Suppr超能文献

MITF 的 O-GlcNAcylation 调节其在乳腺癌中的活性和 CDK4/6 抑制剂耐药性。

O-GlcNAcylation of MITF regulates its activity and CDK4/6 inhibitor resistance in breast cancer.

机构信息

Department of Biochemistry and Molecular Medicine, GWU Cancer Center, George Washington University School of Medicine and Health Sciences, Washington, DC, USA.

Division of Preclinical Innovation (Intramural), National Center for Advancing Translational Sciences (NCATS), National Institutes of Health, Rockville, MD, USA.

出版信息

Nat Commun. 2024 Jul 3;15(1):5597. doi: 10.1038/s41467-024-49875-w.

Abstract

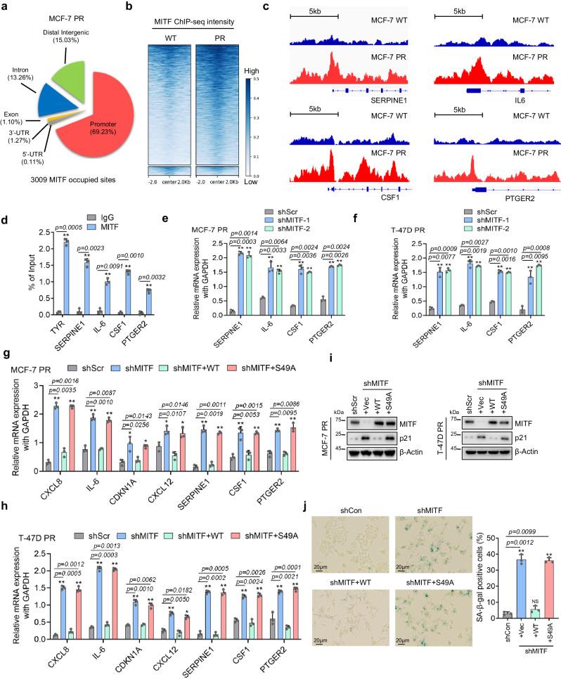
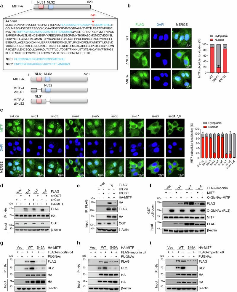
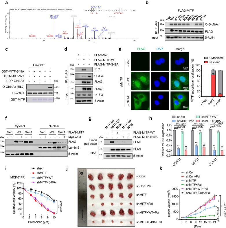
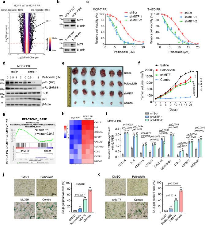
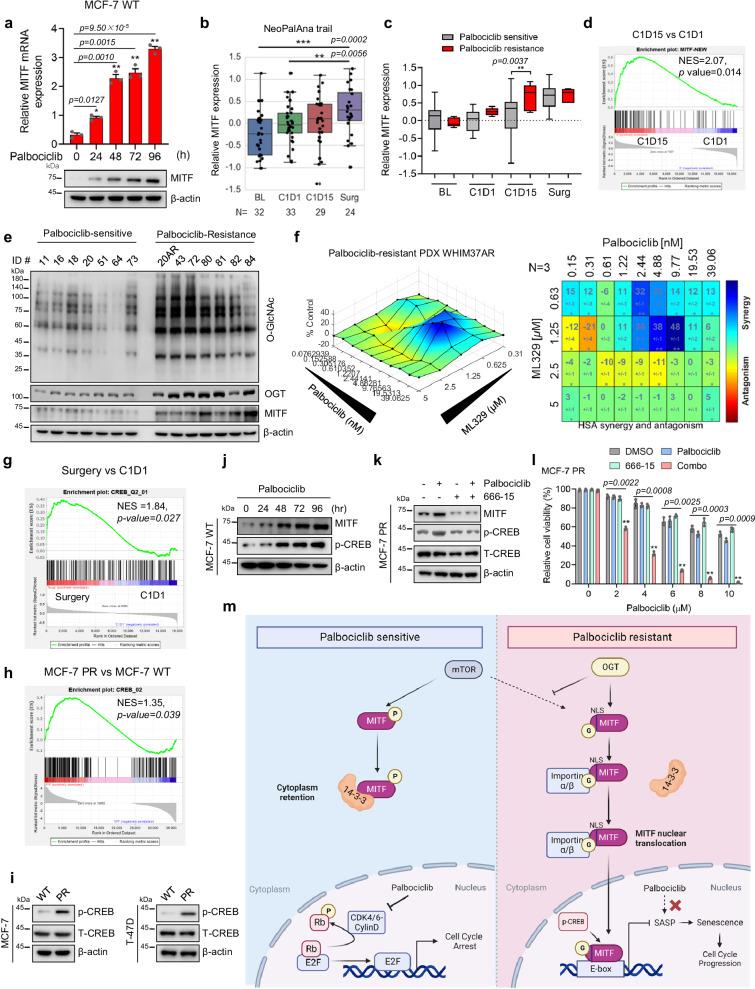
Cyclin-dependent kinases 4 and 6 (CDK4/6) play a pivotal role in cell cycle and cancer development. Targeting CDK4/6 has demonstrated promising effects against breast cancer. However, resistance to CDK4/6 inhibitors (CDK4/6i), such as palbociclib, remains a substantial challenge in clinical settings. Using high-throughput combinatorial drug screening and genomic sequencing, we find that the microphthalmia-associated transcription factor (MITF) is activated via O-GlcNAcylation by O-GlcNAc transferase (OGT) in palbociclib-resistant breast cancer cells and tumors. Mechanistically, O-GlcNAcylation of MITF at Serine 49 enhances its interaction with importin α/β, thus promoting its translocation to nuclei, where it suppresses palbociclib-induced senescence. Inhibition of MITF or its O-GlcNAcylation re-sensitizes resistant cells to palbociclib. Moreover, clinical studies confirm the activation of MITF in tumors from patients who are palbociclib-resistant or undergoing palbociclib treatment. Collectively, our studies shed light on the mechanism regulating palbociclib resistance and present clinical evidence for developing therapeutic approaches to treat CDK4/6i-resistant breast cancer patients.

