Suppr超能文献

ROS 介导线粒体 CARM1 的细胞质定位通过 DRP1 甲基化诱导线粒体分裂。

ROS-mediated cytoplasmic localization of CARM1 induces mitochondrial fission through DRP1 methylation.

机构信息

Muscle Physiome Research Center and Research Institute of Pharmaceutical Sciences, Sookmyung Women's University, Seoul, 04310, Republic of Korea; College of Pharmacy, Sookmyung Women's University, Seoul, 04310, Republic of Korea.

Muscle Physiome Research Center and Research Institute of Pharmaceutical Sciences, Sookmyung Women's University, Seoul, 04310, Republic of Korea; College of Pharmacy, Sookmyung Women's University, Seoul, 04310, Republic of Korea.

出版信息

Redox Biol. 2024 Jul;73:103212. doi: 10.1016/j.redox.2024.103212. Epub 2024 May 31.

Abstract

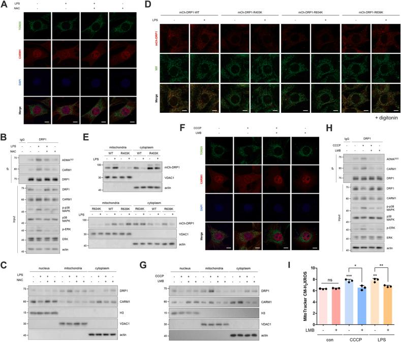
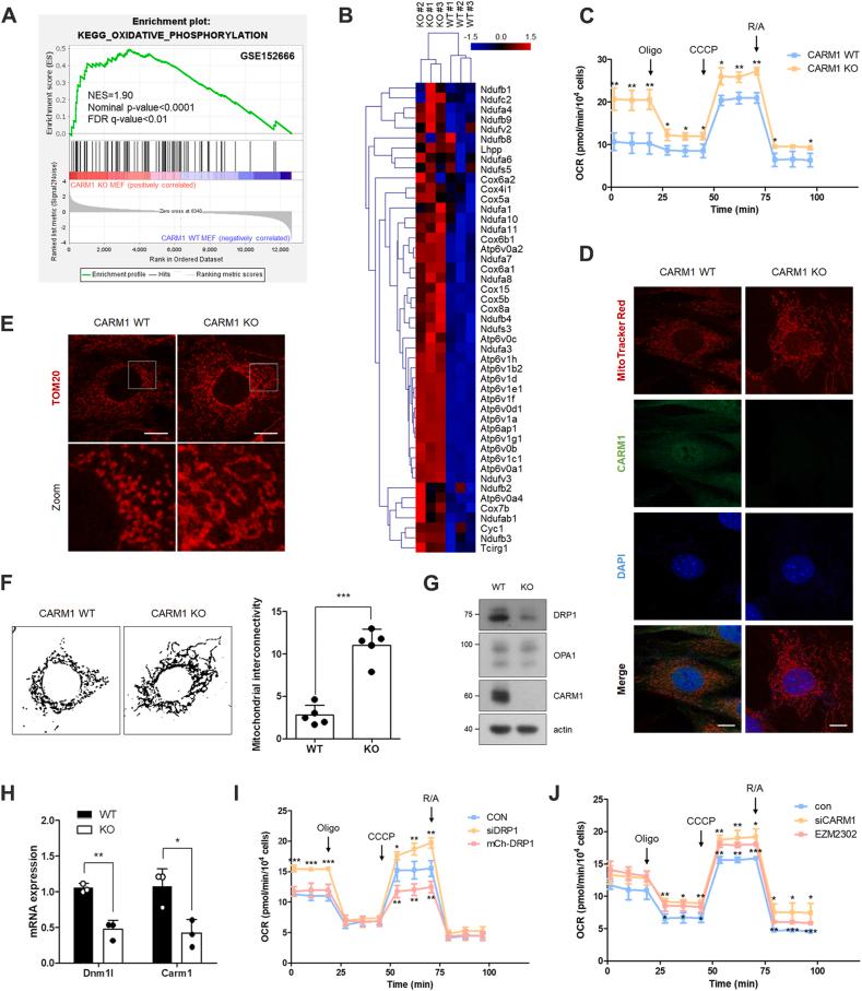
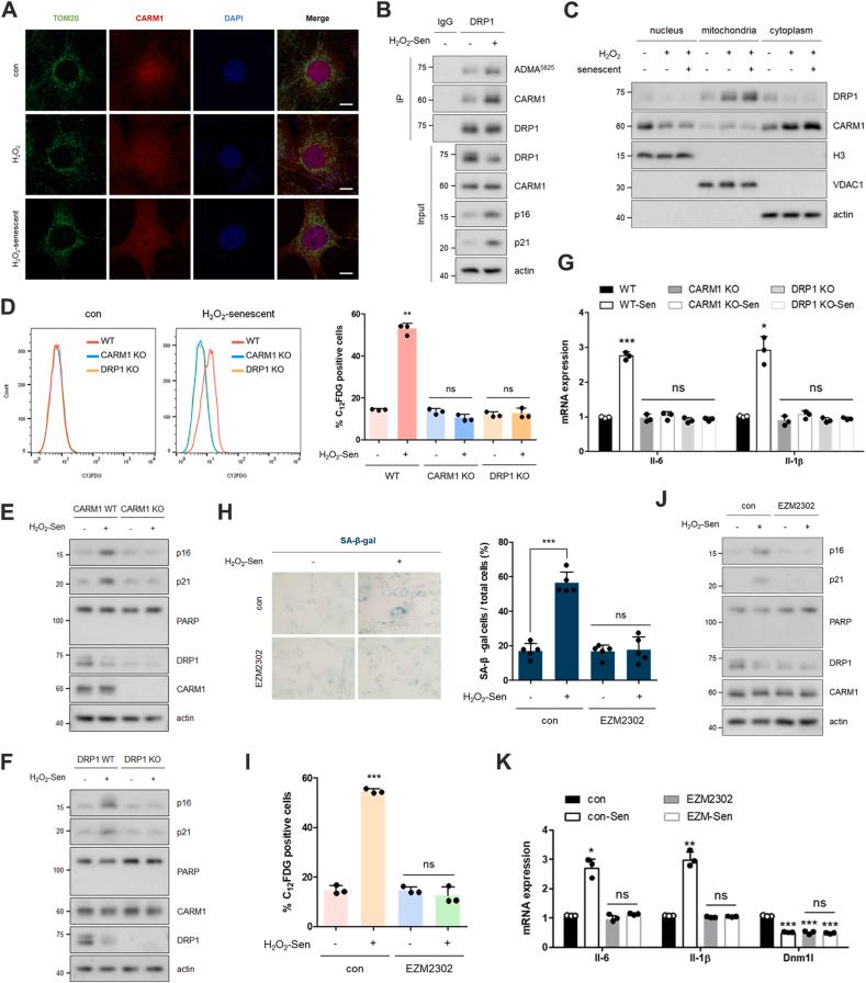
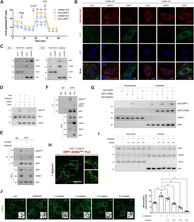
The dynamic regulation of mitochondria through fission and fusion is essential for maintaining cellular homeostasis. In this study, we discovered a role of coactivator-associated arginine methyltransferase 1 (CARM1) in mitochondrial dynamics. CARM1 methylates specific residues (R403 and R634) on dynamin-related protein 1 (DRP1). Methylated DRP1 interacts with mitochondrial fission factor (Mff) and forms self-assembly on the outer mitochondrial membrane, thereby triggering fission, reducing oxygen consumption, and increasing reactive oxygen species (ROS) production. This sets in motion a feedback loop that facilitates the translocation of CARM1 from the nucleus to the cytoplasm, enhancing DRP1 methylation and ROS production through mitochondrial fragmentation. Consequently, ROS reinforces the CARM1-DRP1-ROS axis, resulting in cellular senescence. Depletion of CARM1 or DRP1 impedes cellular senescence by reducing ROS accumulation. The uncovering of the above-described mechanism fills a missing piece in the vicious cycle of ROS-induced senescence and contributes to a better understanding of the aging process.

