Suppr超能文献

补充益生菌可改善高脂饮食诱导的肝脏脂质代谢紊乱和免疫抑制。

Probiotic Supplementation Improves Lipid Metabolism Disorders and Immune Suppression Induced by High-Fat Diets in Liver.

作者信息

Gao Jun, Mang Qi, Sun Yi, Xu Gangchun

机构信息

Freshwater Fisheries Research Center, Chinese Academy of Fishery Sciences, Wuxi 214081, China.

Wuxi Fisheries College, Nanjing Agriculture University, Wuxi 214081, China.

出版信息

Biology (Basel). 2025 Apr 7;14(4):381. doi: 10.3390/biology14040381.

Abstract

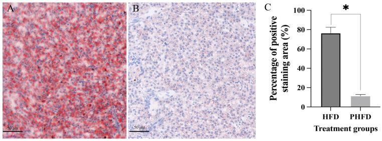
High-fat diets (HFDs) usually trigger disruptions in lipid metabolic processes and immune suppression in fish. As an eco-friendly and potent additive, the inclusion of probiotics in fish diets ameliorates dysregulations in lipid metabolism, mitigates oxidative stress, and reduces inflammatory reactions triggered by HFDs. However, little current research has focused on the improvement of the hazards of HFDs in fish by probiotics. Therefore, we employed 4-dimensional data-independent (4D-DIA) proteomic analysis to investigate the mechanism of the protective impact of probiotics against HFD-induced hepatic injury in between the HFD group and the probiotic supplementation in HFD (PHFD) group. Additionally, lipid accumulation and antioxidant indicators in the liver were also measured via Oil Red O staining and activity detection. Administration of probiotics markedly attenuated the hepatic concentrations of triglycerides (TG), cholesterol (CHO), and low-density lipoprotein cholesterol (LDL-C) in subjected to HFDs. Furthermore, it significantly upregulated the expression of the differentially expressed proteins (DEPs) implicated in cholesterol metabolism and fatty acid oxidation, while concurrently downregulating the DEPs associated with fatty acid synthesis. Additionally, probiotic supplementation significantly reduced the aspartate aminotransferase (AST), alanine aminotransferase (ALT), and malondialdehyde (MDA) levels induced by HFDs. It also upregulated the activities of catalase (CAT) and superoxide dismutase (SOD). Probiotic supplementation significantly upregulated the DEPs related to antioxidants, while significantly downregulating the DEPs associated with inflammatory responses and autophagy. These findings suggested that probiotics ameliorated HFD-induced hepatic lipid accumulation in by enhancing cholesterol metabolism and fatty acid oxidation, concomitantly with the suppression of fatty acid synthesis pathways. Additionally, probiotics protected against HFD-induced hepatic injury by enhancing antioxidant defenses and suppressing inflammation in .

摘要

高脂饮食(HFDs)通常会引发鱼类脂质代谢过程紊乱和免疫抑制。作为一种环保且有效的添加剂,在鱼类饲料中添加益生菌可改善脂质代谢失调、减轻氧化应激,并减少由高脂饮食引发的炎症反应。然而,目前很少有研究关注益生菌对鱼类高脂饮食危害的改善作用。因此,我们采用4维数据非依赖(4D-DIA)蛋白质组学分析,来研究益生菌对高脂饮食诱导的鱼类肝损伤的保护作用机制,比较高脂饮食组(HFD组)和高脂饮食添加益生菌组(PHFD组)之间的差异。此外,还通过油红O染色和活性检测来测定肝脏中的脂质积累和抗氧化指标。给高脂饮食的鱼类投喂益生菌后,显著降低了肝脏中甘油三酯(TG)、胆固醇(CHO)和低密度脂蛋白胆固醇(LDL-C)的浓度。此外,它显著上调了与胆固醇代谢和脂肪酸氧化相关的差异表达蛋白(DEPs)的表达,同时下调了与脂肪酸合成相关的DEPs。此外,添加益生菌显著降低了高脂饮食诱导的天冬氨酸转氨酶(AST)、丙氨酸转氨酶(ALT)和丙二醛(MDA)水平。它还上调了过氧化氢酶(CAT)和超氧化物歧化酶(SOD)的活性。添加益生菌显著上调了与抗氧化剂相关的DEPs,同时显著下调了与炎症反应和自噬相关的DEPs。这些发现表明,益生菌通过增强胆固醇代谢和脂肪酸氧化,同时抑制脂肪酸合成途径,改善了高脂饮食诱导的鱼类肝脏脂质积累。此外,益生菌通过增强抗氧化防御和抑制炎症,保护鱼类免受高脂饮食诱导的肝损伤。

https://cdn.ncbi.nlm.nih.gov/pmc/blobs/2908/12024547/0b01f6f8b5d6/biology-14-00381-g001.jpg

文献AI研究员

20分钟写一篇综述,助力文献阅读效率提升50倍。

立即体验

用中文搜PubMed

大模型驱动的PubMed中文搜索引擎

马上搜索

文档翻译

学术文献翻译模型,支持多种主流文档格式。

立即体验