Suppr超能文献

TREM2通过调节小胶质细胞糖酵解影响小鼠创伤性脑损伤急性期类似DAM细胞的转变。

TREM2 affects DAM-like cell transformation in the acute phase of TBI in mice by regulating microglial glycolysis.

作者信息

Wang Lin, Ouyang Diqing, Li Lin, Cao Yunchuan, Wang Yingwen, Gu Nina, Zhang Zhaosi, Li Zhao, Tang Shuang, Tang Hui, Zhang Yuan, Sun Xiaochuan, Yan Jin

机构信息

Department of Neurosurgery, The First Affiliated Hospital of Chongqing Medical University, Chongqing, 400016, China.

Department of Neurosurgery, The Second Clinical Medical College of North Sichuan Medical College, Beijing Anzhen Nanchong Hospital of Capital Medical University & Nanchong Central Hospital, Nanchong, 637000, China.

出版信息

J Neuroinflammation. 2025 Jan 13;22(1):6. doi: 10.1186/s12974-025-03337-2.

Abstract

BACKGROUND

Traumatic brain injury (TBI) is characterized by high mortality and disability rates. Disease-associated microglia (DAM) are a newly discovered subtype of microglia. However, their presence and function in the acute phase of TBI remain unclear. Although glycolysis is important for microglial differentiation, its regulatory role in DAM transformation during the acute phase of TBI is still unclear. In this study, we investigated the functions of DAM-like cells in the acute phase of TBI in mice, as well as the relationship between their transformation and glycolysis.

METHODS

In this study, a controlled cortical impact model was used to induce TBI in adult male wild-type (WT) C57BL/6 mice and adult male TREM2 knockout mice. Various techniques were used to assess the role of DAM-like cells in TBI and the effects of glycolysis on DAM-like cells, including RT‒qPCR, immunofluorescence assays, behavioural tests, extracellular acidification rate (ECAR) tests, Western blot analysis, cell magnetic sorting and culture, glucose and lactate assays, and flow cytometry.

RESULTS

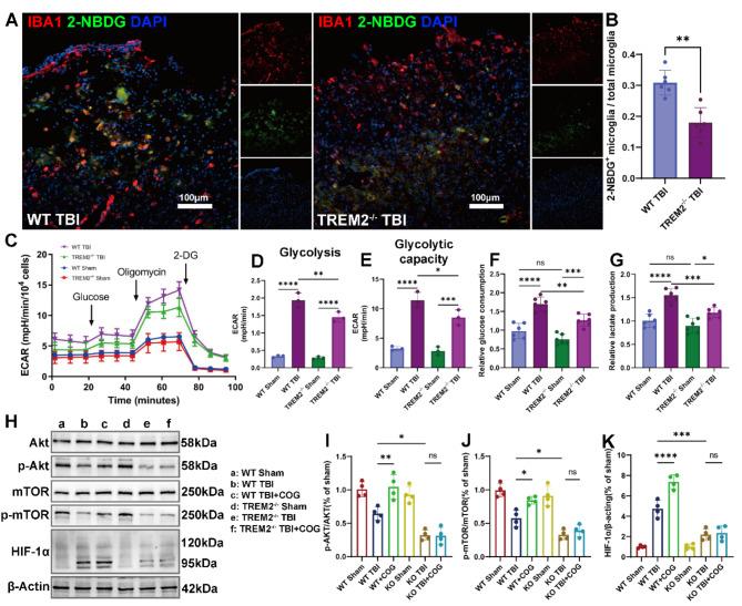
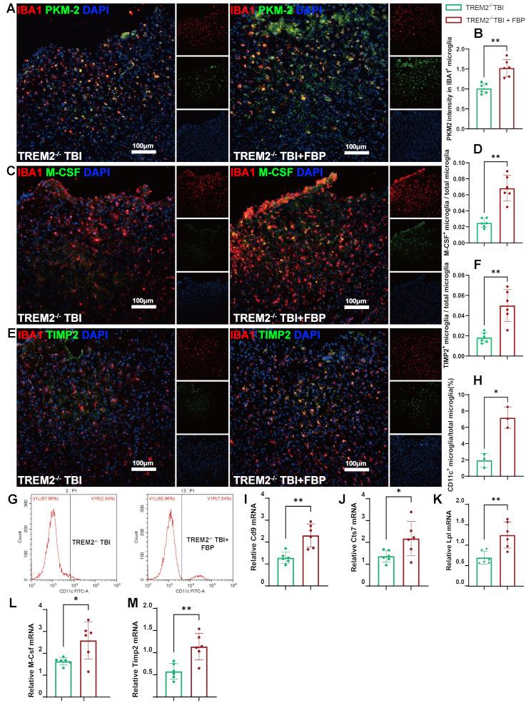
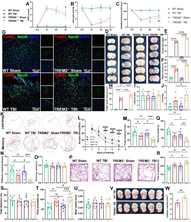
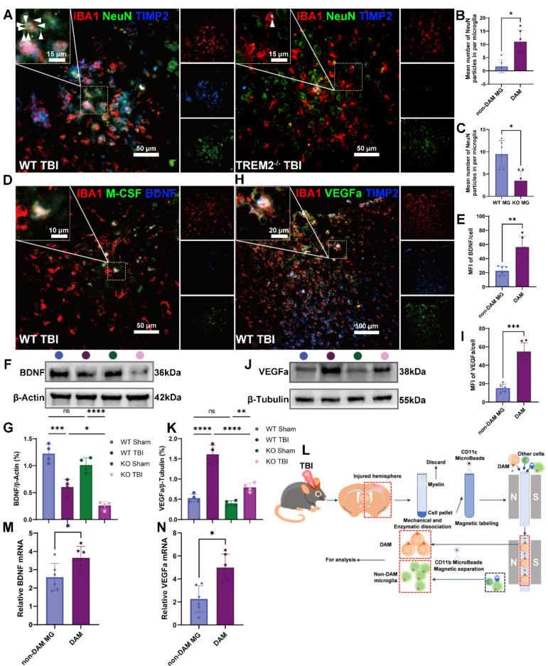
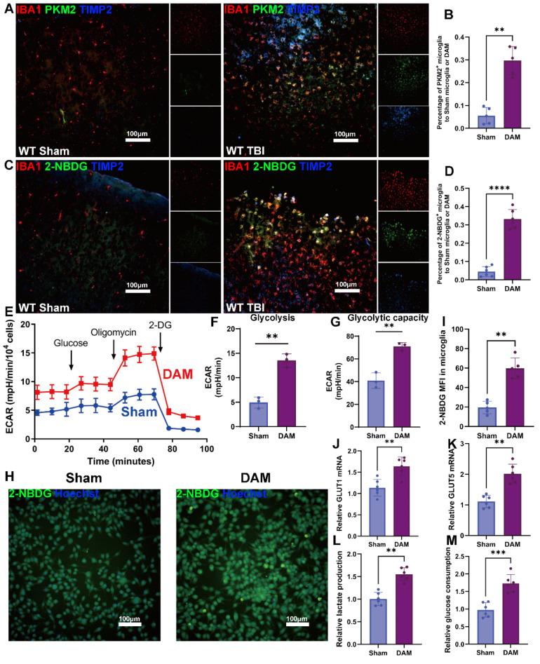
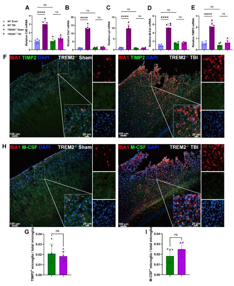
DAM-like cells were observed in the acute phase of TBI in mice, and their transformation depended on TREM2 expression. TREM2 knockout impaired neurological recovery in TBI mice, possibly due in part to their role in clearing debris and secreting VEGFa and BDNF. Moreover, DAM-like cells exhibited significantly increased glycolytic activity. TREM2 regulated the AKT‒mTOR‒HIF-1α pathway and glycolysis in microglia in the acute phase of TBI. The increase in glycolysis in microglia partially contributed to the transformation of DAM-like cells in the acute phase of TBI in mice.

