Suppr超能文献

MRE11 在肿瘤发生过程中使 cGAS 从核小体隔离中释放出来。

MRE11 liberates cGAS from nucleosome sequestration during tumorigenesis.

机构信息

Lineberger Comprehensive Cancer Center, University of North Carolina at Chapel Hill, Chapel Hill, NC, USA.

UNC MD-PhD Program, University of North Carolina at Chapel Hill School of Medicine, Chapel Hill, NC, USA.

出版信息

Nature. 2024 Jan;625(7995):585-592. doi: 10.1038/s41586-023-06889-6. Epub 2024 Jan 10.

Abstract

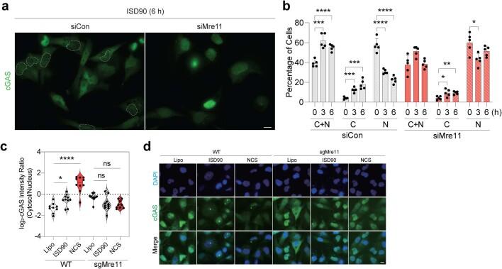
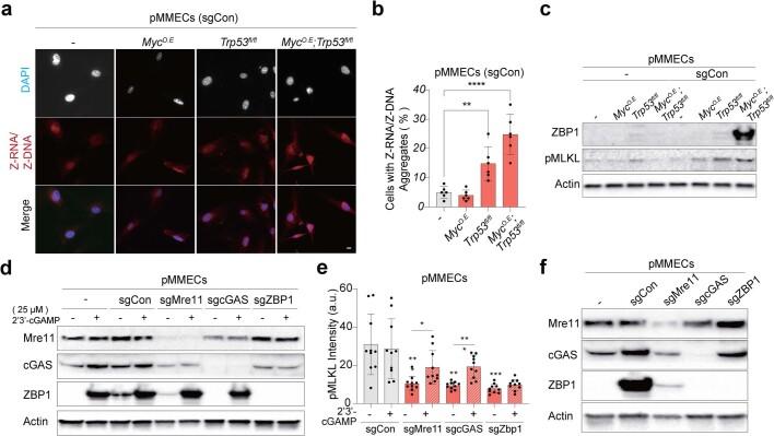
Oncogene-induced replication stress generates endogenous DNA damage that activates cGAS-STING-mediated signalling and tumour suppression. However, the precise mechanism of cGAS activation by endogenous DNA damage remains enigmatic, particularly given that high-affinity histone acidic patch (AP) binding constitutively inhibits cGAS by sterically hindering its activation by double-stranded DNA (dsDNA). Here we report that the DNA double-strand break sensor MRE11 suppresses mammary tumorigenesis through a pivotal role in regulating cGAS activation. We demonstrate that binding of the MRE11-RAD50-NBN complex to nucleosome fragments is necessary to displace cGAS from acidic-patch-mediated sequestration, which enables its mobilization and activation by dsDNA. MRE11 is therefore essential for cGAS activation in response to oncogenic stress, cytosolic dsDNA and ionizing radiation. Furthermore, MRE11-dependent cGAS activation promotes ZBP1-RIPK3-MLKL-mediated necroptosis, which is essential to suppress oncogenic proliferation and breast tumorigenesis. Notably, downregulation of ZBP1 in human triple-negative breast cancer is associated with increased genome instability, immune suppression and poor patient prognosis. These findings establish MRE11 as a crucial mediator that links DNA damage and cGAS activation, resulting in tumour suppression through ZBP1-dependent necroptosis.

摘要

癌基因诱导的复制应激产生内源性 DNA 损伤,激活 cGAS-STING 介导的信号转导和肿瘤抑制。然而,内源性 DNA 损伤激活 cGAS 的精确机制仍然是个谜,特别是考虑到高亲和力组蛋白酸性斑(AP)结合通过空间位阻抑制 cGAS 被双链 DNA(dsDNA)激活。在这里,我们报告 DNA 双链断裂传感器 MRE11 通过在调节 cGAS 激活方面的关键作用抑制乳腺肿瘤发生。我们证明,MRE11-RAD50-NBN 复合物与核小体片段的结合对于将 cGAS 从酸性斑介导的隔离中置换出来是必需的,这使其能够被 dsDNA 动员和激活。因此,MRE11 对于 cGAS 对致癌应激、细胞质 dsDNA 和电离辐射的激活是必不可少的。此外,MRE11 依赖性 cGAS 激活促进 ZBP1-RIPK3-MLKL 介导的坏死,这对于抑制致癌增殖和乳腺肿瘤发生至关重要。值得注意的是,人三阴性乳腺癌中 ZBP1 的下调与基因组不稳定性增加、免疫抑制和患者预后不良有关。这些发现确立了 MRE11 作为一种关键的调节剂,它将 DNA 损伤和 cGAS 激活联系起来,通过 ZBP1 依赖性坏死导致肿瘤抑制。

https://cdn.ncbi.nlm.nih.gov/pmc/blobs/985e/10794148/80fa80a9e8dc/41586_2023_6889_Fig1_HTML.jpg

文献AI研究员

20分钟写一篇综述,助力文献阅读效率提升50倍。

立即体验

用中文搜PubMed

大模型驱动的PubMed中文搜索引擎

马上搜索

文档翻译

学术文献翻译模型,支持多种主流文档格式。

立即体验