Suppr超能文献

香烟烟雾诱导的上皮细胞铁死亡在 COPD 发病机制中的作用。

Involvement of cigarette smoke-induced epithelial cell ferroptosis in COPD pathogenesis.

机构信息

Division of Respiratory Diseases, Department of Internal Medicine, Jikei University School of Medicine, 105-8461, Tokyo, Japan.

Laboratory of Hygienic Chemistry and Medicinal Research Laboratories, School of Pharmaceutical Sciences, Kitasato University, 108-8641, Tokyo, Japan.

出版信息

Nat Commun. 2019 Jul 17;10(1):3145. doi: 10.1038/s41467-019-10991-7.

Abstract

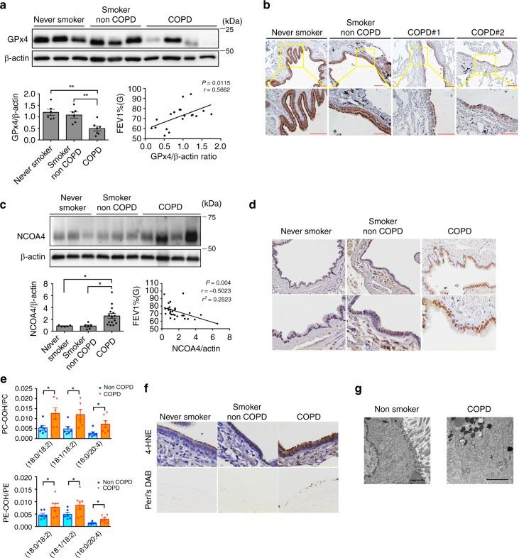
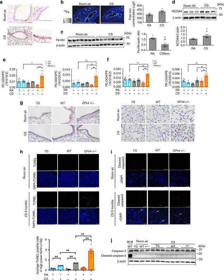
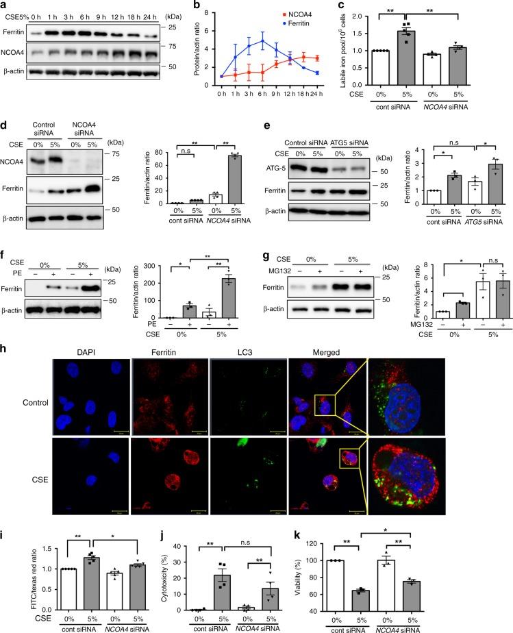
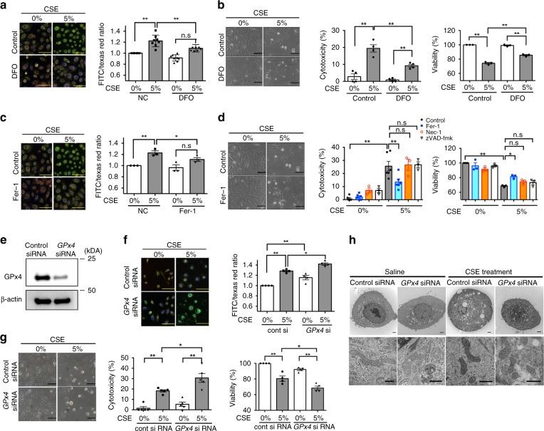
Ferroptosis is a necrotic form of regulated cell death (RCD) mediated by phospholipid peroxidation in association with free iron-mediated Fenton reactions. Disrupted iron homeostasis resulting in excessive oxidative stress has been implicated in the pathogenesis of chronic obstructive pulmonary disease (COPD). Here, we demonstrate the involvement of ferroptosis in COPD pathogenesis. Our in vivo and in vitro models show labile iron accumulation and enhanced lipid peroxidation with concomitant non-apoptotic cell death during cigarette smoke (CS) exposure, which are negatively regulated by GPx4 activity. Treatment with deferoxamine and ferrostatin-1, in addition to GPx4 knockdown, illuminate the role of ferroptosis in CS-treated lung epithelial cells. NCOA4-mediated ferritin selective autophagy (ferritinophagy) is initiated during ferritin degradation in response to CS treatment. CS exposure models, using both GPx4-deficient and overexpressing mice, clarify the pivotal role of GPx4-regulated cell death during COPD. These findings support a role for cigarette smoke-induced ferroptosis in the pathogenesis of COPD.

摘要

铁死亡是一种由脂质过氧化介导的受调控的细胞死亡(RCD)形式,与游离铁介导的芬顿反应有关。铁稳态的破坏导致氧化应激过度,与慢性阻塞性肺疾病(COPD)的发病机制有关。在这里,我们证明了铁死亡在 COPD 发病机制中的作用。我们的体内和体外模型显示,在香烟烟雾(CS)暴露期间,不稳定铁的积累和增强的脂质过氧化伴随着非凋亡性细胞死亡,而 GPx4 活性则对其进行负调节。用去铁胺和 ferrostatin-1 处理,以及 GPx4 敲低,阐明了铁死亡在 CS 处理的肺上皮细胞中的作用。NCOA4 介导的铁蛋白选择性自噬(铁蛋白自噬)在铁蛋白降解时被触发,以响应 CS 处理。使用 GPx4 缺陷和过表达小鼠的 CS 暴露模型,阐明了 GPx4 调节的细胞死亡在 COPD 中的关键作用。这些发现支持了香烟烟雾诱导的铁死亡在 COPD 发病机制中的作用。

https://cdn.ncbi.nlm.nih.gov/pmc/blobs/1281/6637122/51066aca125b/41467_2019_10991_Fig1_HTML.jpg

文献AI研究员

20分钟写一篇综述,助力文献阅读效率提升50倍。

立即体验

用中文搜PubMed

大模型驱动的PubMed中文搜索引擎

马上搜索

文档翻译

学术文献翻译模型,支持多种主流文档格式。

立即体验