Suppr超能文献

非洲猪瘟病毒感染通过ZBP1-RIPK3-MLKL坏死小体激活诱导巨噬细胞坏死性凋亡并释放促炎细胞因子。

ASFV infection induces macrophage necroptosis and releases proinflammatory cytokine by ZBP1-RIPK3-MLKL necrosome activation.

作者信息

Zhang Dajun, Hao Yu, Yang Xing, Shi Xijuan, Zhao Dengshuai, Chen Lingling, Liu Huanan, Zhu Zixiang, Zheng Haixue

机构信息

State Key Laboratory for Animal Disease Control and Prevention, College of Veterinary Medicine, Lanzhou University, Lanzhou Veterinary Research Institute, Chinese Academy of Agricultural Sciences, Lanzhou, China.

出版信息

Front Microbiol. 2024 Jun 17;15:1419615. doi: 10.3389/fmicb.2024.1419615. eCollection 2024.

Abstract

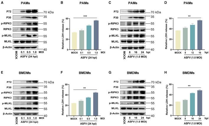
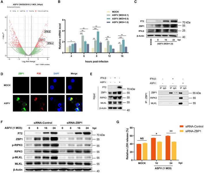
African swine fever (ASF) is an infectious disease characterized by hemorrhagic fever, which is highly pathogenic and causes severe mortality in domestic pigs. It is caused by the African swine fever virus (ASFV). ASFV is a large DNA virus and primarily infects porcine monocyte macrophages. The interaction between ASFV and host macrophages is the major reason for gross pathological lesions caused by ASFV. Necroptosis is an inflammatory programmed cell death and plays an important immune role during virus infection. However, whether and how ASFV induces macrophage necroptosis and the effect of necroptosis signaling on host immunity and ASFV infection remains unknown. This study uncovered that ASFV infection activates the necroptosis signaling and macrophage necroptosis . Further evidence showed that ASFV infection upregulates the expression of ZBP1 and RIPK3 to consist of the ZBP1-RIPK3-MLKL necrosome and further activates macrophage necroptosis. Subsequently, multiple Z-DNA sequences were predicted to be present in the ASFV genome. The Z-DNA signals were further confirmed to be present and colocalized with ZBP1 in the cytoplasm and nucleus of ASFV-infected cells. Moreover, ZBP1-mediated macrophage necroptosis provoked the extracellular release of proinflammatory cytokines, including TNF-α and IL-1β induced by ASFV infection. Finally, we demonstrated that ZBP1-mediated necroptosis signaling inhibits ASFV replication in host macrophages. Our findings uncovered a novel mechanism by which ASFV induces macrophage necroptosis by facilitating Z-DNA accumulation and ZBP1 necrosome assembly, providing significant insights into the pathogenesis of ASFV infection.

摘要

非洲猪瘟(ASF)是一种以出血热为特征的传染病,具有高致病性,可导致家猪严重死亡。它由非洲猪瘟病毒(ASFV)引起。ASFV是一种大型DNA病毒,主要感染猪单核细胞巨噬细胞。ASFV与宿主巨噬细胞之间的相互作用是ASFV引起严重病理损伤的主要原因。坏死性凋亡是一种炎症程序性细胞死亡,在病毒感染过程中发挥重要的免疫作用。然而,ASFV是否以及如何诱导巨噬细胞坏死性凋亡,以及坏死性凋亡信号对宿主免疫和ASFV感染的影响尚不清楚。本研究发现ASFV感染激活了坏死性凋亡信号和巨噬细胞坏死性凋亡。进一步的证据表明,ASFV感染上调了ZBP1和RIPK3的表达,形成ZBP1-RIPK3-MLKL坏死小体,进而激活巨噬细胞坏死性凋亡。随后,预测ASFV基因组中存在多个Z-DNA序列。进一步证实ASFV感染细胞的细胞质和细胞核中存在Z-DNA信号,并与ZBP1共定位。此外,ZBP1介导的巨噬细胞坏死性凋亡引发了促炎细胞因子的细胞外释放,包括ASFV感染诱导的TNF-α和IL-1β。最后,我们证明ZBP1介导的坏死性凋亡信号抑制了宿主巨噬细胞中ASFV的复制。我们的研究结果揭示了一种新机制,即ASFV通过促进Z-DNA积累和ZBP1坏死小体组装来诱导巨噬细胞坏死性凋亡,为ASFV感染的发病机制提供了重要见解。

https://cdn.ncbi.nlm.nih.gov/pmc/blobs/17a1/11215146/77892494b008/fmicb-15-1419615-g0001.jpg

文献AI研究员

20分钟写一篇综述,助力文献阅读效率提升50倍。

立即体验

用中文搜PubMed

大模型驱动的PubMed中文搜索引擎

马上搜索

文档翻译

学术文献翻译模型,支持多种主流文档格式。

立即体验