Suppr超能文献

USP14/S100A11轴通过抑制细胞衰老促进结直肠癌进展。

USP14/S100A11 axis promote colorectal cancer progression by inhibiting cell senescence.

作者信息

Huang Yong, Tang Xiaolei, Xie Hao, Wu Zhaoying, Jin Lei, Zhang Lei, Lin Xidong, Zhou Hailang, Zou Junwei

机构信息

Department of Gastrointestinal Surgery, The Second Affiliated Hospital of Wannan Medical College, Wuhu, Anhui, China.

Center for Translational Medicine, The Second Affiliated Hospital of Wannan Medical College, Wuhu, Anhui, China.

出版信息

Cell Death Dis. 2025 May 15;16(1):384. doi: 10.1038/s41419-025-07724-8.

Abstract

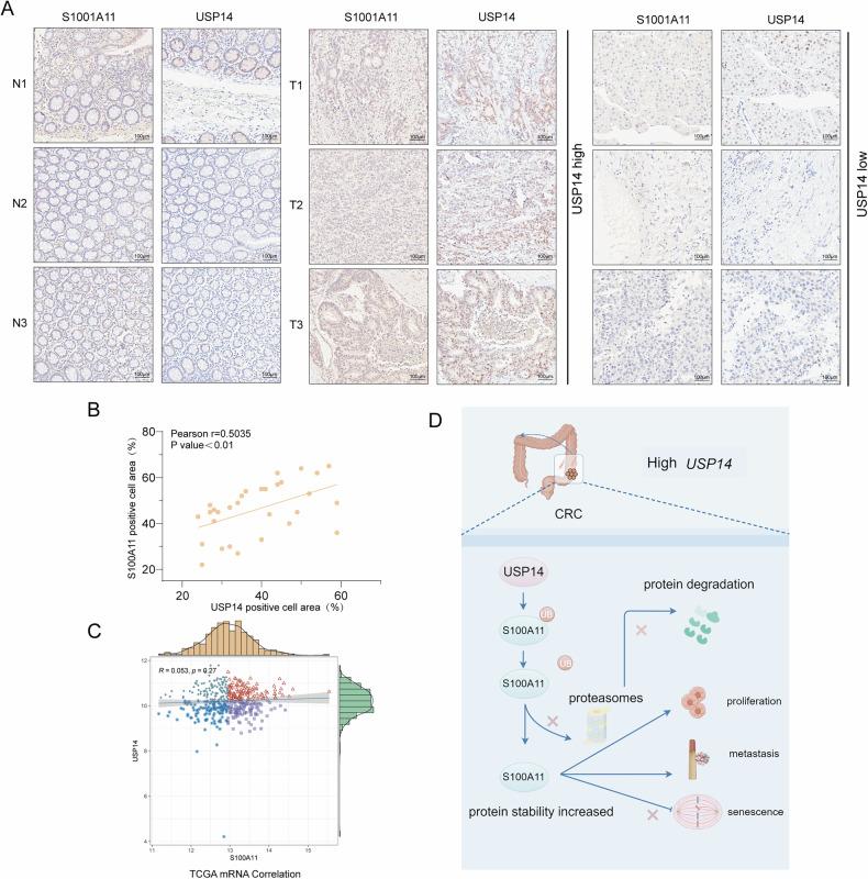
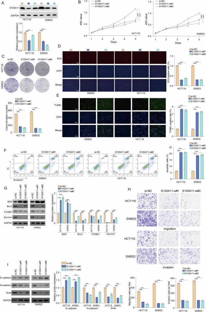
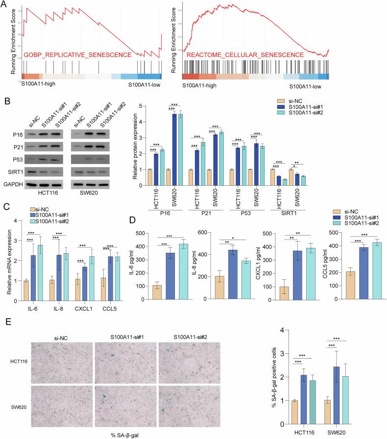
