Suppr超能文献

尿激酶型纤溶酶原激活物受体表达的下调抑制了Erk信号传导,同时由于结肠癌细胞中uPAR-β1整合素复合物的缺失而抑制了侵袭性。

Downregulation of urokinase plasminogen activator receptor expression inhibits Erk signalling with concomitant suppression of invasiveness due to loss of uPAR-beta1 integrin complex in colon cancer cells.

作者信息

Ahmed N, Oliva K, Wang Y, Quinn M, Rice G

机构信息

Department of Obstetrics and Gynaecology, Gynaecological Cancer Research Centre, Royal Women's Hospital, University of Melbourne, Melbourne 3053, Australia.

出版信息

Br J Cancer. 2003 Jul 21;89(2):374-84. doi: 10.1038/sj.bjc.6601098.

Abstract

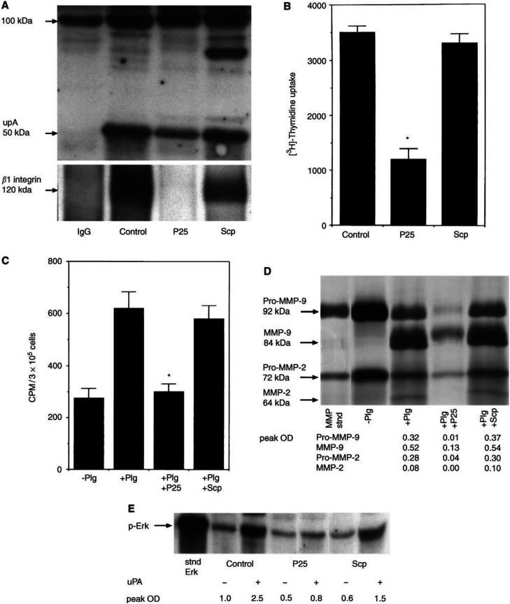
Cancer invasion is regulated by cell surface proteinases and adhesion molecules. Interaction between specific cell surface molecules such as urokinase plasminogen activator receptor (uPAR) and integrins is crucial for tumour invasion and metastasis. In this study, we examined whether uPAR and beta1 integrin form a functional complex to mediate signalling required for tumour invasion. We assessed the expression of uPAR/beta1 integrin complex, Erk signalling pathway, adhesion, uPA and matrix metalloproteinase (MMP) expression, migration/invasion and matrix degradation in a colon cancer cell line in which uPAR expression was modified. Antisense inhibition of the cell surface expression of uPAR by 50% in human colon carcinoma HCT116 cells (A/S) suppressed Erk-MAP kinase activity by two-fold. Urokinase plasminogen activator receptor antisense treatment of HCT116 cells was associated with a 1.3-fold inhibition of adhesion, approximately four-fold suppression of HMW-uPA secretion and inhibition of pro-MMP-9 secretion. At a functional level, uPAR antisense resulted in a four-fold decline in migration/invasion and abatement of plasmin-mediated matrix degradation. In empty vector-transfected cells (mock), uPA strongly elevated basal Erk activation. In contrast, in A/S cells, uPA induction of Erk activation was not observed. Urokinase plasminogen activator receptor associated with beta1 integrin in mock-transfected cells. Disruption of uPAR-beta1 integrin complex in mock-transfected cells with a specific peptide (P25) inhibited uPA-mediated Erk-MAP kinase pathway and inhibited migration/invasion and plasmin-dependent matrix degradation through suppression of pro-MMP-9/MMP-2 expression. This novel paradigm of uPAR-integrin signalling may afford opportunities for alternative therapeutic strategies for the treatment of cancer.

摘要

癌症侵袭受细胞表面蛋白酶和黏附分子调控。特定细胞表面分子如尿激酶型纤溶酶原激活物受体(uPAR)与整合素之间的相互作用对肿瘤侵袭和转移至关重要。在本研究中,我们检测了uPAR与β1整合素是否形成功能复合物以介导肿瘤侵袭所需的信号传导。我们评估了在uPAR表达被修饰的结肠癌细胞系中uPAR/β1整合素复合物的表达、Erk信号通路、黏附、uPA和基质金属蛋白酶(MMP)表达、迁移/侵袭及基质降解情况。在人结肠癌HCT116细胞(A/S)中,uPAR细胞表面表达的反义抑制达50%,使Erk-MAP激酶活性降低了两倍。对HCT116细胞进行尿激酶型纤溶酶原激活物受体反义处理,黏附受到1.3倍抑制,高分子量uPA分泌受到约四倍抑制,前MMP-9分泌也受到抑制。在功能水平上,uPAR反义导致迁移/侵袭下降四倍,纤溶酶介导的基质降解减弱。在空载体转染细胞(mock)中,uPA强烈提高基础Erk激活水平。相比之下,在A/S细胞中未观察到uPA诱导的Erk激活。在mock转染细胞中,uPAR与β1整合素相关联。用特定肽(P25)破坏mock转染细胞中的uPAR-β1整合素复合物,抑制了uPA介导的Erk-MAP激酶途径,并通过抑制前MMP-9/MMP-2表达抑制了迁移/侵袭及纤溶酶依赖性基质降解。这种uPAR-整合素信号传导的新范式可能为癌症治疗提供替代治疗策略的机会。

https://cdn.ncbi.nlm.nih.gov/pmc/blobs/f865/2394266/18ba2f6c41e1/89-6601098f1.jpg

文献AI研究员

20分钟写一篇综述,助力文献阅读效率提升50倍。

立即体验

用中文搜PubMed

大模型驱动的PubMed中文搜索引擎

马上搜索

文档翻译

学术文献翻译模型,支持多种主流文档格式。

立即体验