摘要

线粒体的分裂和融合的动态调节对于维持细胞内稳态至关重要。在这项研究中,我们发现了共激活因子相关精氨酸甲基转移酶 1(CARM1)在线粒体动力学中的作用。CARM1 甲基化肌球蛋白相关蛋白 DRP1(dynamin-related protein 1,DRP1)上的特定残基(R403 和 R634)。甲基化的 DRP1 与线粒体分裂因子(mitochondrial fission factor,Mff)相互作用,并在外膜上形成自我组装,从而触发分裂,减少耗氧量,并增加活性氧物种(reactive oxygen species,ROS)的产生。这引发了一个反馈回路,促进 CARM1 从核到细胞质的易位,通过线粒体碎片化增强 DRP1 甲基化和 ROS 产生。因此,ROS 增强了 CARM1-DRP1-ROS 轴,导致细胞衰老。CARM1 或 DRP1 的耗竭通过减少 ROS 积累来阻止细胞衰老。上述机制的揭示填补了 ROS 诱导的衰老恶性循环中的一个缺失环节,有助于更好地理解衰老过程。

https://cdn.ncbi.nlm.nih.gov/pmc/blobs/9f61/11179627/573ce692a503/ga1.jpg

文献AI研究员

20分钟写一篇综述,助力文献阅读效率提升50倍。

立即体验

用中文搜PubMed

大模型驱动的PubMed中文搜索引擎

马上搜索

文档翻译

学术文献翻译模型,支持多种主流文档格式。

立即体验