Suppr超能文献

USP36 通过去泛素化 cIAP1 和 survivin 抑制结直肠癌细胞凋亡。

USP36 inhibits apoptosis by deubiquitinating cIAP1 and survivin in colorectal cancer cells.

机构信息

Cancer Center, First Hospital of Jilin University, Changchun, Jilin, China; Laboratory for Tumor Immunology, First Hospital of Jilin University, Changchun, Jilin, China.

Laboratory for Tumor Immunology, First Hospital of Jilin University, Changchun, Jilin, China.

出版信息

J Biol Chem. 2024 Jul;300(7):107463. doi: 10.1016/j.jbc.2024.107463. Epub 2024 Jun 12.

Abstract

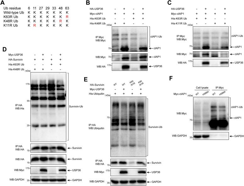
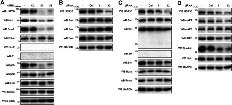
Chemotherapeutic agents for treating colorectal cancer (CRC) primarily induce apoptosis in tumor cells. The ubiquitin-proteasome system is critical for apoptosis regulation. Deubiquitinating enzymes (DUBs) remove ubiquitin from substrates to reverse ubiquitination. Although over 100 DUB members have been discovered, the biological functions of only a small proportion of DUBs have been characterized. Here, we aimed to systematically identify the DUBs that contribute to the development of CRC. Among the DUBs, ubiquitin-specific protease 36 (USP36) is upregulated in CRC. We showed that the knockdown of USP36 induces intrinsic and extrinsic apoptosis. Through gene silencing and coimmunoprecipitation techniques, we identified survivin and cIAP1 as USP36 targets. Mechanistically, USP36 binds and removes lysine-11-linked ubiquitin chains from cIAP1 and lysine-48-linked ubiquitin chains from survivin to abolish protein degradation. Overexpression of USP36 disrupts the formation of the XIAP-second mitochondria-derived activator of caspase complex and promotes receptor-interacting protein kinase 1 ubiquitination, validating USP36 as an inhibitor to intrinsic and extrinsic apoptosis through deubiquitinating survivin and cIAP1. Therefore, our results suggest that USP36 is involved in CRC progression and is a potential therapeutic target.

摘要

用于治疗结直肠癌(CRC)的化疗药物主要诱导肿瘤细胞凋亡。泛素-蛋白酶体系统对凋亡调节至关重要。去泛素化酶(DUBs)从底物上去除泛素以逆转泛素化。尽管已经发现了超过 100 种 DUB 成员,但只有一小部分 DUB 的生物学功能得到了表征。在这里,我们旨在系统地鉴定促进 CRC 发展的 DUB。在 DUB 中,泛素特异性蛋白酶 36(USP36)在 CRC 中上调。我们表明,USP36 的敲低诱导内在和外在凋亡。通过基因沉默和共免疫沉淀技术,我们鉴定出 survivin 和 cIAP1 是 USP36 的靶标。在机制上,USP36 结合并从 cIAP1 上去除赖氨酸 11 连接的泛素链,从 survivin 上去除赖氨酸 48 连接的泛素链,从而阻止蛋白降解。USP36 的过表达破坏了 XIAP-第二线粒体衍生的半胱天冬酶激活剂复合物的形成,并促进受体相互作用蛋白激酶 1 的泛素化,验证了 USP36 通过去泛素化 survivin 和 cIAP1 作为内在和外在凋亡的抑制剂。因此,我们的结果表明,USP36 参与 CRC 进展,是一个潜在的治疗靶点。

https://cdn.ncbi.nlm.nih.gov/pmc/blobs/1364/11268115/2a30112cc701/gr1.jpg

文献AI研究员

20分钟写一篇综述,助力文献阅读效率提升50倍。

立即体验

用中文搜PubMed

大模型驱动的PubMed中文搜索引擎

马上搜索

文档翻译

学术文献翻译模型,支持多种主流文档格式。

立即体验