摘要

周期蛋白依赖性激酶 4 和 6(CDK4/6)在细胞周期和癌症发展中发挥着关键作用。针对 CDK4/6 的靶向治疗已被证明对乳腺癌具有显著疗效。然而,CDK4/6 抑制剂(CDK4/6i)如帕博西利的耐药性仍然是临床实践中的一个重大挑战。我们通过高通量组合药物筛选和基因组测序发现,在帕博西利耐药的乳腺癌细胞和肿瘤中,小眼畸形相关转录因子(MITF)通过 O-连接的 N-乙酰葡糖胺转移酶(OGT)的 O-GlcNAc 化被激活。从机制上讲,MITF 丝氨酸 49 位的 O-GlcNAc 化增强了它与输入蛋白 α/β 的相互作用,从而促进其向核内易位,在核内它抑制了帕博西利诱导的衰老。抑制 MITF 或其 O-GlcNAc 化可使耐药细胞重新对帕博西利敏感。此外,临床研究证实了在帕博西利耐药或接受帕博西利治疗的患者的肿瘤中 MITF 的激活。总之,我们的研究阐明了调节帕博西利耐药的机制,并为开发治疗 CDK4/6i 耐药性乳腺癌患者的治疗方法提供了临床证据。

https://cdn.ncbi.nlm.nih.gov/pmc/blobs/e839/11222436/a8a03e635061/41467_2024_49875_Fig1_HTML.jpg

文献AI研究员

20分钟写一篇综述,助力文献阅读效率提升50倍。

立即体验

用中文搜PubMed

大模型驱动的PubMed中文搜索引擎

马上搜索

文档翻译

学术文献翻译模型,支持多种主流文档格式。

立即体验