Suppr超能文献

多色工具包,用于破译体内钙和 cAMP 的群体编码。

A multicolor suite for deciphering population coding of calcium and cAMP in vivo.

机构信息

Department of Optical Neural and Molecular Physiology, Graduate School of Biostudies, Kyoto University, Kyoto, Japan.

Center for Living Systems Information Science, Graduate School of Biostudies, Kyoto University, Kyoto, Japan.

出版信息

Nat Methods. 2024 May;21(5):897-907. doi: 10.1038/s41592-024-02222-9. Epub 2024 Mar 21.

Abstract

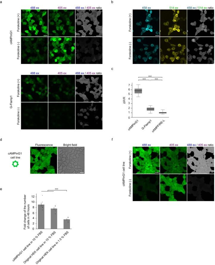
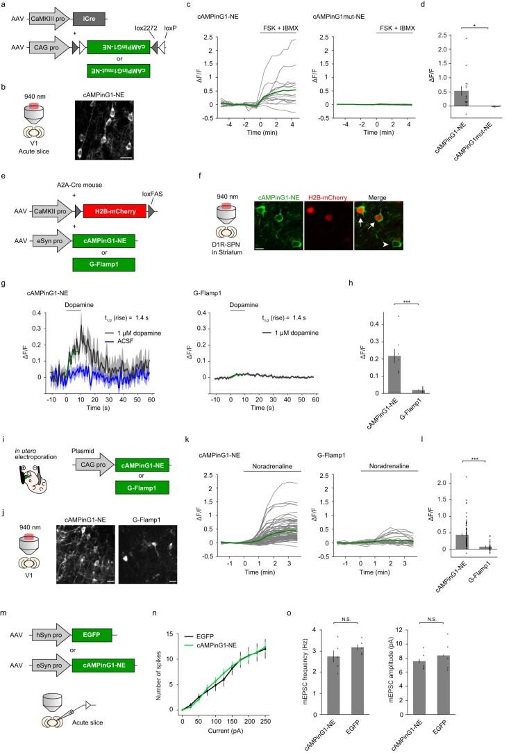
cAMP is a universal second messenger regulated by various upstream pathways including Ca and G-protein-coupled receptors (GPCRs). To decipher in vivo cAMP dynamics, we rationally designed cAMPinG1, a sensitive genetically encoded green cAMP indicator that outperformed its predecessors in both dynamic range and cAMP affinity. Two-photon cAMPinG1 imaging detected cAMP transients in the somata and dendritic spines of neurons in the mouse visual cortex on the order of tens of seconds. In addition, multicolor imaging with a sensitive red Ca indicator RCaMP3 allowed simultaneous measurement of population patterns in Ca and cAMP in hundreds of neurons. We found Ca-related cAMP responses that represented specific information, such as direction selectivity in vision and locomotion, as well as GPCR-related cAMP responses. Overall, our multicolor suite will facilitate analysis of the interaction between the Ca, GPCR and cAMP signaling at single-cell resolution both in vitro and in vivo.

摘要

cAMP 是一种普遍的第二信使,受多种上游途径调节,包括 Ca 和 G 蛋白偶联受体(GPCR)。为了解 cAMP 的体内动态,我们合理设计了 cAMPinG1,这是一种灵敏的遗传编码绿色 cAMP 指示剂,在动态范围和 cAMP 亲和力方面均优于其前身。双光子 cAMPinG1 成像检测到小鼠视觉皮层神经元胞体和树突棘中的 cAMP 瞬变,时间尺度为数十秒。此外,使用灵敏的红色 Ca 指示剂 RCaMP3 进行多色成像,可同时测量数百个神经元中的 Ca 和 cAMP 的群体模式。我们发现了与 Ca 相关的 cAMP 反应,这些反应代表了特定的信息,例如视觉和运动中的方向选择性,以及与 GPCR 相关的 cAMP 反应。总的来说,我们的多色套件将促进在体外和体内以单细胞分辨率分析 Ca、GPCR 和 cAMP 信号之间的相互作用。

https://cdn.ncbi.nlm.nih.gov/pmc/blobs/e14b/11093745/43dfb8c07fc9/41592_2024_2222_Fig1_HTML.jpg

文献AI研究员

20分钟写一篇综述,助力文献阅读效率提升50倍。

立即体验

用中文搜PubMed

大模型驱动的PubMed中文搜索引擎

马上搜索

文档翻译

学术文献翻译模型,支持多种主流文档格式。

立即体验