Suppr超能文献

腺嘌呤甲基化(mA)对癌症中端粒稳态和基因组稳定性的调控

Regulation of telomere homeostasis and genomic stability in cancer by -adenosine methylation (mA).

作者信息

Lee Ji Hoon, Hong Juyeong, Zhang Zhao, de la Peña Avalos Bárbara, Proietti Cecilia J, Deamicis Agustina Roldán, Guzmán G Pablo, Lam Hung-Ming, Garcia Jose, Roudier Martine P, Sisk Anthony E, De La Rosa Richard, Vu Kevin, Yang Mei, Liao Yiji, Scheirer Jessica, Pechacek Douglas, Yadav Pooja, Rao Manjeet K, Zheng Siyuan, Johnson-Pais Teresa L, Leach Robin J, Elizalde Patricia V, Dray Eloïse, Xu Kexin

机构信息

Department of Molecular Medicine, University of Texas Health Science Center at San Antonio, San Antonio, TX 78229, USA.

Department of Biochemistry and Structural Biology, University of Texas Health San Antonio, San Antonio, TX 78229, USA.

出版信息

Sci Adv. 2021 Jul 28;7(31). doi: 10.1126/sciadv.abg7073. Print 2021 Jul.

Abstract

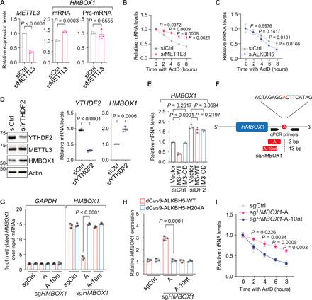
The role of RNA methylation on -adenosine (mA) in cancer has been acknowledged, but the underlying mechanisms remain obscure. Here, we identified homeobox containing 1 () as an authentic target mRNA of mA machinery, which is highly methylated in malignant cells compared to the normal counterparts and subject to expedited degradation upon the modification. mA-mediated down-regulation of causes telomere dysfunction and inactivation of p53 signaling, which leads to chromosome abnormalities and aggressive phenotypes. CRISPR-based, mA-editing tools further prove that the methyl groups on per se contribute to the generation of altered cancer genome. In multiple types of human cancers, expression of the RNA methyltransferase is negatively correlated with the telomere length but favorably with fractions of altered cancer genome, whereas mRNA levels show the opposite patterns. Our work suggests that the cancer-driving genomic alterations may potentially be fixed by rectifying particular epitranscriptomic program.

摘要

RNA甲基化修饰在癌症中的作用已得到公认,但其潜在机制仍不清楚。在这里,我们确定含同源盒1(HOXA1)是m6A机制的一个真实靶标mRNA,与正常细胞相比,它在恶性细胞中高度甲基化,并在修饰后加速降解。m6A介导的HOXA1下调导致端粒功能障碍和p53信号失活,从而导致染色体异常和侵袭性表型。基于CRISPR的m6A编辑工具进一步证明,HOXA1上的甲基本身有助于改变癌症基因组的产生。在多种人类癌症中,RNA甲基转移酶METTL3的表达与端粒长度呈负相关,但与改变的癌症基因组比例呈正相关,而HOXA1 mRNA水平则呈现相反的模式。我们的工作表明,驱动癌症的基因组改变可能通过纠正特定的表观转录组程序来潜在地修复。

https://cdn.ncbi.nlm.nih.gov/pmc/blobs/23f0/8318370/c937089f2f08/abg7073-F1.jpg

文献AI研究员

20分钟写一篇综述,助力文献阅读效率提升50倍。

立即体验

用中文搜PubMed

大模型驱动的PubMed中文搜索引擎

马上搜索

文档翻译

学术文献翻译模型,支持多种主流文档格式。

立即体验