Suppr超能文献

胡椒薄荷叶精油对 CCl 诱导的大鼠肝氧化损伤和肾衰竭的保护作用。

Protective effects of Mentha piperita L. leaf essential oil against CCl induced hepatic oxidative damage and renal failure in rats.

机构信息

Department of Life Sciences, Animal Ecophysiology Laboratory, Faculty of sciences, University of Sfax Tunisia, Road of Soukra Km 3.5, BP 1171, PC 3000, Sfax, Tunisia.

Biotechnology and Plant Improvement Laboratory, Centre of Biotechnology of Sfax, PO Box 1177, Road Sidi Mansour km 6, 3018, Sfax, Tunisia.

出版信息

Lipids Health Dis. 2018 Jan 9;17(1):9. doi: 10.1186/s12944-017-0645-9.

Abstract

BACKGROUND

Mentha piperita L. is a flowering plant belonging to the Lamiaceae family. Mentha plants constitute one of the main valuable sources of essential oil used in foods and for medicinal purposes.

METHODS

The present study aimed to investigate the composition and in vitro antioxidant activity of Mentha piperita leaf essential oil (MpEO). A single dose of CCl was used to induce oxidative stress in rats, which was demonstrated by a significant rise of serum enzyme markers. MpEO was administrated for 7 consecutive days (5, 15, 40 mg/kg body weight) to Wistar rats prior to CCl treatment and the effects on serum alanine aminotransferase (ALT), aspartate aminotransferase (AST), alkaline phosphatase (ALP), lactate dehydrogenase (LDH), and γ -glutamyl transpeptidase (γ-GT) levels, as well as the liver and kidney superoxide dismutase (SOD), catalase (CAT) and glutathione peroxidase (GPx) activity and thiobarbituric acid reactive substances (TBARS) levels were evaluated. In addition, histopathological examinations of livers and kidneys was performed.

RESULTS

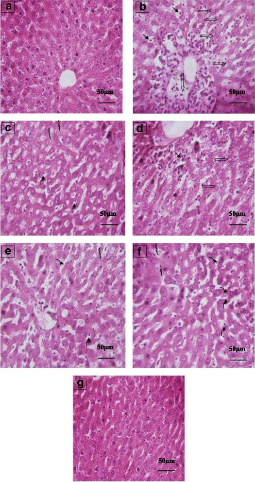
The in vitro antioxidant activity of MpEO was lower than that of silymarin. Pretreatment of animals with MpEO at a dose of 5 mg/kg did not have a significant effect on ALT, AST, ALP, LDH, γGT, urea or creatinine levels in CCl-induced stress. Whereas pretreatment with MpEO at doses of 15 and 40 mg/kg prior to CCl, significantly reduced stress parameters (ALT, AST, ALP, LDH, γGT, urea and creatinine) compared to the CCl-only group. Moreover, a significant reduction in hepatic and kidney lipid peroxidation (TBARS) and an increase in antioxidant enzymes SOD, CAT and GPx was also observed after treatment with MpEO (40 mg/kg) compared to CCl-treated rats. Furthermore, pretreatment with MpEO at 40 mg/kg can also markedly ameliorate the histopathological hepatic and kidney lesions induced by administration of CCl.

CONCLUSIONS

We could demonstrate with this study that MpEO protects liver and kidney from CCl-induced oxidative stress and thus substantiate the beneficial effects attributed traditionally to this plant.

摘要

背景

胡椒薄荷是唇形科薄荷属的一种开花植物。薄荷植物是食品和药用目的中使用的精油的主要有价值来源之一。

方法

本研究旨在研究胡椒薄荷叶精油(MpEO)的组成和体外抗氧化活性。单次 CCl 剂量用于诱导大鼠氧化应激,这表现为血清酶标志物的显著升高。MpEO 在 CCl 处理前连续 7 天(5、15、40mg/kg 体重)给予 Wistar 大鼠,并评估其对血清丙氨酸氨基转移酶(ALT)、天冬氨酸氨基转移酶(AST)、碱性磷酸酶(ALP)、乳酸脱氢酶(LDH)和γ-谷氨酰转肽酶(γ-GT)水平以及肝脏和肾脏超氧化物歧化酶(SOD)、过氧化氢酶(CAT)和谷胱甘肽过氧化物酶(GPx)活性和硫代巴比妥酸反应物质(TBARS)水平的影响。此外,还进行了肝脏和肾脏的组织病理学检查。

结果

MpEO 的体外抗氧化活性低于水飞蓟素。5mg/kg 剂量的 MpEO 预处理对 CCl 诱导应激大鼠的 ALT、AST、ALP、LDH、γ-GT、尿素或肌酐水平没有显著影响。然而,MpEO 以 15 和 40mg/kg 的剂量预处理,与 CCl 组相比,显著降低应激参数(ALT、AST、ALP、LDH、γ-GT、尿素和肌酐)。此外,与 CCl 处理大鼠相比,MpEO(40mg/kg)处理还观察到肝和肾脂质过氧化(TBARS)显著减少,抗氧化酶 SOD、CAT 和 GPx 增加。此外,MpEO 预处理 40mg/kg 还可以明显改善 CCl 给药引起的肝和肾组织病理学损伤。

结论

我们通过这项研究表明,MpEO 可保护肝脏和肾脏免受 CCl 诱导的氧化应激,从而证实了传统上归因于该植物的有益作用。

https://cdn.ncbi.nlm.nih.gov/pmc/blobs/91ab/5761127/3c9215b2da51/12944_2017_645_Fig1_HTML.jpg

文献AI研究员

20分钟写一篇综述,助力文献阅读效率提升50倍。

立即体验

用中文搜PubMed

大模型驱动的PubMed中文搜索引擎

马上搜索

文档翻译

学术文献翻译模型,支持多种主流文档格式。

立即体验