Suppr超能文献

猫传染性腹膜炎病毒感染综述

A review of feline infectious peritonitis virus infection.

作者信息

Solikhah Tridiganita Intan, Agustin Qurrotul Aini Dwi, Damaratri Ratmasari Alifina, Siwi Della Ayuke Fika, Rafi'uttaqi Ghulam Naufal, Hartadi Vincent Angelino, Solikhah Gahastanira Permata

机构信息

Division of Veterinary Clinic, Department of Health and Life Sciences, Faculty of Health, Medicine, and Life Sciences, Universitas Airlangga, Banyuwangi, Indonesia.

Cahaya Pet Clinic, Veterinarian, Mojokerto, Indonesia.

出版信息

Vet World. 2024 Nov;17(11):2417-2432. doi: 10.14202/vetworld.2024.2417-2432. Epub 2024 Nov 5.

Abstract

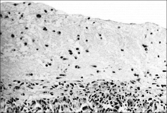
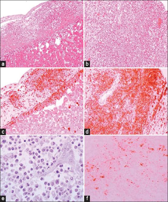
Feline infectious peritonitis (FIP) is an infectious disease characterized by non-specific laboratory changes and clinical signs. Clinical symptoms include anorexia, jaundice, fever, and weight loss. Moreover, some lesions are found in the digestive and respiratory systems. FIP, whose virulence varies, cannot be distinguished using several diagnostic methods. Moreover, feline coronaviruses (FCoVs) can be classified into two serotypes based on differences in their amino acid sequences, spike (S) protein sequences, and antibody (Ab) neutralization. There are two pathotypes, namely those caused by FCoV, which are often referred to as feline enteric coronavirus and FIP virus (FIPV). Furthermore, FIPV infection can be caused by sub-neutralizing levels of anti-FIPV S Abs. Therefore, a supporting diagnosis is needed to confirm FIP because there are no specific symptoms. This review aimed to provide updated information on FIP, including epizootiology, clinical and pathological characteristics, pathogenesis, hematology, clinicopathological and imaging features, pathological features, experimental infection, treatment and prevention, infection and immunity, animal and public health considerations.

摘要

猫传染性腹膜炎(FIP)是一种以非特异性实验室变化和临床症状为特征的传染病。临床症状包括厌食、黄疸、发热和体重减轻。此外,在消化系统和呼吸系统中发现了一些病变。FIP的毒力各不相同,无法通过几种诊断方法进行区分。此外,猫冠状病毒(FCoV)可根据其氨基酸序列、刺突(S)蛋白序列和抗体(Ab)中和作用的差异分为两种血清型。有两种致病型,即由FCoV引起的,通常称为猫肠道冠状病毒和FIP病毒(FIPV)。此外,FIPV感染可能由抗FIPV S抗体的亚中和水平引起。因此,由于没有特异性症状,需要进行辅助诊断来确诊FIP。本综述旨在提供有关FIP的最新信息,包括流行病学、临床和病理特征、发病机制、血液学、临床病理和影像学特征、病理特征、实验感染、治疗和预防、感染和免疫、动物和公共卫生考虑因素。

https://cdn.ncbi.nlm.nih.gov/pmc/blobs/4e27/11736369/ca2440a45267/Vetworld-17-2417-g001.jpg

文献AI研究员

20分钟写一篇综述,助力文献阅读效率提升50倍。

立即体验

用中文搜PubMed

大模型驱动的PubMed中文搜索引擎

马上搜索

文档翻译

学术文献翻译模型,支持多种主流文档格式。

立即体验