Suppr超能文献

ATRX的相分离凝聚物调节神经祖细胞的特性。

Phase separated condensates of ATRX regulate neural progenitor identity.

作者信息

Tomooka Ryo, Sanosaka Tsukasa, Miyagi Tamami, Andoh-Noda Tomoko, Banno Satoe, Mizota Noriko, Kanekura Kohsuke, Okano Hideyuki, Kohyama Jun

机构信息

Department of Physiology, Keio University School of Medicine, Shinjuku-ku, Tokyo, Japan.

Laboratory of Stem Cell Biology, Faculty of Human Sciences, Waseda University, Tokorozawa, Saitama, Japan.

出版信息

Nat Commun. 2025 Jul 14;16(1):6489. doi: 10.1038/s41467-025-61881-0.

Abstract

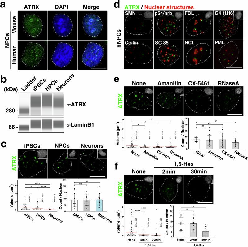
Mutations in the ATRX genes cause alpha-thalassemia X-linked intellectual disability (ATR-X) syndrome. Here, we show that ATRX influences the fate of human neural progenitor cells (hNPCs) by forming condensates through liquid-liquid phase separation (LLPS). The intrinsically disordered region (IDR) of ATRX is essential for LLPS and enables ATRX to form dynamic condensates that recruit co-activators. These condensates are necessary for ATRX localization at super-enhancers (SEs) in hNPCs, linking its compartmentalization to transcriptional regulation. Disruption of ATRX condensates alters gene expression and impairs neuronal differentiation. Our findings support a model in which ATRX phase separation regulates gene networks required for hNPC identity. These findings extend current understanding of ATRX function beyond its roles in chromatin structure and suggest that LLPS is a key regulatory mechanism by which ATRX supports neurodevelopment. This study opens avenues for further investigation into how dysregulation of ATRX and its phase-separation ability may contribute to the pathogenesis of ATR-X syndrome and related neurodevelopmental disorders.

摘要

ATRX基因的突变会导致α地中海贫血X连锁智力障碍(ATR-X)综合征。在此,我们表明,ATRX通过液-液相分离(LLPS)形成凝聚物来影响人类神经祖细胞(hNPC)的命运。ATRX的内在无序区域(IDR)对LLPS至关重要,并使ATRX能够形成招募共激活因子的动态凝聚物。这些凝聚物对于ATRX在hNPC的超级增强子(SEs)处的定位是必需的,将其区室化与转录调控联系起来。ATRX凝聚物的破坏会改变基因表达并损害神经元分化。我们的研究结果支持一种模型,即ATRX相分离调节hNPC特性所需的基因网络。这些发现扩展了目前对ATRX功能的理解,超出了其在染色质结构中的作用,并表明LLPS是ATRX支持神经发育的关键调控机制。这项研究为进一步研究ATRX失调及其相分离能力如何导致ATR-X综合征和相关神经发育障碍的发病机制开辟了途径。

https://cdn.ncbi.nlm.nih.gov/pmc/blobs/2555/12259971/08e8c08083ad/41467_2025_61881_Fig1_HTML.jpg

文献AI研究员

20分钟写一篇综述,助力文献阅读效率提升50倍。

立即体验

用中文搜PubMed

大模型驱动的PubMed中文搜索引擎

马上搜索

文档翻译

学术文献翻译模型,支持多种主流文档格式。

立即体验