Suppr超能文献

一个具有多代脑膜瘤且伴有横纹肌样特征的家族中的种系BAP1突变:病例系列及文献综述

Germline BAP1 Mutation in a Family With Multi-Generational Meningioma With Rhabdoid Features: A Case Series and Literature Review.

作者信息

Prasad Rahul N, Gardner Ulysses G, Yaney Alexander, Prevedello Daniel M, Koboldt Daniel C, Thomas Diana L, Mardis Elaine R, Palmer Joshua D

机构信息

Department of Radiation Oncology, The Ohio State University Comprehensive Cancer Center-Arthur G. James Cancer Hospital and Richard J. Solove Research Institute, Columbus, OH, United States.

Boonshoft School of Medicine, Wright State University, Dayton, OH, United States.

出版信息

Front Oncol. 2021 Aug 24;11:721712. doi: 10.3389/fonc.2021.721712. eCollection 2021.

Abstract

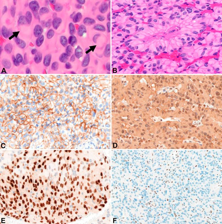
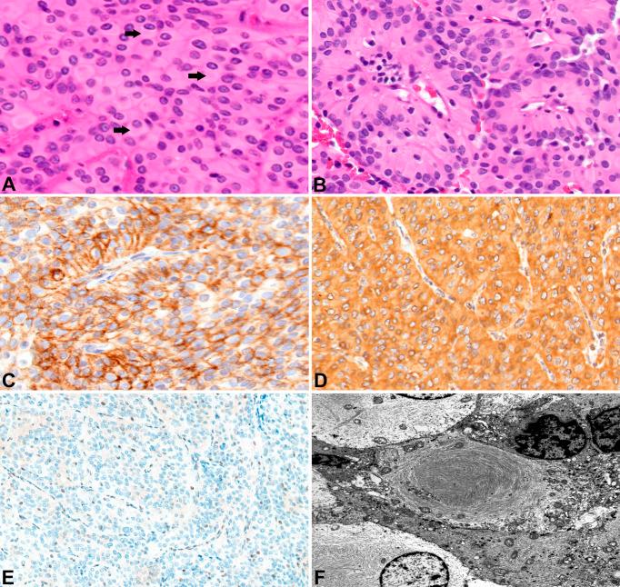
Meningioma is the most common primary brain tumor, and recurrence risk increases with increasing WHO Grade from I to III. Rhabdoid meningiomas are a subset of WHO Grade III tumors with rhabdoid cells, a high proliferation index, and other malignant features that follow an aggressive clinical course. Some meningiomas with rhabdoid features either only focally or without other malignant features are classified as lower grade yet still recur early. Recently, inactivating mutations in the tumor suppressor gene have been associated with poorer prognosis in rhabdoid meningioma and meningioma with rhabdoid features, and germline mutations have been linked to a hereditary tumor predisposition syndrome (TPDS) predisposing patients primarily to melanoma and mesothelioma. We present the first report of a familial inactivating mutation identified after multiple generations of a family presented with meningiomas with rhabdoid features instead of with previously described loss-associated malignancies. A 24-year-old female presented with a Grade II meningioma with rhabdoid and papillary features treated with subtotal resection, adjuvant external beam radiation therapy, and salvage gamma knife radiosurgery six years later. Around that time, her mother presented with a meningioma with rhabdoid and papillary features managed with resection and adjuvant radiation therapy. Germline testing was positive for a pathogenic mutation in both patients. Sequencing of both tumors demonstrated biallelic inactivation the combination of germline mutation and either loss of heterozygosity or somatic mutation. No additional mutations implicated in oncogenesis were noted from either patient's germline or tumor sequencing, suggesting that the inactivation of was responsible for pathogenesis. These cases demonstrate the importance of routine tumor testing in meningioma with rhabdoid features regardless of grade, germline testing for patients with inactivated tumors, and tailored cancer screening in this population.

摘要

脑膜瘤是最常见的原发性脑肿瘤,随着世界卫生组织(WHO)分级从I级到III级的增加,复发风险也会升高。横纹肌样脑膜瘤是WHO III级肿瘤的一个亚型,具有横纹肌样细胞、高增殖指数和其他恶性特征,临床病程进展迅速。一些具有横纹肌样特征的脑膜瘤,无论是仅局灶性存在还是没有其他恶性特征,都被归类为较低级别,但仍会早期复发。最近,肿瘤抑制基因的失活突变与横纹肌样脑膜瘤和具有横纹肌样特征的脑膜瘤预后较差有关,而种系突变与一种遗传性肿瘤易感性综合征(TPDS)相关,该综合征主要使患者易患黑色素瘤和间皮瘤。我们报告了首例家族性失活突变,该家族多代人出现具有横纹肌样特征的脑膜瘤,而非先前描述的与基因缺失相关的恶性肿瘤。一名24岁女性患有II级脑膜瘤,具有横纹肌样和乳头状特征,接受了次全切除,辅助外照射放疗,六年后进行了挽救性伽玛刀放射外科治疗。大约在那个时候,她的母亲也出现了具有横纹肌样和乳头状特征的脑膜瘤,接受了手术切除和辅助放疗。两名患者的种系检测均显示致病性基因突变呈阳性。对两个肿瘤进行测序显示双等位基因失活,即种系突变与杂合性缺失或体细胞突变相结合。在两名患者的种系或肿瘤测序中均未发现其他与肿瘤发生相关的突变,这表明基因失活是发病机制的原因。这些病例表明,对于具有横纹肌样特征的脑膜瘤,无论分级如何,进行常规肿瘤检测、对肿瘤基因失活的患者进行种系检测以及对该人群进行针对性的癌症筛查都非常重要。

https://cdn.ncbi.nlm.nih.gov/pmc/blobs/8381/8421801/b2c53b5d26f5/fonc-11-721712-g001.jpg

文献AI研究员

20分钟写一篇综述,助力文献阅读效率提升50倍。

立即体验

用中文搜PubMed

大模型驱动的PubMed中文搜索引擎

马上搜索

文档翻译

学术文献翻译模型,支持多种主流文档格式。

立即体验