Suppr超能文献

二甲双胍可提高肌膜完整性,并改善杜氏肌营养不良症小鼠模型中的神经肌肉功能缺陷。

Metformin ncreases arcolemma ntegrity and meliorates euromuscular eficits in a urine odel of Duchenne uscular ystrophy.

作者信息

Dong Xia, Hui Tiankun, Chen Jie, Yu Zheng, Ren Dongyan, Zou Suqi, Wang Shunqi, Fei Erkang, Jiao Huifeng, Lai Xinsheng

机构信息

School of Basic Medical Sciences, Nanchang University, Nanchang, China.

Laboratory of Synaptic Development and Plasticity, Institute of Life Science, Nanchang University, Nanchang, China.

出版信息

Front Physiol. 2021 May 3;12:642908. doi: 10.3389/fphys.2021.642908. eCollection 2021.

Abstract

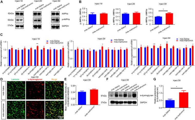
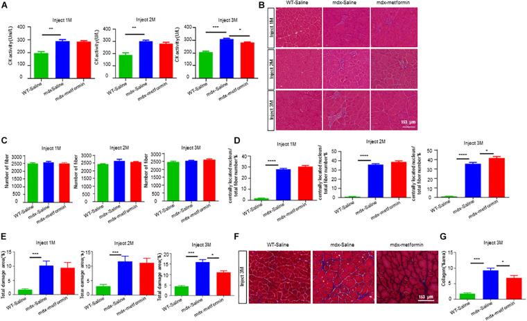
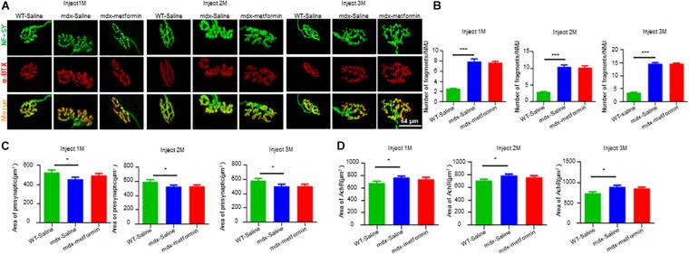
Duchenne muscular dystrophy (DMD) is a genetic neuromuscular disease characterized by progressive muscle weakness and wasting. Stimulation of AMP-activated protein kinase (AMPK) has been demonstrated to increase muscle function and protect muscle against damage in dystrophic mice. Metformin is a widely used anti-hyperglycemic drug and has been shown to be an indirect activator of AMPK. Based on these findings, we sought to determine the effects of metformin on neuromuscular deficits in mdx murine model of DMD. In this study, we found metformin treatment increased muscle strength accompanied by elevated twitch and tetanic force of tibialis anterior (TA) muscle in mdx mice. Immunofluorescence and electron microscopy analysis of metformin-treated mdx muscles revealed an improvement in muscle fiber membrane integrity. Electrophysiological studies showed the amplitude of miniature endplate potentials (mEPP) was increased in treated mice, indicating metformin also improved neuromuscular transmission of the mdx mice. Analysis of mRNA and protein levels from muscles of treated mice showed an upregulation of AMPK phosphorylation and dystrophin-glycoprotein complex protein expression. In conclusion, metformin can indeed improve muscle function and diminish neuromuscular deficits in mdx mice, suggesting its potential use as a therapeutic drug in DMD patients.

摘要

杜兴氏肌肉营养不良症(DMD)是一种遗传性神经肌肉疾病,其特征为进行性肌肉无力和萎缩。已证实,刺激AMP活化蛋白激酶(AMPK)可增强营养不良小鼠的肌肉功能并保护肌肉免受损伤。二甲双胍是一种广泛使用的抗高血糖药物,已被证明是AMPK的间接激活剂。基于这些发现,我们试图确定二甲双胍对DMD的mdx小鼠模型神经肌肉缺陷的影响。在本研究中,我们发现二甲双胍治疗可增加mdx小鼠的肌肉力量,同时提高胫前肌(TA)的单收缩和强直收缩力。对二甲双胍治疗的mdx肌肉进行免疫荧光和电子显微镜分析显示,肌纤维膜完整性有所改善。电生理研究表明,治疗小鼠的微小终板电位(mEPP)幅度增加,表明二甲双胍也改善了mdx小鼠的神经肌肉传递。对治疗小鼠肌肉的mRNA和蛋白质水平分析显示,AMPK磷酸化和抗肌萎缩蛋白-糖蛋白复合物蛋白表达上调。总之,二甲双胍确实可以改善mdx小鼠的肌肉功能并减少神经肌肉缺陷,表明其在DMD患者中作为治疗药物的潜在用途。

https://cdn.ncbi.nlm.nih.gov/pmc/blobs/3615/8126699/544eb147ca3c/fphys-12-642908-g001.jpg

文献AI研究员

20分钟写一篇综述,助力文献阅读效率提升50倍。

立即体验

用中文搜PubMed

大模型驱动的PubMed中文搜索引擎

马上搜索

文档翻译

学术文献翻译模型,支持多种主流文档格式。

立即体验