Suppr超能文献

仿生工程脂肪干细胞纳米囊泡热敏水凝胶增强毛囊乳头细胞自噬以治疗雄激素性脱发

Bioinspired engineering ADSC nanovesicles thermosensitive hydrogel enhance autophagy of dermal papilla cells for androgenetic alopecia treatment.

作者信息

Xiong Jiachao, Liu Zhixiao, Jia Lingling, Sun Yulin, Guo Rong, Xi Tingting, Li Zihan, Wu Minjuan, Jiang Hua, Li Yufei

机构信息

Department of Plastic Surgery, Shanghai East Hospital, School of Medicine, Tongji University, Shanghai, 200120, China.

Medical College, Tongji University, Shanghai, 200331, China.

出版信息

Bioact Mater. 2024 Mar 1;36:112-125. doi: 10.1016/j.bioactmat.2024.02.023. eCollection 2024 Jun.

Abstract

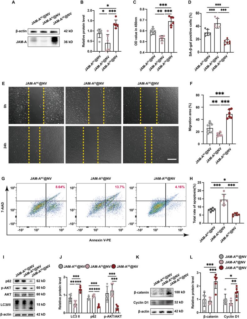
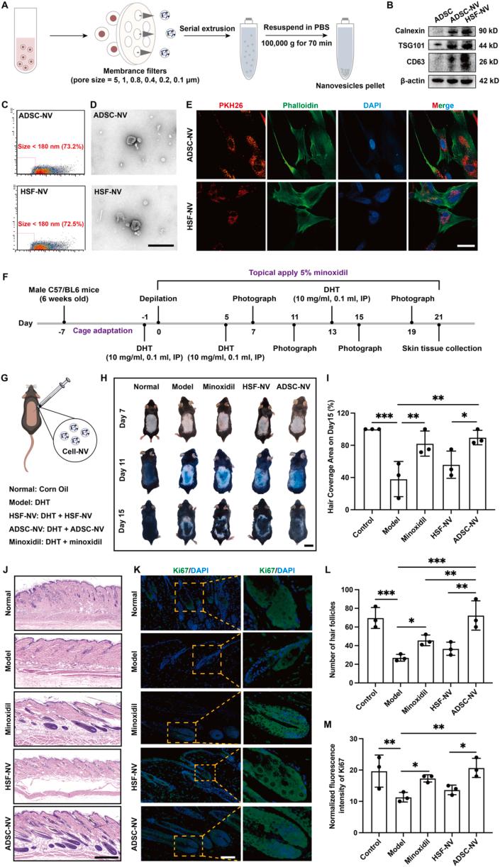
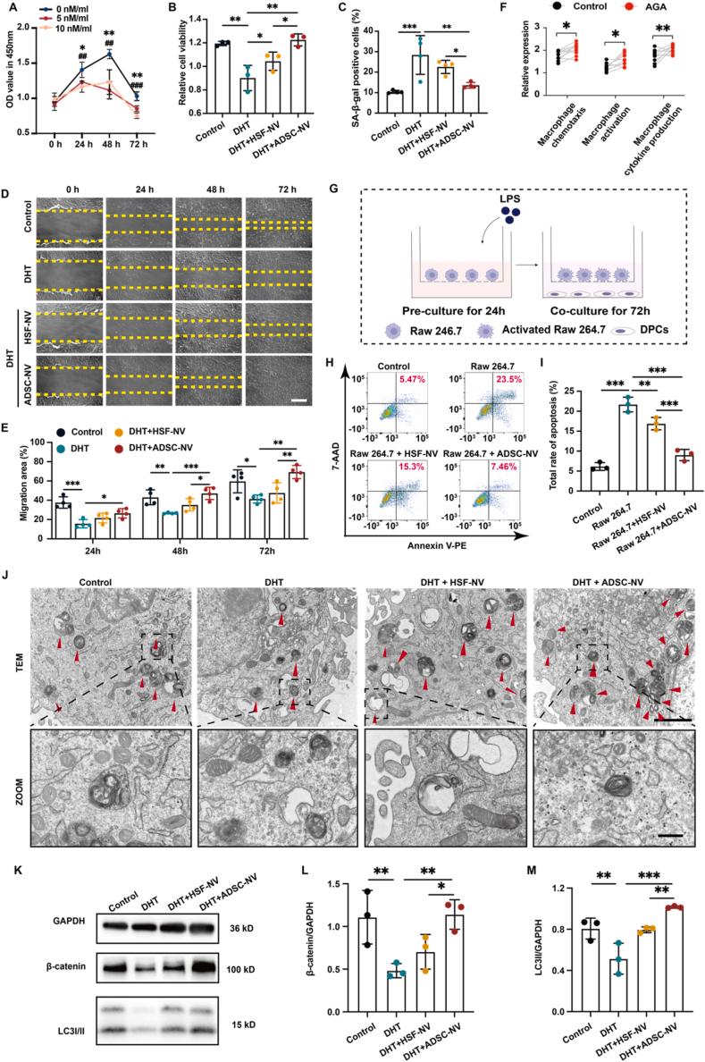
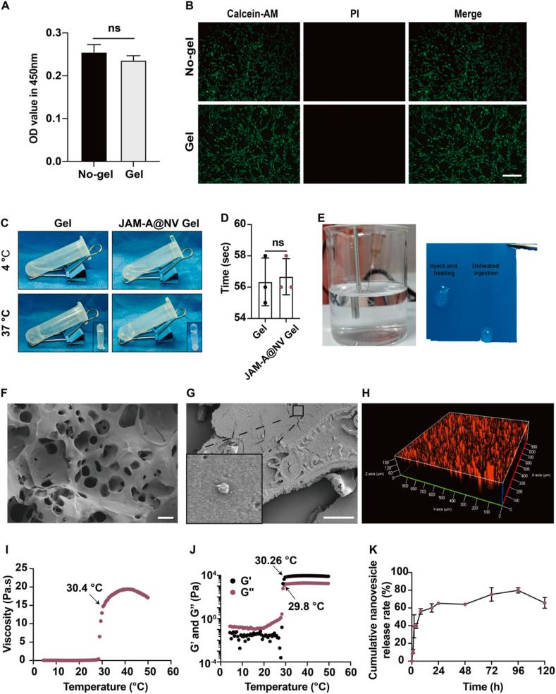
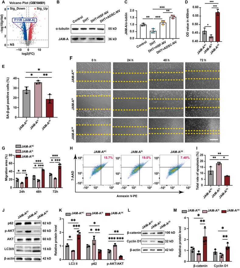
Androgenic alopecia (AGA) is a highly prevalent form of non-scarring alopecia but lacks effective treatments. Stem cell exosomes have similar repair effects to stem cells, suffer from the drawbacks of high cost and low yield yet. Cell-derived nanovesicles acquired through mechanical extrusion exhibit favorable biomimetic properties similar to exosomes, enabling them to efficiently encapsulate substantial quantities of therapeutic proteins. In this study, we observed that JAM-A, an adhesion protein, resulted in a significantly increased the adhesion and resilience of dermal papilla cells to form snap structures against damage caused by dihydrotestosterone and macrophages, thereby facilitating the process of hair regrowth in cases of AGA. Consequently, adipose-derived stem cells were modified to overexpress JAM-A to produce engineered JAM-A overexpressing nanovesicles (JAM-A@NV). The incorporation of JAM-A@NV into a thermosensitive hydrogel matrix (JAM-A@NV Gel) to effectively addresses the limitations associated with the short half-life of JAM-A@NV, and resulted in the achievement of a sustained-release profile for JAM-A@NV. The physicochemical characteristics of the JAM-A@NV Gel were analyzed and assessed for its efficacy in promoting hair regrowth in vivo and vitro. The JAM-A@NV Gel, thus, presents a novel therapeutic approach and theoretical framework for promoting the treatment of low cell adhesion diseases similar to AGA.