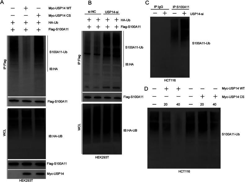
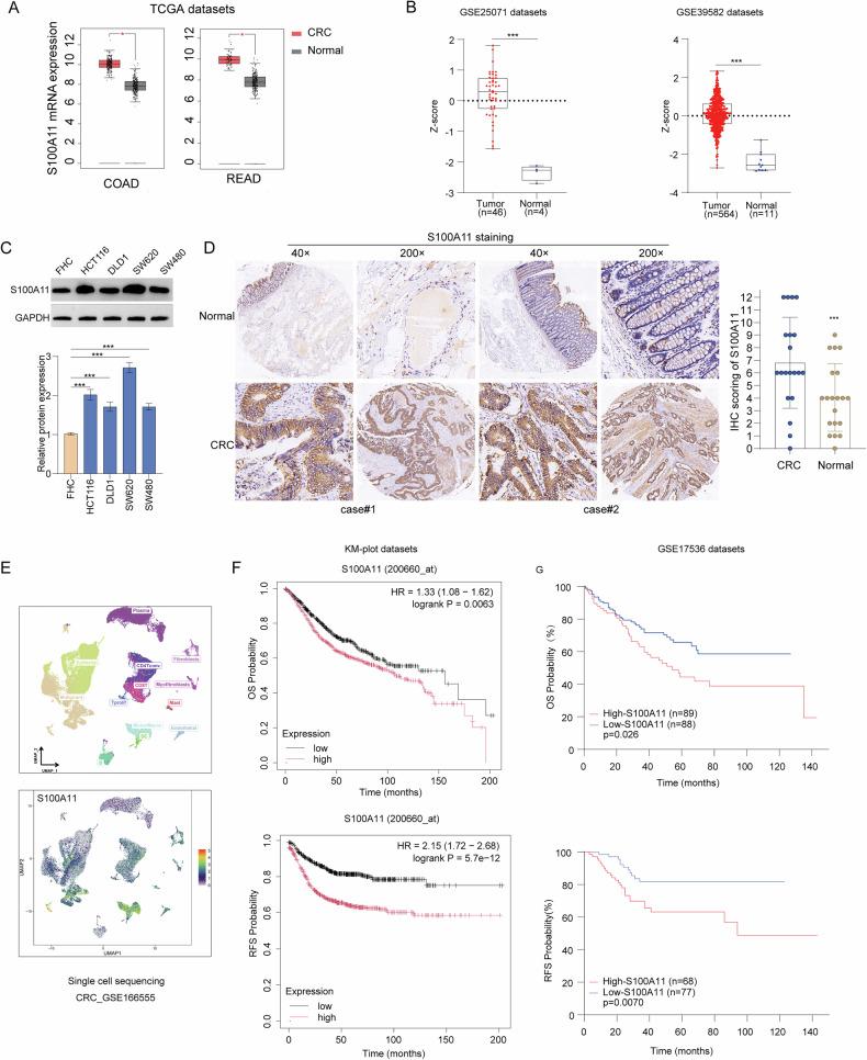
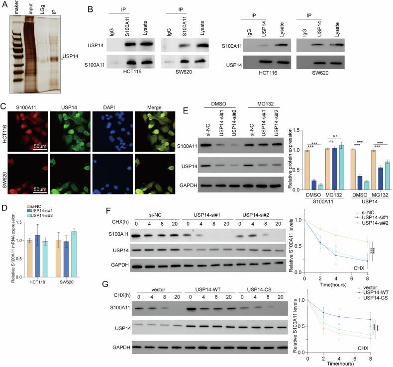
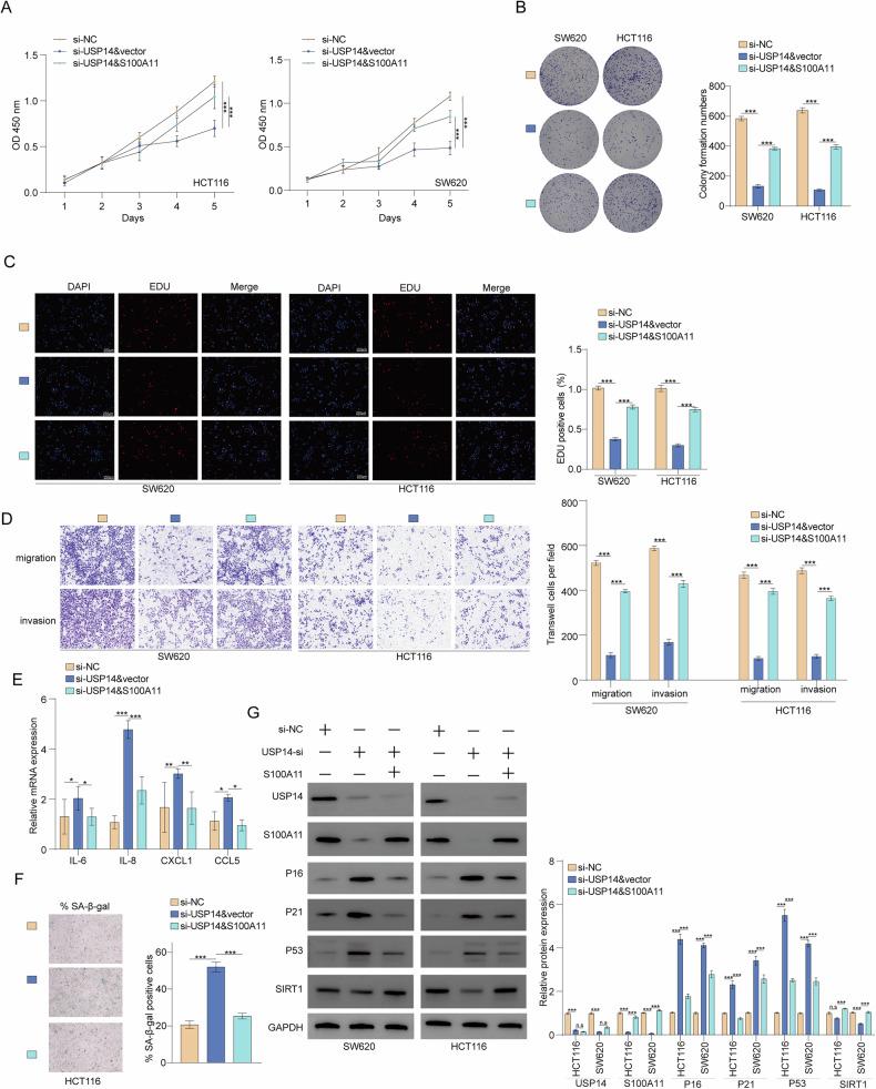
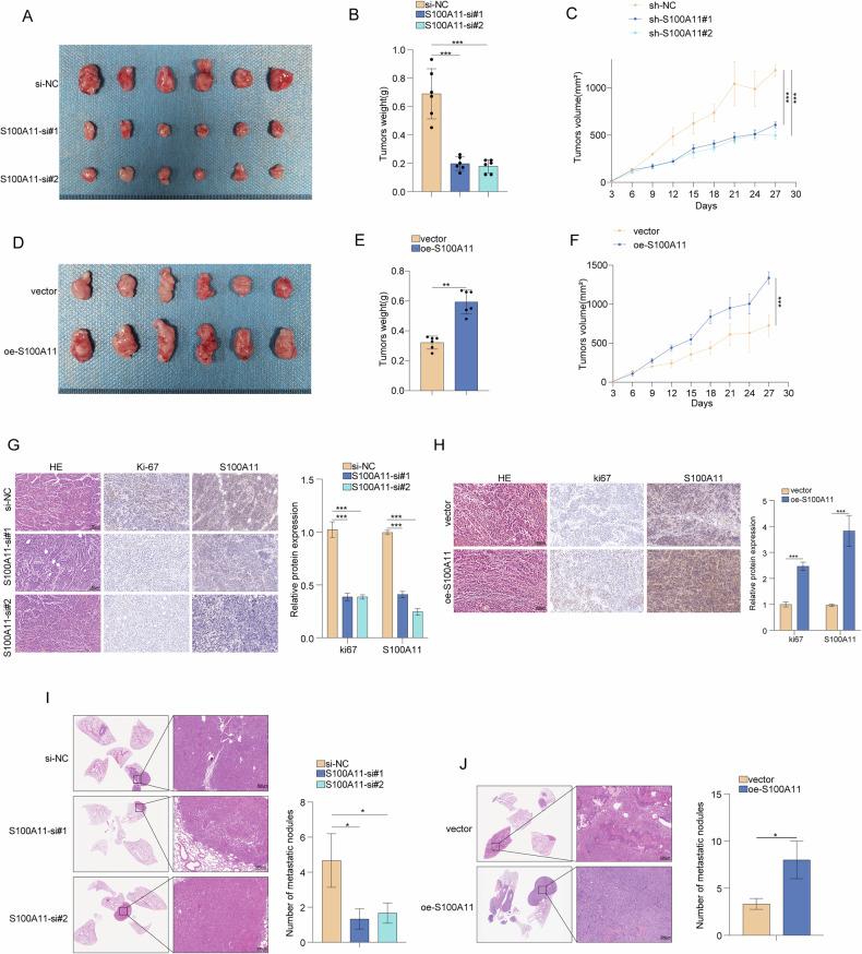
The aberrant expression of S100A11 has been identified in various malignancies but its functional roles and underlying mechanisms in colorectal cancer (CRC) have not been fully elucidated. Therefore, this study was designed to investigate the expression of S100A11 and its functional significance in CRC, indicating that S100A11 is significantly upregulated and correlates with poor survival outcomes in CRC. Functionally, S100A11 knockdown in CRC cell lines inhibited cell proliferation, invasion, and migration, leading to decreased tumour growth and metastasis in vivo. Mechanistic investigations revealed that S100A11 promotes cell proliferation and invasion by suppressing cell senescence. In addition, USP14 interacts with and mediates S100A11 deubiquitination. More importantly, the overexpression of S100A11 was able to partially counteract the reduction in cell proliferation caused by the knockdown of USP14. In summary, the novel regulatory axis involving USP14 and S100A11 modulates the malignant biological behavior of CRC cells through inhibiting cell senescence, therefore the interaction between USP14 and S100A11 represents a promising therapeutic target in CRC.

