Suppr超能文献

RNA结合蛋白基因NOP58在尤因肉瘤中具有关键的预后和治疗价值。

RNA-binding protein gene NOP58 exhibits crucial prognostic and therapeutic value in Ewing sarcoma.

作者信息

Geng Yannan, Yang Lu, Shao Rui, Xu Tiantong, Zhang Lilong

机构信息

Department of the Sixth Spinal Surgery, Tianjin Union Medical Center, The First Affiliated Hospital of Nankai University, No. 190 Jieyuan Road, Hongqiao District, Tianjin, 300121, China.

The Third Department of Breast Cancer, Tianjin Medical University Cancer Institute and Hospital, Tianjin, 300060, China.

出版信息

Hereditas. 2025 May 14;162(1):76. doi: 10.1186/s41065-025-00440-5.

Abstract

BACKGROUND

Our aim was to identify crucial RNA-binding proteins (RBP) genes associated with Ewing sarcoma (EwS) in order to provide valuable insights into its mechanisms of tumorigenesis and to enhance therapeutic intervention.

RESULTS

Differential gene expression analysis identified candidate genes. Next, hub genes were generated by the results of protein-protein interaction (PPI) network, and univariate COX regression analysis. CIBERSORT was applied to analyze immune landscape. Furthermore, both in vitro and in vivo experiments were conducted to investigate the function of NOP58 in EwS.

RESULTS

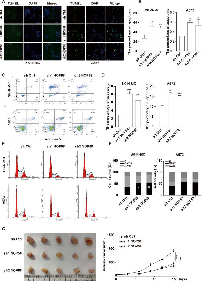
A total of 179 RBP-related genes were significantly different in EwS tissues and normal controls. Among these, NOP58 ribonucleoprotein (NOP58) was considered as the hub gene, demonstrating significant prognostic value. Significantly, high NOP58 expression correlated with poor prognosis of EwS patients. Additionally, the levels of NOP58 were significantly up-regulated in EwS cells compared with human mesenchymal stem cells. Furthermore, knockdown of NOP58 notably inhibited the proliferation and migration of EwS cells. Moreover, NOP58 deficiency remarkably induced apoptosis and cell cycle arrest in EwS cells. In vivo studies on tumor-bearing mice demonstrated that NOP58 downregulation significantly inhibited tumor growth in EwS.

CONCLUSION

Collectively, downregulation of NOP58 could inhibit the proliferation and migration of EwS cells in vitro and reduce murine xenograft tumor growth in vivo. These findings identified NOP58 as a promising regulator of EwS tumorigenesis, suggesting it may serve as a potential therapeutic target for EwS treatment.

摘要

背景

我们的目的是鉴定与尤因肉瘤(EwS)相关的关键RNA结合蛋白(RBP)基因,以便深入了解其肿瘤发生机制并加强治疗干预。

结果

差异基因表达分析确定了候选基因。接下来,通过蛋白质-蛋白质相互作用(PPI)网络和单变量COX回归分析的结果生成了枢纽基因。应用CIBERSORT分析免疫格局。此外,进行了体外和体内实验以研究NOP58在EwS中的功能。

结果

在EwS组织和正常对照中,共有179个RBP相关基因存在显著差异。其中,核仁磷酸蛋白58(NOP58)被视为枢纽基因,具有显著的预后价值。值得注意的是,NOP58高表达与EwS患者的不良预后相关。此外,与人间充质干细胞相比,EwS细胞中NOP58的水平显著上调。此外,敲低NOP58显著抑制了EwS细胞的增殖和迁移。此外,NOP58缺乏显著诱导EwS细胞凋亡和细胞周期停滞。对荷瘤小鼠的体内研究表明,NOP58下调显著抑制了EwS中的肿瘤生长。

结论

总的来说,NOP58的下调可以在体外抑制EwS细胞的增殖和迁移,并在体内减少小鼠异种移植瘤的生长。这些发现确定NOP58是EwS肿瘤发生的一个有前景的调节因子,表明它可能作为EwS治疗的潜在靶点。

https://cdn.ncbi.nlm.nih.gov/pmc/blobs/d905/12076867/c618ac5713bd/41065_2025_440_Fig1_HTML.jpg

文献AI研究员

20分钟写一篇综述,助力文献阅读效率提升50倍。

立即体验

用中文搜PubMed

大模型驱动的PubMed中文搜索引擎

马上搜索

文档翻译

学术文献翻译模型,支持多种主流文档格式。

立即体验