Suppr超能文献

重组白细胞介素-22结合蛋白在银屑病中的治疗潜力:对小鼠白细胞介素-22/信号转导及转录激活因子3信号通路的抑制作用

Therapeutic potential of recombinant IL-22BP in psoriasis: suppression of IL-22/STAT3 signaling in mice.

作者信息

Chen Xiuze, Zeng Tao, Fang Fang, Tian Qinyu, Li Yingying, Zhou Wenlin, Gong Binqian, Tian Na, Zhang Jizhou, Xiao Yechen

机构信息

Department of Biotechnology, Basic Medical School, Guangdong Medical University, Dongguan, 523808, China.

The Second Affiliated Hospital of Guangdong Medical University, Zhanjiang, 524023, China.

出版信息

AMB Express. 2025 Aug 18;15(1):121. doi: 10.1186/s13568-025-01931-4.

Abstract

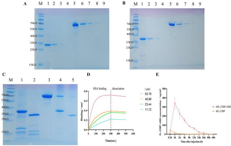
Psoriasis is a persistent immune-mediated inflammatory disorder that adversely affects the skin. Interleukin-22 (IL-22) is integral to the development and pathophysiology of psoriasis, and targeting IL-22 may serve as a promising therapeutic approach for treating the condition. IL-22 binding protein (IL-22BP) exhibits a binding affinity for IL-22 that far surpasses that of IL-22RA1 and functions as a natural antagonist of IL-22. Traditional IL-22BP production methods predominantly rely on eukaryotic animal cell expression systems, which generally require complex processes, resulting in low yield and high production costs. This study reports the expression of long-acting IL-22BP with a high yield and purity over 90% in Escherichia coli by fusion with the albumin-binding structural domain ABD. The biological functions of rhIL-22BP-ABD were assessed utilizing cell lines and a murine model. Our findings indicated that rhIL-22BP-ABD successfully suppressed IL-22-induced proliferation of HaCaT cells in vitro and alleviated imiquimod-induced psoriasis inflammation in mice. Furthermore, rhIL-22BP-ABD can effectively inhibit the signaling of its downstream signaling pathway STAT3 and the associated inflammatory factors by binding to IL-22, which is beneficial to the recovery of psoriasis. These findings provide a basis for forthcoming extensive studies on the rhIL-22BP-ABD protein for industrial manufacturing and pharmaceutical development.

摘要

银屑病是一种持续的免疫介导性炎症性疾病,会对皮肤产生不利影响。白细胞介素-22(IL-22)在银屑病的发生发展和病理生理过程中起着不可或缺的作用,靶向IL-22可能是治疗该疾病的一种有前景的治疗方法。IL-22结合蛋白(IL-22BP)对IL-22的结合亲和力远远超过IL-22RA1,并且作为IL-22的天然拮抗剂发挥作用。传统的IL-22BP生产方法主要依赖于真核动物细胞表达系统,该系统通常需要复杂的过程,导致产量低且生产成本高。本研究报道了通过与白蛋白结合结构域ABD融合,在大肠杆菌中高效表达产率高且纯度超过90%的长效IL-22BP。利用细胞系和小鼠模型评估了重组人IL-22BP-ABD的生物学功能。我们的研究结果表明,重组人IL-22BP-ABD在体外成功抑制了IL-22诱导的HaCaT细胞增殖,并减轻了咪喹莫特诱导的小鼠银屑病炎症。此外,重组人IL-22BP-ABD可以通过与IL-22结合有效抑制其下游信号通路STAT3及相关炎症因子的信号传导,这有利于银屑病的恢复。这些发现为即将开展的关于重组人IL-22BP-ABD蛋白用于工业生产和药物开发的广泛研究提供了基础。

https://cdn.ncbi.nlm.nih.gov/pmc/blobs/c6b4/12361007/95c6d02fe661/13568_2025_1931_Fig1_HTML.jpg

文献AI研究员

20分钟写一篇综述,助力文献阅读效率提升50倍。

立即体验

用中文搜PubMed

大模型驱动的PubMed中文搜索引擎

马上搜索

文档翻译

学术文献翻译模型,支持多种主流文档格式。

立即体验