CONCLUSIONS

Taken together, the results of our study demonstrated that DAM-like cells were present in the acute phase of TBI in mice. TREM2 might influence DAM-like cell transformation by modulating the glycolysis of microglia. Our results provide a new possible pathway for intervening TBI.

摘要

背景

创伤性脑损伤(TBI)的特点是高死亡率和高致残率。疾病相关小胶质细胞(DAM)是新发现的小胶质细胞亚型。然而,它们在TBI急性期的存在及功能仍不清楚。尽管糖酵解对小胶质细胞分化很重要,但其在TBI急性期DAM转化中的调节作用仍不明确。在本研究中,我们调查了小鼠TBI急性期类DAM细胞的功能,以及它们的转化与糖酵解之间的关系。

方法

在本研究中,采用控制性皮质撞击模型诱导成年雄性野生型(WT)C57BL/6小鼠和成年雄性TREM2基因敲除小鼠发生TBI。运用多种技术评估类DAM细胞在TBI中的作用以及糖酵解对类DAM细胞的影响,包括逆转录定量聚合酶链反应(RT‒qPCR)、免疫荧光分析、行为测试、细胞外酸化率(ECAR)测试、蛋白质免疫印迹分析、细胞磁性分选与培养、葡萄糖和乳酸检测以及流式细胞术。

结果

在小鼠TBI急性期观察到类DAM细胞,其转化依赖于TREM2表达。TREM2基因敲除损害了TBI小鼠的神经功能恢复,这可能部分归因于其在清除碎片以及分泌血管内皮生长因子A(VEGFa)和脑源性神经营养因子(BDNF)方面的作用。此外,类DAM细胞表现出显著增强的糖酵解活性。TREM2在TBI急性期调节小胶质细胞中的AKT‒mTOR‒HIF-1α信号通路和糖酵解。小胶质细胞中糖酵解的增加部分促成了小鼠TBI急性期类DAM细胞的转化。

结论

综上所述,我们的研究结果表明小鼠TBI急性期存在类DAM细胞。TREM2可能通过调节小胶质细胞的糖酵解影响类DAM细胞的转化。我们的结果为干预TBI提供了一条新的可能途径。

https://cdn.ncbi.nlm.nih.gov/pmc/blobs/6e3b/11727224/bf1559e39de9/12974_2025_3337_Fig1_HTML.jpg

文献AI研究员

20分钟写一篇综述,助力文献阅读效率提升50倍。

立即体验

用中文搜PubMed

大模型驱动的PubMed中文搜索引擎

马上搜索

文档翻译

学术文献翻译模型,支持多种主流文档格式。

立即体验