摘要

S100A11的异常表达已在多种恶性肿瘤中被发现,但其在结直肠癌(CRC)中的功能作用及潜在机制尚未完全阐明。因此,本研究旨在探究S100A11在CRC中的表达及其功能意义,结果表明S100A11在CRC中显著上调且与不良生存结果相关。在功能上,CRC细胞系中S100A11的敲低抑制了细胞增殖、侵袭和迁移,导致体内肿瘤生长和转移减少。机制研究显示,S100A11通过抑制细胞衰老促进细胞增殖和侵袭。此外,USP14与S100A11相互作用并介导其去泛素化。更重要的是,S100A11的过表达能够部分抵消USP14敲低导致的细胞增殖减少。总之,涉及USP14和S100A11的新型调控轴通过抑制细胞衰老调节CRC细胞的恶性生物学行为,因此USP14与S100A11之间的相互作用代表了CRC中一个有前景的治疗靶点。

https://cdn.ncbi.nlm.nih.gov/pmc/blobs/dbb8/12081677/addc6a09ad68/41419_2025_7724_Fig1_HTML.jpg

文献AI研究员

20分钟写一篇综述,助力文献阅读效率提升50倍。

立即体验

用中文搜PubMed

大模型驱动的PubMed中文搜索引擎

马上搜索

文档翻译

学术文献翻译模型,支持多种主流文档格式。

立即体验