Suppr超能文献

SARS-CoV-2 包膜蛋白通过增加细胞内 Cl-浓度损害气道上皮屏障功能并加剧气道炎症。

SARS-CoV-2 envelope protein impairs airway epithelial barrier function and exacerbates airway inflammation via increased intracellular Cl concentration.

机构信息

State Key Laboratory of Respiratory Disease, National Clinical Research Center for Respiratory Disease, National Center for Respiratory Medicine, Department of Respiratory and Critical Care Medicine, Guangzhou Institute of Respiratory Health, The First Affiliated Hospital of Guangzhou Medical University, Guangzhou, P. R. China.

Department of Thoracic Surgery, Guangzhou Institute for Respiratory Health, The First Affiliated Hospital of Guangzhou Medical University, Guangzhou, P. R. China.

出版信息

Signal Transduct Target Ther. 2024 Mar 25;9(1):74. doi: 10.1038/s41392-024-01753-z.

Abstract

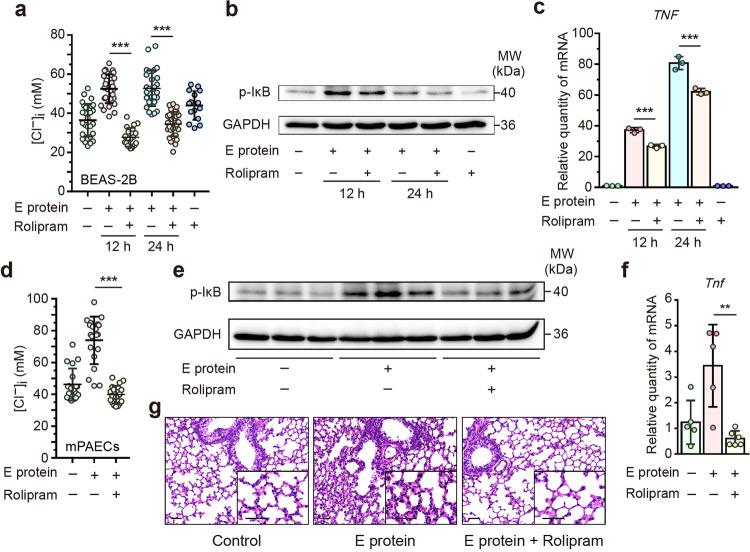
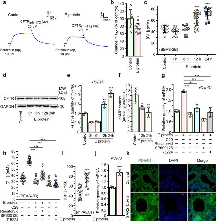
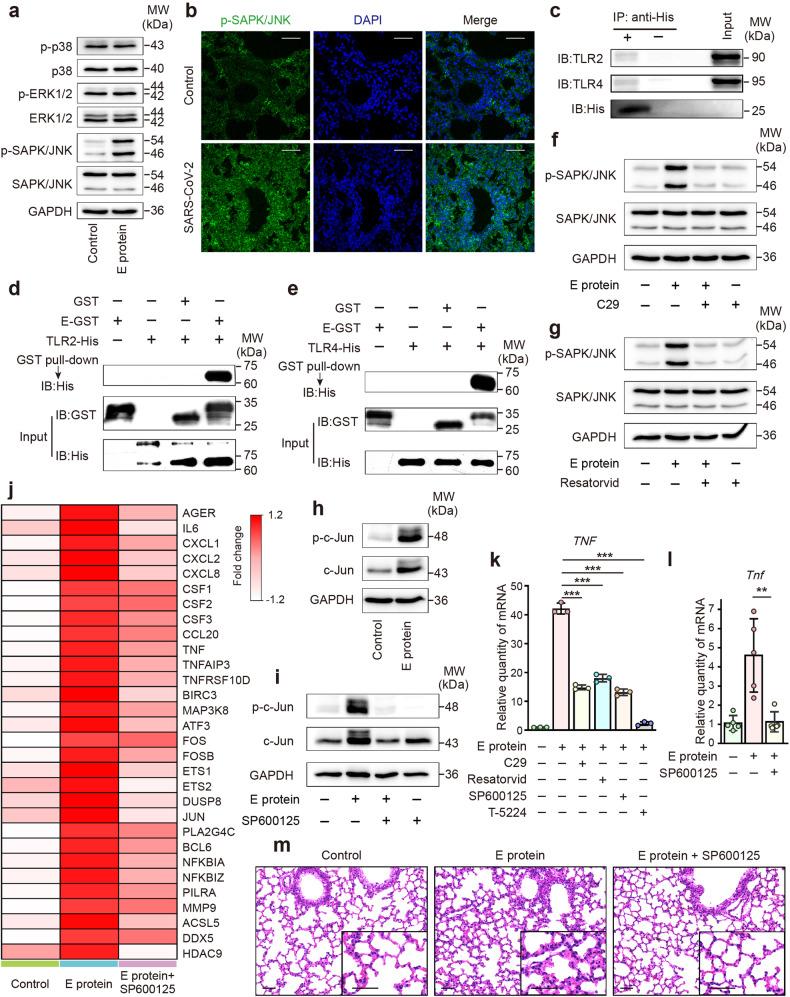
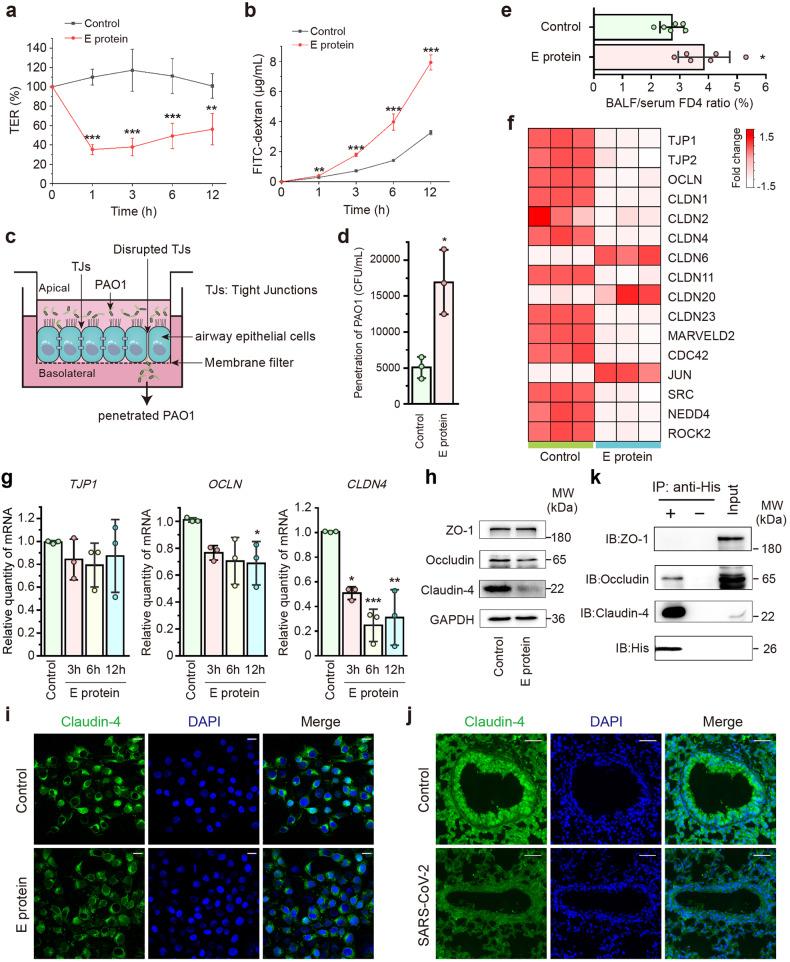
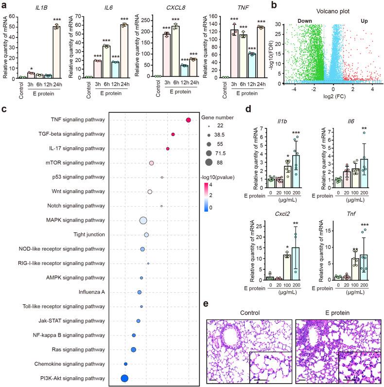
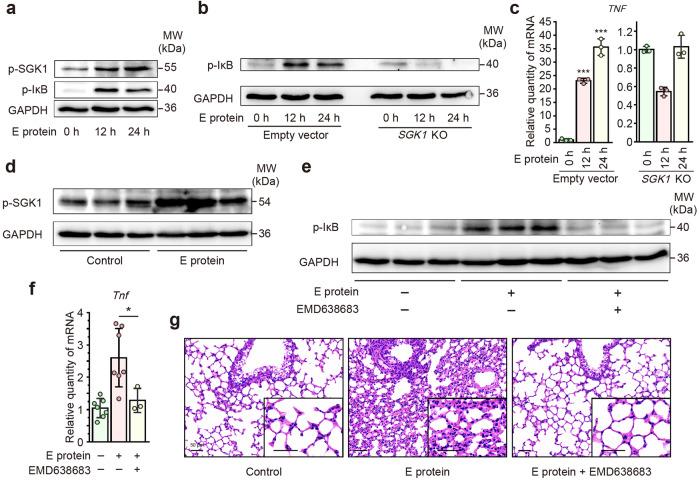
Severe acute respiratory syndrome coronavirus 2 (SARS-CoV-2) infection disrupts the epithelial barrier and triggers airway inflammation. The envelope (E) protein, a core virulence structural component of coronaviruses, may play a role in this process. Pathogens could interfere with transepithelial Cl transport via impairment of the cystic fibrosis transmembrane conductance regulator (CFTR), which modulates nuclear factor κB (NF-κB) signaling. However, the pathological effects of SARS-CoV-2 E protein on airway epithelial barrier function, Cl transport and the robust inflammatory response remain to be elucidated. Here, we have demonstrated that E protein down-regulated the expression of tight junctional proteins, leading to the disruption of the airway epithelial barrier. In addition, E protein triggered the activation of Toll-like receptor (TLR) 2/4 and downstream c-Jun N-terminal kinase (JNK) signaling, resulting in an increased intracellular Cl concentration ([Cl]) via up-regulating phosphodiesterase 4D (PDE4D) expression in airway epithelial cells. This elevated [Cl] contributed to the heightened airway inflammation through promoting the phosphorylation of serum/glucocorticoid regulated kinase 1 (SGK1). Moreover, blockade of SGK1 or PDE4 alleviated the robust inflammatory response induced by E protein. Overall, these findings provide novel insights into the pathogenic role of SARS-CoV-2 E protein in airway epithelial damage and the ongoing airway inflammation during SARS-CoV-2 infection.

