Suppr超能文献

补肾开窍方调控小胶质细胞活化减轻注意缺陷多动障碍神经炎症的机制研究

A study on the mechanism of Bushen Kaiqiao Formula in modulating microglial activation to alleviate neuroinflammation in ADHD.

作者信息

Zhang Jiaqi, Sun Ruxin, Xiong Yu, Yang Yuting, Wang Jing, Zhu Kanglin, Ni Xinqiang, Huang Min

机构信息

Department of Neurology, The Seventh Affiliated Hospital, Sun Yat-sen University, Shenzhen, China.

The Fourth Clinical Medical College, Guangzhou University of Chinese Medicine, Shenzhen, China.

出版信息

Biochem Biophys Rep. 2025 Aug 18;43:102211. doi: 10.1016/j.bbrep.2025.102211. eCollection 2025 Sep.

Abstract

BACKGROUND

Growing evidence suggests that dysregulated microglial activation and neuroinflammation in the prefrontal cortex may underlie the pathophysiology of Attention Deficit Hyperactivity Disorder. Utilizing spontaneously hypertensive rats-a well-validated animal model of ADHD-this study aimed to characterize ADHD-like behavioral phenotypes and prefrontal cortical neuronal development and elucidate the neuroimmunological mechanisms through which the Bushen Kaiqiao Formula (BSKQF) exerts its therapeutic effects by modulating microglial activation states.

METHODS

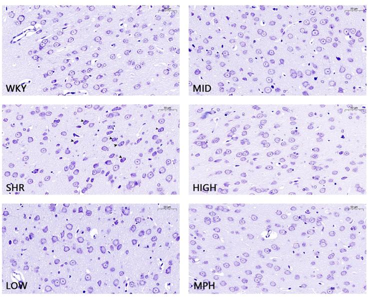
Ultra-high-performance liquid chromatography coupled with a tandem mass spectrometer (UHPLC-MS/MS) was used to qualitatively analyze the chemical composition of Bushen Kaiqiao Formula, and network pharmacology was applied to predict its potential therapeutic targets and ADHD-related pathways ADHD-like behaviors, including hyperactivity, impulsivity, spatial memory, and attention, were assessed using the Open Field Test, Elevated Plus Maze, and Y-Maze Test at weeks 2 and 4. Prefrontal cortical neuronal morphology and dendritic spine density were evaluated using Nissl staining and Golgi-Cox staining, respectively. Microglial activation (Iba-1+/iNOS + immunofluorescence), inflammatory cytokine levels (IL-1β and IL-6 by ELISA), and blood-brain barrier integrity (transmission electron microscopy) were examined. In vitro, primary prefrontal cortical neurons and microglia were isolated from neonatal rats and treated with BSKQF-containing serum at different concentrations, with Methylphenidate (MPH) as a control. An oxygen-glucose deprivation/reoxygenation (OGD/R) model was established to mimic neuroinflammatory conditions with inflammatory signaling pathways assessed.

RESULTS

UHPLC-MS/MS identified key bioactive components of Bushen Kaiqiao Formula. Network pharmacology analysis suggested that BSKQF may ameliorate ADHD-related behavioral deficits by inhibiting the NF-κB signaling pathway. Behavioral assessments demonstrated dose- and time-dependent effects. BSKQF significantly reduced neuronal loss, promoted synaptic plasticity, reduced the proportion of activated microglia (iNOS+/Iba-1+), and lowered IL-1β and IL-6 levels. Additionally, ultrastructural examination indicated restored blood-brain barrier integrity and reduced perivascular edema. In vitro, BSKQF-containing serum suppressed NF-κB pathway activation (p-NF-κB-p65, p-IκBα) and inflammasome-related proteins (NLRP3, caspase-1).

CONCLUSION

BSKQF effectively alleviates ADHD-like behaviors in SHR rats by inhibiting prefrontal microglial activation and neuroinflammation, reducing neuronal apoptosis, restoring synaptic plasticity, and preserving blood-brain barrier integrity.

摘要

背景

越来越多的证据表明,前额叶皮质中小胶质细胞激活失调和神经炎症可能是注意力缺陷多动障碍病理生理学的基础。本研究利用自发性高血压大鼠——一种经过充分验证的注意力缺陷多动障碍动物模型,旨在表征类似注意力缺陷多动障碍的行为表型和前额叶皮质神经元发育,并阐明补肾开窍方(BSKQF)通过调节小胶质细胞激活状态发挥治疗作用的神经免疫机制。

方法

采用超高效液相色谱-串联质谱联用技术(UHPLC-MS/MS)对补肾开窍方的化学成分进行定性分析,并应用网络药理学预测其潜在治疗靶点和与注意力缺陷多动障碍相关的通路。在第2周和第4周,使用旷场试验、高架十字迷宫试验和Y迷宫试验评估类似注意力缺陷多动障碍的行为,包括多动、冲动、空间记忆和注意力。分别使用尼氏染色和高尔基-考克斯染色评估前额叶皮质神经元形态和树突棘密度。检测小胶质细胞激活(Iba-1+/iNOS+免疫荧光)、炎性细胞因子水平(ELISA检测IL-1β和IL-6)和血脑屏障完整性(透射电子显微镜)。在体外,从新生大鼠中分离出原代前额叶皮质神经元和小胶质细胞,并用不同浓度的含补肾开窍方血清处理,以甲基苯丙胺(MPH)作为对照。建立氧糖剥夺/复氧(OGD/R)模型以模拟神经炎症条件,并评估炎症信号通路。

结果

UHPLC-MS/MS鉴定出补肾开窍方的关键生物活性成分。网络药理学分析表明,补肾开窍方可能通过抑制NF-κB信号通路改善与注意力缺陷多动障碍相关的行为缺陷。行为评估显示出剂量和时间依赖性效应。补肾开窍方显著减少神经元损失,促进突触可塑性,降低激活的小胶质细胞(iNOS+/Iba-1+)比例,并降低IL-1β和IL-6水平。此外,超微结构检查表明血脑屏障完整性恢复,血管周围水肿减轻。在体外,含补肾开窍方血清抑制NF-κB通路激活(p-NF-κB-p65、p-IκBα)和炎性小体相关蛋白(NLRP3、caspase-1)。

结论

补肾开窍方通过抑制前额叶小胶质细胞激活和神经炎症、减少神经元凋亡、恢复突触可塑性以及保持血脑屏障完整性,有效减轻SHR大鼠的类似注意力缺陷多动障碍的行为。

https://cdn.ncbi.nlm.nih.gov/pmc/blobs/7149/12396018/6b5bdc367f8c/gr1.jpg

文献AI研究员

20分钟写一篇综述,助力文献阅读效率提升50倍。

立即体验

用中文搜PubMed

大模型驱动的PubMed中文搜索引擎

马上搜索

文档翻译

学术文献翻译模型,支持多种主流文档格式。

立即体验