Suppr超能文献

犬类衰老标志物的多组学分析及干细胞干预评估

Multi-omics analysis of canine aging markers and evaluation of stem cell intervention.

作者信息

Li Balun, Ding Yanheng, Han Miao, Zhang Zengyu, Ling Zixi, Zhu Wenlong, Zhao Xianjun, Zhang Yihua, Lv Changrong, Li Na, Liao Mingzhi, Hua Jinlian

机构信息

College of Veterinary Medicine, Shaanxi Centre of Stem Cells Engineering & Technology, Northwest A&F University, Yangling, China.

College of Life Sciences, Northwest A&F University, Yangling, China.

出版信息

Commun Biol. 2025 Jun 10;8(1):905. doi: 10.1038/s42003-025-08333-z.

Abstract

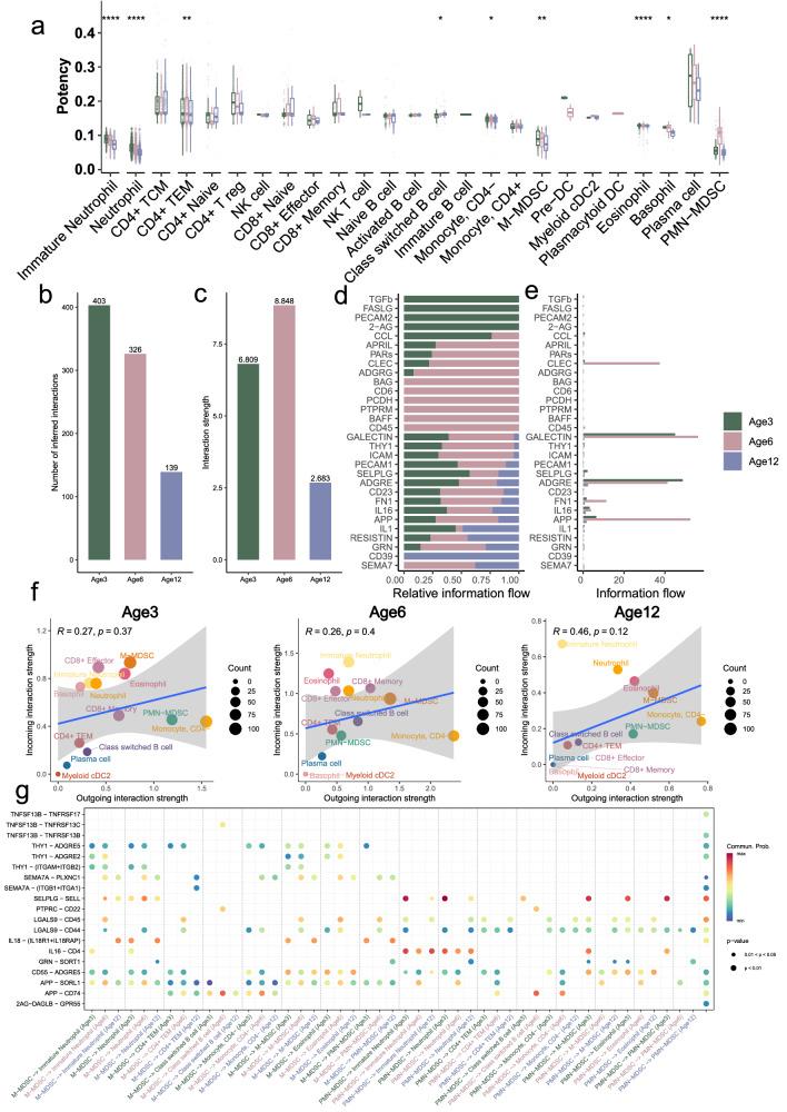
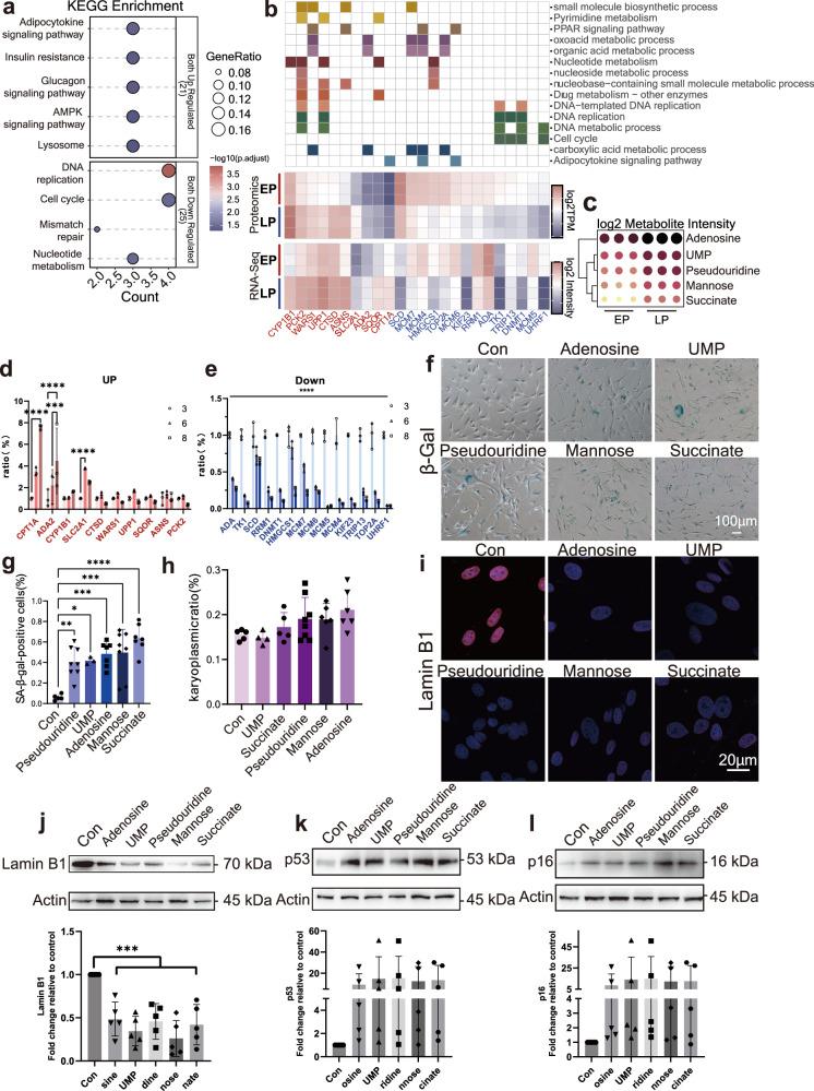
Dogs serve as ideal research subjects for aging studies. In this study, 9 aging-related cell populations are identified through single-cell RNA sequencing of dogs of different ages. Additionally, 9 CD8+ T cell senescence-specific markers conserved across species are identified. Furthermore, multi-omics technology is employed to characterize 17 transcriptional and protein markers, along with 5 metabolic markers, associated with stem cell aging. Penitrem A and UDP-N-acetylglucosamine are further validated as two consistent metabolic markers of both individual and cellular senescence. A customized metabolic assessment system and blood-based assessment framework specifically for aging dogs are developed. Notably, it is demonstrated that mesenchymal stem cells, particularly those overexpressing NMNAT1, can delay or reverse aging in dogs. This study sheds light on the mysteries of aging from multiple perspectives and provides a broad target for future research efforts aimed at uncovering the complexity of this fundamental biological process.

