Suppr超能文献

阿司匹林通过K63泛素化抑制蛋白酶体降解并促进α-突触核蛋白聚集体清除。

Aspirin inhibits proteasomal degradation and promotes α-synuclein aggregate clearance through K63 ubiquitination.

作者信息

Gao Jing, Liu Yang, Si Chenfang, Guo Rui, Hou Shouqiao, Liu Xiaosong, Long Houfang, Liu Di, Xu Daichao, Zhang Zai-Rong, Liu Cong, Shan Bing, Turck Christoph W, He Kaiwen, Zhang Yaoyang

机构信息

Interdisciplinary Research Center on Biology and Chemistry, Shanghai Institute of Organic Chemistry, Chinese Academy of Sciences, 100 Haike Rd., Shanghai, China.

University of Chinese Academy of Sciences, Beijing, China.

出版信息

Nat Commun. 2025 Feb 7;16(1):1438. doi: 10.1038/s41467-025-56737-6.

Abstract

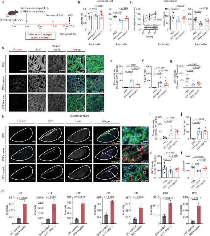
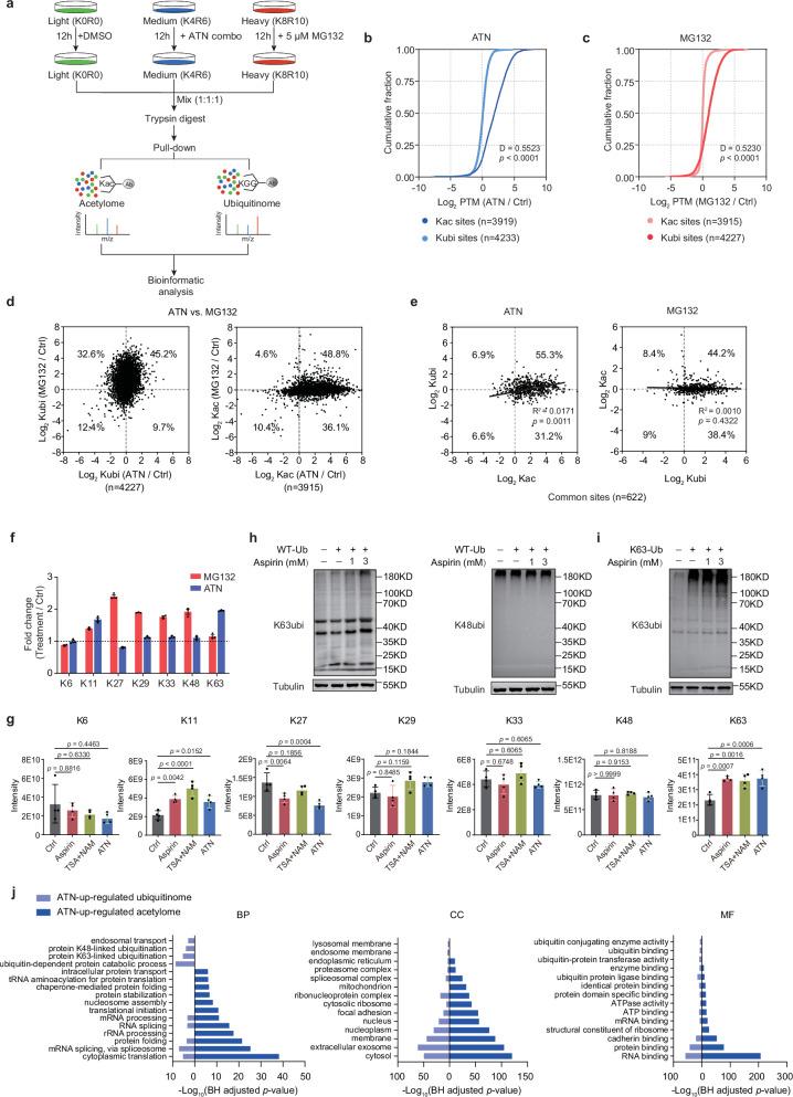
Aspirin is a potent lysine acetylation inducer, but its impact on lysine ubiquitination and ubiquitination-directed protein degradation is unclear. Herein, we develop the reversed-pulsed-SILAC strategy to systematically profile protein degradome in response to aspirin. By integrating degradome, acetylome, and ubiquitinome analyses, we show that aspirin impairs proteasome activity to inhibit proteasomal degradation, rather than directly suppressing lysine ubiquitination. Interestingly, aspirin increases lysosomal degradation-implicated K63-linked ubiquitination. Accordingly, using the major pathological protein of Parkinson's disease (PD), α-synuclein (α-syn), as an example of protein aggregates, we find that aspirin is able to reduce α-syn in cultured cells, neurons, and PD model mice with rescued locomotor ability. We further reveal that the α-syn aggregate clearance induced by aspirin is K63-ubiquitination dependent in both cells and PD mice. These findings suggest two complementary mechanisms by which aspirin regulates the degradation of soluble and insoluble proteins, providing insights into its diverse pharmacological effects that can aid in future drug development efforts.

摘要

阿司匹林是一种强效的赖氨酸乙酰化诱导剂,但其对赖氨酸泛素化及泛素化介导的蛋白质降解的影响尚不清楚。在此,我们开发了反向脉冲SILAC策略,以系统地描绘阿司匹林作用下的蛋白质降解组图谱。通过整合降解组、乙酰化组和泛素化组分析,我们发现阿司匹林损害蛋白酶体活性以抑制蛋白酶体降解,而非直接抑制赖氨酸泛素化。有趣的是,阿司匹林增加了与溶酶体降解相关的K63连接的泛素化。因此,以帕金森病(PD)的主要病理蛋白α-突触核蛋白(α-syn)作为蛋白质聚集体的例子,我们发现在培养细胞、神经元以及运动能力得以恢复的PD模型小鼠中,阿司匹林能够减少α-syn的含量。我们进一步揭示,阿司匹林诱导的α-syn聚集体清除在细胞和PD小鼠中均依赖于K63泛素化。这些发现表明了阿司匹林调节可溶性和不溶性蛋白质降解的两种互补机制,为其多样的药理作用提供了见解,有助于未来的药物开发工作。

https://cdn.ncbi.nlm.nih.gov/pmc/blobs/9480/11806099/181a33710475/41467_2025_56737_Fig1_HTML.jpg

文献AI研究员

20分钟写一篇综述,助力文献阅读效率提升50倍。

立即体验

用中文搜PubMed

大模型驱动的PubMed中文搜索引擎

马上搜索

文档翻译

学术文献翻译模型,支持多种主流文档格式。

立即体验