Suppr超能文献

2-氰基-3,12-二氧代齐墩果-1,9-二烯-28-酸C-28甲酯(CDDO-Me;巴多索隆甲酯)对小鼠辐射诱导的肺部炎症和纤维化的治疗作用。

Therapeutic effects of C-28 methyl ester of 2-cyano-3,12-dioxoolean-1,9-dien-28-oic acid (CDDO-Me; bardoxolone methyl) on radiation-induced lung inflammation and fibrosis in mice.

作者信息

Wang Yan-Yang, Zhang Cui-Ying, Ma Ya-Qiong, He Zhi-Xu, Zhe Hong, Zhou Shu-Feng

机构信息

Department of Radiation Oncology, General Hospital of Ningxia Medical University, Guiyang, People's Republic of China.

Graduate School, Ningxia Medical University, Guiyang, People's Republic of China.

出版信息

Drug Des Devel Ther. 2015 Jun 22;9:3163-78. doi: 10.2147/DDDT.S80958. eCollection 2015.

Abstract

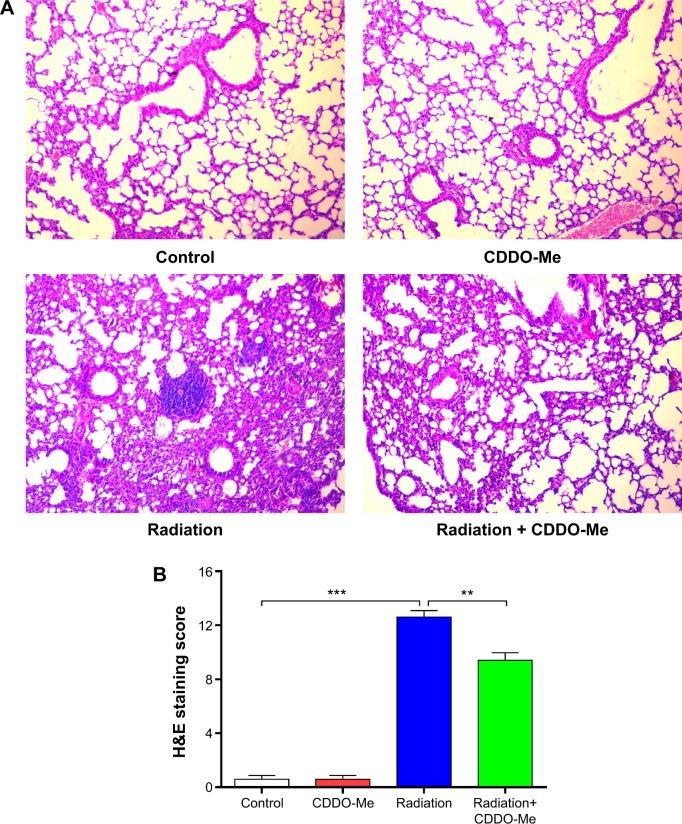
The C-28 methyl ester of 2-cyano-3,12-dioxoolean-1,9-dien-28-oic acid (CDDO-Me), one of the synthetic triterpenoids, has been found to have potent anti-inflammatory and anticancer properties in vitro and in vivo. However, its usefulness in mitigating radiation-induced lung injury (RILI), including radiation-induced lung inflammation and fibrosis, has not been tested. The aim of this study was to explore the therapeutic effect of CDDO-Me on RILI in mice and the underlying mechanisms. Herein, we found that administration of CDDO-Me improved the histopathological score, reduced the number of inflammatory cells and concentrations of total protein in bronchoalveolar lavage fluid, suppressed secretion and expression of proinflammatory cytokines, including transforming growth factor-β and interleukin-6, elevated expression of the anti-inflammatory cytokine interleukin-10, and downregulated the mRNA level of profibrotic genes, including for fibronectin, α-smooth muscle actin, and collagen I. CDDO-Me attenuated radiation-induced lung inflammation. CDDO-Me also decreased the Masson's trichrome stain score, hydroxyproline content, and mRNA level of profibrotic genes, and blocked radiation-induced collagen accumulation and fibrosis. Collectively, these findings suggest that CDDO-Me ameliorates radiation-induced lung inflammation and fibrosis, and this synthetic triterpenoid is a promising novel therapeutic agent for RILI. Further mechanistic, efficacy, and safety studies are warranted to elucidate the role of CDDO-Me in the management of RILI.

摘要

2-氰基-3,12-二氧代齐墩果-1,9-二烯-28-酸(CDDO-Me)的C-28甲酯是一种合成三萜类化合物,已发现在体外和体内具有强大的抗炎和抗癌特性。然而,其在减轻辐射诱导的肺损伤(RILI),包括辐射诱导的肺部炎症和纤维化方面的作用尚未得到测试。本研究的目的是探讨CDDO-Me对小鼠RILI的治疗效果及其潜在机制。在此,我们发现给予CDDO-Me可改善组织病理学评分,减少支气管肺泡灌洗液中炎症细胞数量和总蛋白浓度,抑制促炎细胞因子(包括转化生长因子-β和白细胞介素-6)的分泌和表达,提高抗炎细胞因子白细胞介素-10的表达,并下调包括纤连蛋白、α-平滑肌肌动蛋白和I型胶原在内的促纤维化基因的mRNA水平。CDDO-Me减轻了辐射诱导的肺部炎症。CDDO-Me还降低了Masson三色染色评分、羟脯氨酸含量和促纤维化基因的mRNA水平,并阻止了辐射诱导的胶原积累和纤维化。总体而言,这些发现表明CDDO-Me可改善辐射诱导的肺部炎症和纤维化, 这种合成三萜类化合物是一种有前景的新型RILI治疗药物。有必要进行进一步的机制、疗效和安全性研究,以阐明CDDO-Me在RILI管理中的作用

https://cdn.ncbi.nlm.nih.gov/pmc/blobs/506e/4482372/e8666ddad11f/dddt-9-3163Fig1.jpg

文献AI研究员

20分钟写一篇综述,助力文献阅读效率提升50倍。

立即体验

用中文搜PubMed

大模型驱动的PubMed中文搜索引擎

马上搜索

文档翻译

学术文献翻译模型,支持多种主流文档格式。

立即体验