF4E1b is a non-canonical eIF4E protecting maternal dormant mRNAs.

机构信息

Research Institute of Molecular Pathology (IMP), Vienna BioCenter (VBC), 1030, Vienna, Austria.

Department of Biology, Institute of Molecular Systems Biology, ETH Zürich, 8093, Zurich, Switzerland.

出版信息

EMBO Rep. 2024 Jan;25(1):404-427. doi: 10.1038/s44319-023-00006-4. Epub 2023 Dec 14.

Abstract

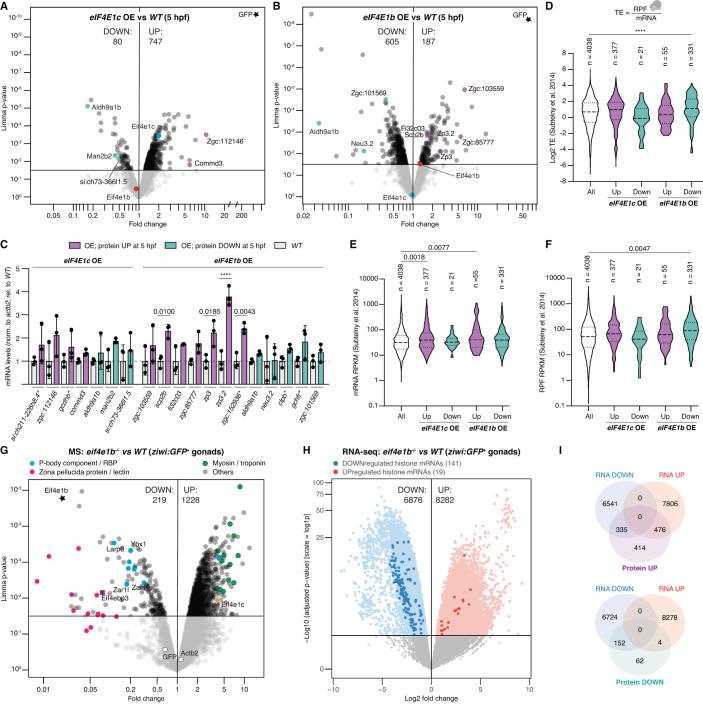
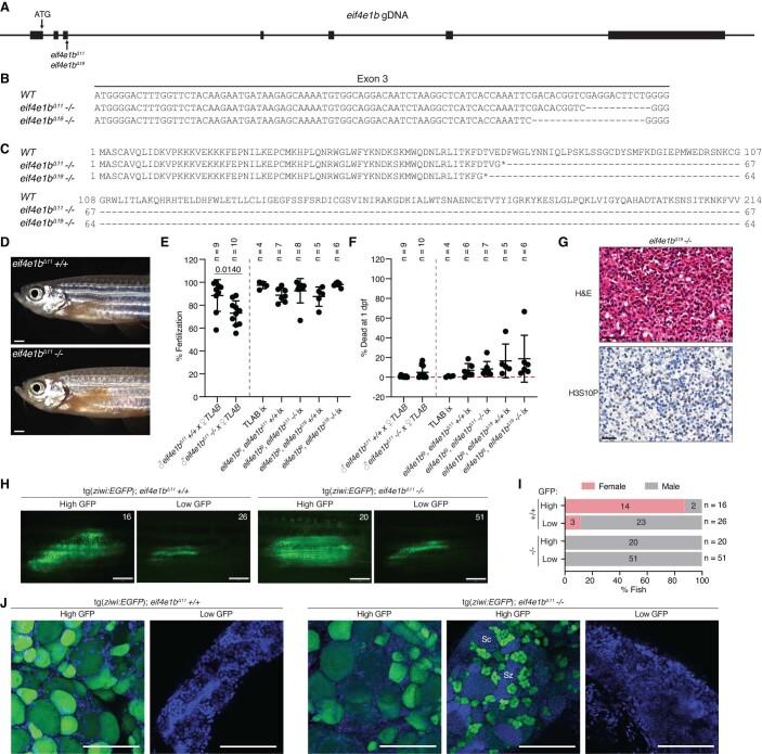
Maternal mRNAs are essential for protein synthesis during oogenesis and early embryogenesis. To adapt translation to specific needs during development, maternal mRNAs are translationally repressed by shortening the polyA tails. While mRNA deadenylation is associated with decapping and degradation in somatic cells, maternal mRNAs with short polyA tails are stable. Here we report that the germline-specific eIF4E paralog, eIF4E1b, is essential for zebrafish oogenesis. eIF4E1b localizes to P-bodies in zebrafish embryos and binds to mRNAs with reported short or no polyA tails, including histone mRNAs. Loss of eIF4E1b results in reduced histone mRNA levels in early gonads, consistent with a role in mRNA storage. Using mouse and human eIF4E1Bs (in vitro) and zebrafish eIF4E1b (in vivo), we show that unlike canonical eIF4Es, eIF4E1b does not interact with eIF4G to initiate translation. Instead, eIF4E1b interacts with the translational repressor eIF4ENIF1, which is required for eIF4E1b localization to P-bodies. Our study is consistent with an important role of eIF4E1b in regulating mRNA dormancy and provides new insights into fundamental post-transcriptional regulatory principles governing early vertebrate development.

摘要

母源 mRNA 对于卵子发生和早期胚胎发生过程中的蛋白质合成至关重要。为了使翻译适应发育过程中的特定需求,母源 mRNA 通过缩短 polyA 尾巴来进行翻译抑制。虽然 mRNA 去腺苷酸化与体细胞中的脱帽和降解有关,但具有短 polyA 尾巴的母源 mRNA 是稳定的。在这里,我们报告了生殖系特异性 eIF4E 同源物 eIF4E1b 对斑马鱼卵子发生是必不可少的。eIF4E1b 在斑马鱼胚胎中定位于 P 体,并与报告具有短或无 polyA 尾巴的 mRNA 结合,包括组蛋白 mRNA。eIF4E1b 的缺失导致早期性腺中组蛋白 mRNA 水平降低,这与 mRNA 储存的作用一致。使用小鼠和人 eIF4E1Bs(体外)和斑马鱼 eIF4E1b(体内),我们表明与经典 eIF4E 不同,eIF4E1b 不与 eIF4G 相互作用以启动翻译。相反,eIF4E1b 与翻译抑制剂 eIF4ENIF1 相互作用,eIF4ENIF1 是 eIF4E1b 定位于 P 体所必需的。我们的研究与 eIF4E1b 在调节 mRNA 休眠中的重要作用一致,并为调控早期脊椎动物发育的基本转录后调控原则提供了新的见解。

https://cdn.ncbi.nlm.nih.gov/pmc/blobs/2711/10883267/ff733519801a/44319_2023_6_Fig1_HTML.jpg

文献AI研究员

20分钟写一篇综述,助力文献阅读效率提升50倍。

立即体验

用中文搜PubMed

大模型驱动的PubMed中文搜索引擎

马上搜索

文档翻译

学术文献翻译模型,支持多种主流文档格式。

立即体验