Suppr超能文献

索拉玛嗪通过抑制 LIF/miR-192-5p/CYR61/Akt 信号通路和引发免疫刺激性肿瘤微环境诱导肝癌细胞凋亡和自噬。

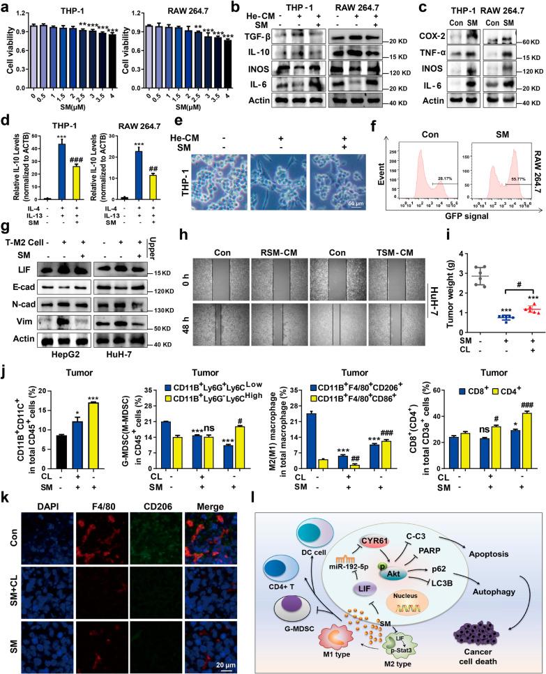
Solamargine induces hepatocellular carcinoma cell apoptosis and autophagy via inhibiting LIF/miR-192-5p/CYR61/Akt signaling pathways and eliciting immunostimulatory tumor microenvironment.

机构信息

Key Laboratory of Pharmacology of Traditional Chinese Medical Formulae, Ministry of Education, and State Key Laboratory of Component-Based Chinese Medicine, Tianjin University of Traditional Chinese Medicine, Tianjin, 301617, China.

Sichuan Engineering Research Center for Biomimetic Synthesis of Natural Drugs, School of Life Science and Engineering, Southwest Jiaotong University, Chengdu, 610031, China.

出版信息

J Hematol Oncol. 2022 Mar 21;15(1):32. doi: 10.1186/s13045-022-01248-w.

Abstract

Hepatocellular carcinoma (HCC) is well-known to be a highly prevalent malignant tumor, but the treatment of this pathological state has been still challenging. Solamargine (SM), a traditional Chinese herb-derived compound, has been widely reported to possess multiple antitumor properties. However, whether SM plays a vital role in HCC therapy and how it exerts an antitumor effect remains unclear. Thus, in this study, we demonstrated that SM inhibited the proliferation of HCC and effectively induced HCC cell apoptosis and autophagy in vitro and in vivo. Mechanistically, the oncogenic factor LIF was aberrantly elevated in HCC tissues and down-regulated by SM in HCC cells, as well as subsequently the overexpression of LIF could restore the anti-HCC effects of SM via miR-192-5p/CYR61/Akt signaling pathways. Additionally, SM could repolarize tumor associated macrophages by LIF/p-Stat3 to inhibit the growth and epithelial-mesenchymal transition of HCC, and simultaneously affected other immune cell populations in the immune (tumor) microenvironment by regulating macrophages, such as MDSCs, DCs and T cell populations. Together, these findings exploit the potential use of SM against HCC and shed light on exploring SM as a potent candidate drug for the future HCC therapeutics.

摘要

肝细胞癌(HCC)是一种众所周知的高发恶性肿瘤,但这种病理状态的治疗仍然具有挑战性。水苏碱(SM)是一种源自传统中药的化合物,已被广泛报道具有多种抗肿瘤特性。然而,SM 是否在 HCC 治疗中发挥重要作用以及它如何发挥抗肿瘤作用尚不清楚。因此,在这项研究中,我们证明了 SM 抑制 HCC 的增殖,并在体外和体内有效诱导 HCC 细胞凋亡和自噬。在机制上,致癌因子 LIF 在 HCC 组织中异常升高,并在 HCC 细胞中被 SM 下调,并且随后 LIF 的过表达可以通过 miR-192-5p/CYR61/Akt 信号通路恢复 SM 对 HCC 的抑制作用。此外,SM 可以通过 LIF/p-Stat3 使肿瘤相关巨噬细胞重新极化,抑制 HCC 的生长和上皮间质转化,同时通过调节巨噬细胞(如 MDSC、DC 和 T 细胞群体)来影响免疫(肿瘤)微环境中的其他免疫细胞群体。总之,这些发现利用了 SM 对抗 HCC 的潜力,并为探索 SM 作为未来 HCC 治疗的候选药物提供了思路。

https://cdn.ncbi.nlm.nih.gov/pmc/blobs/ad94/8935708/ae2219159f8e/13045_2022_1248_Fig1_HTML.jpg

文献AI研究员

20分钟写一篇综述,助力文献阅读效率提升50倍。

立即体验

用中文搜PubMed

大模型驱动的PubMed中文搜索引擎

马上搜索

文档翻译

学术文献翻译模型,支持多种主流文档格式。

立即体验