Suppr超能文献

慢性睡眠剥夺导致血浆外泌体来源的miR-150-5p下调,这是一种通过靶向双皮质素样激酶1(DCLK1)参与帕金森病进展的新机制。

Chronic sleep deprivation induces plasma exosome-derived miR-150-5p downregulation as a novel mechanism involved in Parkinson's disease progression by targeting DCLK1.

作者信息

Liu Li, Liu Xiangting, Zhang Runze, Sun Xiao, Zhang Keping, Zheng Beibei, Yang Ruoxi, Yang Kaiyue, Song Guohua, Zhang Zhaoqiang

机构信息

School of Basic Medical Sciences, The Second Affiliated Hospital of Shandong First Medical University & Shandong Academy of Medical Science, Taian, 271000, China.

Key Laboratory of Endocrine Glucose & Lipids Metabolism and Brain Aging, Ministry of Education, Clinical & Basic Medical College, Shandong First Medical University & Shandong Academy of Medical Sciences, Jinan, 250117, China.

出版信息

J Transl Med. 2025 Jul 11;23(1):781. doi: 10.1186/s12967-025-06801-y.

Abstract

BACKGROUND

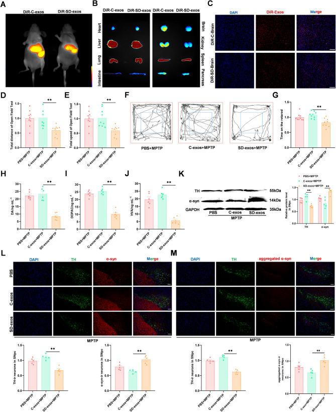
Researches have suggested that chronic sleep deprivation (SD) can lead to neurological dysfunction and facilitate the onset and progression of Parkinson's disease (PD). However, the association between SD and PD remains unclear. Exosome (exo) cargo comprises microRNAs (miRNAs), which are potential regulators of PD. This study focused on assessing the role and related mechanisms of SD on PD.

METHODS

SD plus 1-methyl-4-phenyl-1,2,3,6-tetrahydropyridine (MPTP)-induced PD mice were used to investigate effects of SD on PD. Exos were extracted from plasma by polymer precipitation method. Impacts of exos on PD were validated through intervention in 1-methyl-4-phenylpyridinium (MPP)-induced PD cells and MPTP-induced PD mice. Levels of miRNA in exos were analyzed by gene expression profile microarray. Levels of miR-150-5p in exos and substantia nigra pars compacta (SNpc) were further confirmed by reverse transcription quantitative polymerase chain reaction (RT-qPCR). Target genes of miRNAs were predicted by TargetScan and confirmed by Dual-Luciferase Reporter Assay. Mimics and inhibitors of miR-150-5p were transfected into MPP-induced PD cells, while agomir and antagomir of miR-150-5p were stereotaxic intracranial injected into SNpc of SD + MPTP-induced PD mice, enabling the determination of specific molecular mechanisms affecting PD.

RESULTS

We found that SD and SD-derived exos aggravated PD-related damage. SD-derived exos were identified as potent inducers of PD. MiR-150-5p was recognized as a key element in SD-derived exos, and doublecortin-like kinase 1 (DCLK1) was confirmed as its target gene. Supplementing miR-150-5p alleviated PD damage by inhibiting DCLK1 and abnormal α-synuclein (α-syn) expression, decreasing reactive oxygen species (ROS), p62, cleaved-caspase-3 and cleaved-caspase-9 levels, and increasing Parkin and PINK1 levels and the LC3II/I ratio.

CONCLUSION

These findings suggested that miR-150-5p-dependent downregulation in SD-derived exos could aggravate the progression of PD via the DCLK1/α-syn pathway. MiR-150-5p decreased ROS levels, promoted mitophagy, and inhibited apoptosis, thus mitigating PD-related damage. These findings indicated that plasma-derived exos and their miRNA cargo might serve as therapeutic targets for PD, providing insights into a mechanism that links SD-related deterioration to the progression of PD.

摘要

背景

研究表明,慢性睡眠剥夺(SD)可导致神经功能障碍,并促进帕金森病(PD)的发生和发展。然而,SD与PD之间的关联仍不明确。外泌体(exo)货物包含微小RNA(miRNA),它们是PD的潜在调节因子。本研究着重评估SD对PD的作用及相关机制。

方法

采用SD加1-甲基-4-苯基-1,2,3,6-四氢吡啶(MPTP)诱导的PD小鼠来研究SD对PD的影响。通过聚合物沉淀法从血浆中提取外泌体。通过干预1-甲基-4-苯基吡啶鎓(MPP)诱导的PD细胞和MPTP诱导的PD小鼠来验证外泌体对PD的影响。通过基因表达谱微阵列分析外泌体中miRNA的水平。通过逆转录定量聚合酶链反应(RT-qPCR)进一步确认外泌体和黑质致密部(SNpc)中miR-150-5p的水平。通过TargetScan预测miRNA的靶基因,并通过双荧光素酶报告基因检测进行确认。将miR-150-5p的模拟物和抑制剂转染到MPP诱导的PD细胞中,同时将miR-150-5p的激动剂和拮抗剂立体定向颅内注射到SD + MPTP诱导的PD小鼠的SNpc中,从而确定影响PD的具体分子机制。

结果

我们发现SD和SD来源的外泌体加重了PD相关损伤。SD来源的外泌体被确定为PD的有效诱导剂。miR-150-5p被认为是SD来源外泌体中的关键元素,双皮质素样激酶1(DCLK1)被确认为其靶基因。补充miR-150-5p通过抑制DCLK1和异常α-突触核蛋白(α-syn)表达、降低活性氧(ROS)、p62、裂解的半胱天冬酶-3和裂解的半胱天冬酶-9水平以及增加Parkin和PINK1水平及LC3II/I比值来减轻PD损伤。

结论

这些发现表明,SD来源外泌体中依赖miR-150-5p的下调可通过DCLK1/α-syn途径加重PD的进展。miR-150-5p降低ROS水平,促进线粒体自噬,并抑制细胞凋亡,从而减轻PD相关损伤。这些发现表明,血浆来源的外泌体及其miRNA货物可能成为PD的治疗靶点,为将SD相关恶化与PD进展联系起来的机制提供了见解。

https://cdn.ncbi.nlm.nih.gov/pmc/blobs/a246/12247404/ddf9c00e3eea/12967_2025_6801_Fig1_HTML.jpg

文献AI研究员

20分钟写一篇综述,助力文献阅读效率提升50倍。

立即体验

用中文搜PubMed

大模型驱动的PubMed中文搜索引擎

马上搜索

文档翻译

学术文献翻译模型,支持多种主流文档格式。

立即体验