Suppr超能文献

糖蛋白靶向 CAR-NK 细胞治疗 SARS-CoV-2 感染。

Glycoprotein Targeted CAR-NK Cells for the Treatment of SARS-CoV-2 Infection.

机构信息

The Sidney Kimmel Comprehensive Cancer Center, Johns Hopkins University School of Medicine, Baltimore, MD, United States.

Department of Pediatrics, Johns Hopkins University School of Medicine, Baltimore, MD, United States.

出版信息

Front Immunol. 2021 Dec 23;12:763460. doi: 10.3389/fimmu.2021.763460. eCollection 2021.

Abstract

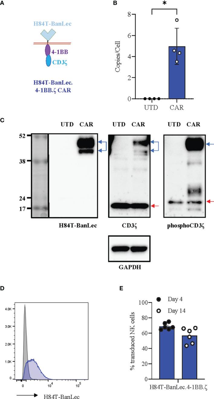
H84T-Banana Lectin (BanLec) CAR-NK cells bind high mannose glycosites that decorate the SARS-CoV-2 envelope, thereby decreasing cellular infection in a model of SARS-CoV-2. H84T-BanLec CAR-NK cells are innate effector cells, activated by virus. This novel cellular agent is a promising therapeutic, capable of clearing circulating SARS-CoV-2 virus and infected cells. Banana Lectin (BanLec) binds high mannose glycans on viral envelopes, exerting an anti-viral effect. A point mutation (H84T) divorces BanLec mitogenicity from antiviral activity. SARS-CoV-2 contains high mannose glycosites in proximity to the receptor binding domain of the envelope Spike (S) protein. We designed a chimeric antigen receptor (CAR) that incorporates H84T-BanLec as the extracellular moiety. Our H84T-BanLec CAR was devised to specifically direct NK cell binding of SARS-CoV-2 envelope glycosites to promote viral clearance. The H84T-BanLec CAR was stably expressed at high density on primary human NK cells during two weeks of ex vivo expansion. H84T-BanLec CAR-NK cells reduced S-protein pseudotyped lentiviral infection of 293T cells expressing ACE2, the receptor for SARS-CoV-2. NK cells were activated to secrete inflammatory cytokines when in culture with virally infected cells. H84T-BanLec CAR-NK cells are a promising cell therapy for further testing against wild-type SARS-CoV-2 virus in models of SARS-CoV-2 infection. They may represent a viable off-the-shelf immunotherapy for patients suffering from COVID-19.

摘要

H84T-香蕉凝集素(BanLec)CAR-NK 细胞结合高甘露糖糖基化位点,这些位点修饰着 SARS-CoV-2 的包膜,从而减少了 SARS-CoV-2 模型中的细胞感染。H84T- BanLec CAR-NK 细胞是先天效应细胞,被病毒激活。这种新型细胞因子是一种很有前途的治疗方法,能够清除循环中的 SARS-CoV-2 病毒和受感染的细胞。BanLec 结合病毒包膜上的高甘露糖糖基,发挥抗病毒作用。点突变(H84T)使 BanLec 的有丝分裂原活性与抗病毒活性分离。SARS-CoV-2 的包膜 Spike(S)蛋白的受体结合域附近含有高甘露糖糖基化位点。我们设计了一种嵌合抗原受体(CAR),其中包含 H84T-BanLec 作为细胞外部分。我们设计的 H84T-BanLec CAR 旨在特异性地指导 NK 细胞结合 SARS-CoV-2 包膜糖基化位点,以促进病毒清除。在两周的体外扩增过程中,H84T-BanLec CAR 以高密度稳定表达于原代人 NK 细胞上。H84T-BanLec CAR-NK 细胞减少了表达 SARS-CoV-2 受体 ACE2 的 293T 细胞中 S 蛋白假型慢病毒感染。当与受病毒感染的细胞共培养时,NK 细胞被激活以分泌炎症细胞因子。H84T-BanLec CAR-NK 细胞是一种很有前途的细胞疗法,可在 SARS-CoV-2 感染模型中进一步测试对野生型 SARS-CoV-2 病毒的疗效。对于患有 COVID-19 的患者,它们可能代表一种可行的现成免疫疗法。

https://cdn.ncbi.nlm.nih.gov/pmc/blobs/af7a/8732772/74f2bd1a2f26/fimmu-12-763460-g001.jpg

文献AI研究员

20分钟写一篇综述,助力文献阅读效率提升50倍。

立即体验

用中文搜PubMed

大模型驱动的PubMed中文搜索引擎

马上搜索

文档翻译

学术文献翻译模型,支持多种主流文档格式。

立即体验