Suppr超能文献

靶向肽基脯氨酰顺反异构酶 1 治疗实验性肺动脉高压。

Targeting peptidyl-prolyl isomerase 1 in experimental pulmonary arterial hypertension.

机构信息

Universities of Giessen and Marburg Lung Center (UGMLC), Excellence Cluster Cardio Pulmonary Institute (CPI), Member of the German Center for Lung Research (DZL), Justus-Liebig-University Giessen, Giessen, Germany.

Institute for Lung Health, Giessen, Germany.

出版信息

Eur Respir J. 2022 Aug 25;60(2). doi: 10.1183/13993003.01698-2021. Print 2022 Aug.

Abstract

BACKGROUND

Pulmonary arterial hypertension (PAH) is a progressive disease characterised by pro-proliferative and anti-apoptotic phenotype in vascular cells, leading to pulmonary vascular remodelling and right heart failure. Peptidyl-prolyl / isomerase, NIMA interacting 1 (Pin1), a highly conserved enzyme, which binds to and catalyses the isomerisation of specific phosphorylated Ser/Thr-Pro motifs, acts as a molecular switch in multiple coordinated cellular processes. We hypothesised that Pin1 plays a substantial role in PAH, and its inhibition with a natural organic compound, Juglone, would reverse experimental pulmonary hypertension.

RESULTS

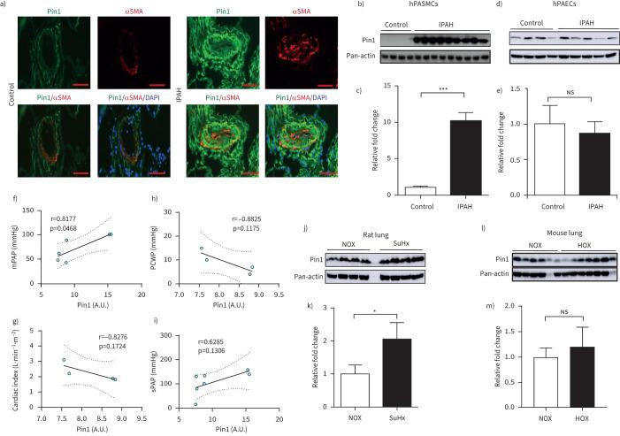
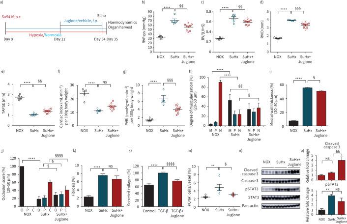
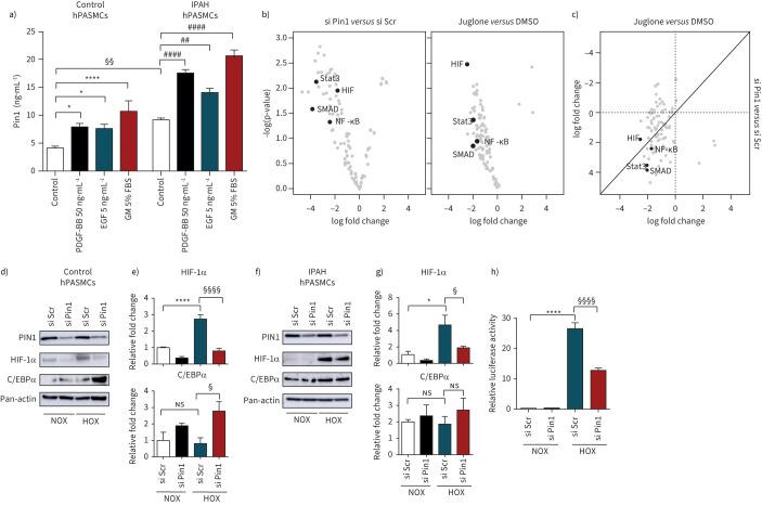
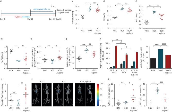
We demonstrated that the expression of Pin1 was markedly elevated in experimental pulmonary hypertension ( hypoxia-induced mouse and Sugen/hypoxia-induced rat models) and pulmonary arterial smooth muscle cells of patients with clinical PAH. Pin1 inhibition by either Juglone treatment or short interfering RNA knockdown resulted in an induction of apoptosis and decrease in proliferation of human pulmonary vascular cells. Stimulation with growth factors induced Pin1 expression, while its inhibition reduced the activity of numerous PAH-related transcription factors, such as hypoxia-inducible factor (HIF)-α and signal transducer and activator of transcription (STAT). Juglone administration lowered pulmonary vascular resistance, enhanced right ventribular function, improved pulmonary vascular and cardiac remodelling in the Sugen/hypoxia rat model of PAH and the chronic hypoxia-induced pulmonary hypertension model in mice.

CONCLUSION

Our study demonstrates that targeting of Pin1 with small molecule inhibitor, Juglone, might be an attractive future therapeutic strategy for PAH and right heart disease secondary to PAH.

摘要

背景

肺动脉高压(PAH)是一种进行性疾病,其特征在于血管细胞中的促增殖和抗细胞凋亡表型,导致肺血管重塑和右心衰竭。肽基脯氨酰/异构酶,NIMA 相互作用 1(Pin1),一种高度保守的酶,可结合并催化特定磷酸化 Ser/Thr-Pro 基序的异构化,在多个协调的细胞过程中充当分子开关。我们假设 Pin1 在 PAH 中起重要作用,并用天然有机化合物 Juglone 抑制其活性可以逆转实验性肺动脉高压。

结果

我们证明了 Pin1 的表达在实验性肺动脉高压(缺氧诱导的小鼠和 Sugen/缺氧诱导的大鼠模型)和临床 PAH 患者的肺动脉平滑肌细胞中明显升高。Juglone 处理或短发夹 RNA 敲低抑制 Pin1 表达可诱导人肺血管细胞凋亡和增殖减少。生长因子刺激诱导 Pin1 表达,而其抑制降低了许多与 PAH 相关的转录因子的活性,如缺氧诱导因子(HIF)-α和信号转导和转录激活因子(STAT)。Juglone 给药可降低肺动脉阻力,增强右心室功能,改善 Sugen/缺氧诱导的 PAH 大鼠模型和慢性缺氧诱导的肺动脉高压小鼠模型中的肺血管和心脏重塑。

结论

我们的研究表明,用小分子抑制剂 Juglone 靶向 Pin1 可能是治疗 PAH 和继发于 PAH 的右心疾病的一种有吸引力的未来治疗策略。

https://cdn.ncbi.nlm.nih.gov/pmc/blobs/a778/9403440/02954bc7aebe/ERJ-01698-2021.01.jpg

文献AI研究员

20分钟写一篇综述,助力文献阅读效率提升50倍。

立即体验

用中文搜PubMed

大模型驱动的PubMed中文搜索引擎

马上搜索

文档翻译

学术文献翻译模型,支持多种主流文档格式。

立即体验