摘要

严重急性呼吸综合征冠状病毒 2(SARS-CoV-2)感染会破坏上皮屏障并引发气道炎症。包膜(E)蛋白是冠状病毒的核心毒力结构成分,它可能在这个过程中发挥作用。病原体可能通过损害囊性纤维化跨膜电导调节因子(CFTR)来干扰跨上皮氯离子(Cl)转运,CFTR 调节核因子 κB(NF-κB)信号。然而,SARS-CoV-2 E 蛋白对气道上皮屏障功能、Cl 转运和强烈炎症反应的病理影响仍有待阐明。在这里,我们已经证明 E 蛋白下调了紧密连接蛋白的表达,导致气道上皮屏障的破坏。此外,E 蛋白触发了 Toll 样受体(TLR)2/4 和下游 c-Jun N 端激酶(JNK)信号的激活,通过上调气道上皮细胞中磷酸二酯酶 4D(PDE4D)的表达,导致细胞内 Cl 浓度升高([Cl])。这种升高的 [Cl] 通过促进血清/糖皮质激素调节激酶 1(SGK1)的磷酸化,导致气道炎症加剧。此外,SGK1 或 PDE4 的阻断减轻了 E 蛋白诱导的强烈炎症反应。总的来说,这些发现为 SARS-CoV-2 E 蛋白在 SARS-CoV-2 感染期间气道上皮损伤和持续气道炎症中的致病作用提供了新的见解。

https://cdn.ncbi.nlm.nih.gov/pmc/blobs/767a/10963779/d04a92a14004/41392_2024_1753_Fig1_HTML.jpg

文献AI研究员

20分钟写一篇综述,助力文献阅读效率提升50倍。

立即体验

用中文搜PubMed

大模型驱动的PubMed中文搜索引擎

马上搜索

文档翻译

学术文献翻译模型,支持多种主流文档格式。

立即体验