摘要

狗是衰老研究的理想实验对象。在这项研究中,通过对不同年龄的狗进行单细胞RNA测序,鉴定出9个与衰老相关的细胞群体。此外,还鉴定出9个跨物种保守的CD8+ T细胞衰老特异性标志物。此外,采用多组学技术来表征17个转录和蛋白质标志物以及5个与干细胞衰老相关的代谢标志物。Penitrem A和UDP-N-乙酰葡糖胺被进一步验证为个体和细胞衰老的两个一致的代谢标志物。开发了专门针对衰老狗的定制代谢评估系统和基于血液的评估框架。值得注意的是,研究表明间充质干细胞,特别是那些过度表达NMNAT1的间充质干细胞,可以延缓或逆转狗的衰老。这项研究从多个角度揭示了衰老的奥秘,并为未来旨在揭示这一基本生物学过程复杂性的研究工作提供了广泛的目标。

https://cdn.ncbi.nlm.nih.gov/pmc/blobs/d107/12152182/40654a49c2de/42003_2025_8333_Fig1_HTML.jpg

文献AI研究员

20分钟写一篇综述,助力文献阅读效率提升50倍。

立即体验

用中文搜PubMed

大模型驱动的PubMed中文搜索引擎

马上搜索

文档翻译

学术文献翻译模型,支持多种主流文档格式。

立即体验