Suppr超能文献

钙网织蛋白在 ER 自噬和未折叠蛋白反应中的重要作用。

An Essential Role for Calnexin in ER-Phagy and the Unfolded Protein Response.

机构信息

Institute of Clinical Neurobiology, University Hospital Wuerzburg, Versbacher Str. 5, 97078 Würzburg, Germany.

出版信息

Cells. 2024 Sep 6;13(17):1498. doi: 10.3390/cells13171498.

Abstract

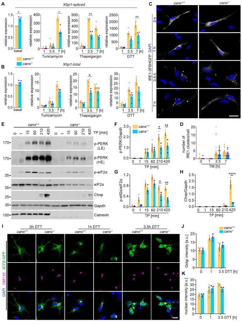
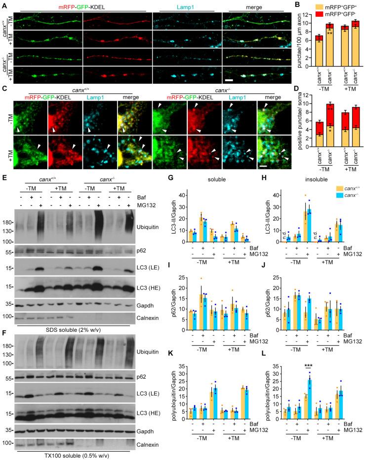
ER-phagy is a specialized form of autophagy, defined by the lysosomal degradation of ER subdomains. ER-phagy has been implicated in relieving the ER from misfolded proteins during ER stress upon activation of the unfolded protein response (UPR). Here, we identified an essential role for the ER chaperone calnexin in regulating ER-phagy and the UPR in neurons. We showed that chemical induction of ER stress triggers ER-phagy in the somata and axons of primary cultured motoneurons. Under basal conditions, the depletion of calnexin leads to an enhanced ER-phagy in axons. However, upon ER stress induction, ER-phagy did not further increase in calnexin-deficient motoneurons. In addition to increased ER-phagy under basal conditions, we also detected an elevated proteasomal turnover of insoluble proteins, suggesting enhanced protein degradation by default. Surprisingly, we detected a diminished UPR in calnexin-deficient early cortical neurons under ER stress conditions. In summary, our data suggest a central role for calnexin in orchestrating both ER-phagy and the UPR to maintain protein homeostasis within the ER.

摘要

内质网自噬是一种特化的自噬形式,其特征是溶酶体降解内质网亚区。内质网自噬在激活未折叠蛋白反应(UPR)时,从内质网中清除错误折叠的蛋白质,从而缓解内质网的压力。在这里,我们发现内质网伴侣蛋白 calnexin 在调节神经元中的内质网自噬和 UPR 方面起着重要作用。我们表明,化学诱导内质网应激会触发原代培养运动神经元胞体和轴突中的内质网自噬。在基础条件下,calnexin 的耗竭会导致轴突中内质网自噬增强。然而,在内质网应激诱导后,calnexin 缺陷型运动神经元中的内质网自噬并没有进一步增加。除了基础条件下内质网自噬增加外,我们还检测到不溶性蛋白的蛋白酶体周转率升高,这表明默认情况下蛋白质降解增强。令人惊讶的是,我们在内质网应激条件下还检测到 calnexin 缺陷型早期皮质神经元中 UPR 减少。总之,我们的数据表明 calnexin 在协调内质网自噬和 UPR 以维持内质网内蛋白质平衡方面起着核心作用。

https://cdn.ncbi.nlm.nih.gov/pmc/blobs/b610/11394613/eafe523bbc9d/cells-13-01498-g001.jpg

文献AI研究员

20分钟写一篇综述,助力文献阅读效率提升50倍。

立即体验

用中文搜PubMed

大模型驱动的PubMed中文搜索引擎

马上搜索

文档翻译

学术文献翻译模型,支持多种主流文档格式。

立即体验