摘要

雄激素性脱发(AGA)是一种非常常见的非瘢痕性脱发,但缺乏有效的治疗方法。干细胞外泌体具有与干细胞相似的修复作用,但目前仍存在成本高、产量低的缺点。通过机械挤压获得的细胞衍生纳米囊泡具有与外泌体相似的良好仿生特性,使其能够有效地包裹大量治疗性蛋白质。在本研究中,我们观察到一种粘附蛋白JAM-A可显著提高真皮乳头细胞的粘附力和弹性,形成抵抗二氢睾酮和巨噬细胞损伤的扣合结构,从而促进AGA患者的头发生长过程。因此,对脂肪干细胞进行修饰使其过表达JAM-A,以产生工程化的过表达JAM-A的纳米囊泡(JAM-A@NV)。将JAM-A@NV掺入热敏水凝胶基质(JAM-A@NV凝胶)中,可有效解决与JAM-A@NV半衰期短相关的局限性,并实现JAM-A@NV的缓释特性。分析并评估了JAM-A@NV凝胶的理化特性及其在体内外促进头发生长的功效。因此,JAM-A@NV凝胶为促进治疗类似于AGA的低细胞粘附性疾病提供了一种新的治疗方法和理论框架。

https://cdn.ncbi.nlm.nih.gov/pmc/blobs/3b6e/10911949/bb7f2852f934/ga1.jpg

文献AI研究员

20分钟写一篇综述,助力文献阅读效率提升50倍。

立即体验

用中文搜PubMed

大模型驱动的PubMed中文搜索引擎

马上搜索

文档翻译

学术文献翻译模型,支持多种主流文档格式。

立即体验