Suppr超能文献

TFRC 上调通过 Sp1 的核易位促进 CVB3 感染中的铁死亡。

TFRC upregulation promotes ferroptosis in CVB3 infection via nucleus recruitment of Sp1.

机构信息

Department of Pediatrics, Third Xiangya Hospital of Central South University, 410013, Changsha, Hunan, People's Republic of China.

出版信息

Cell Death Dis. 2022 Jul 11;13(7):592. doi: 10.1038/s41419-022-05027-w.

Abstract

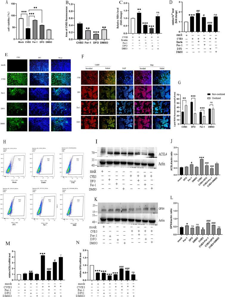
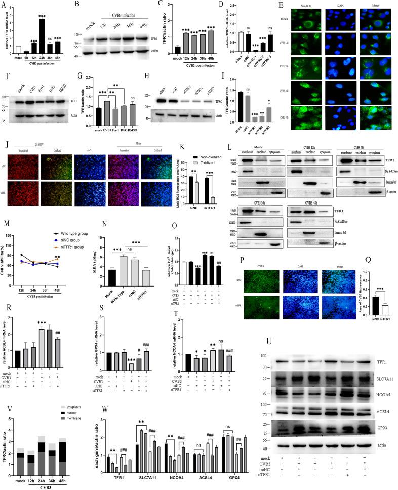
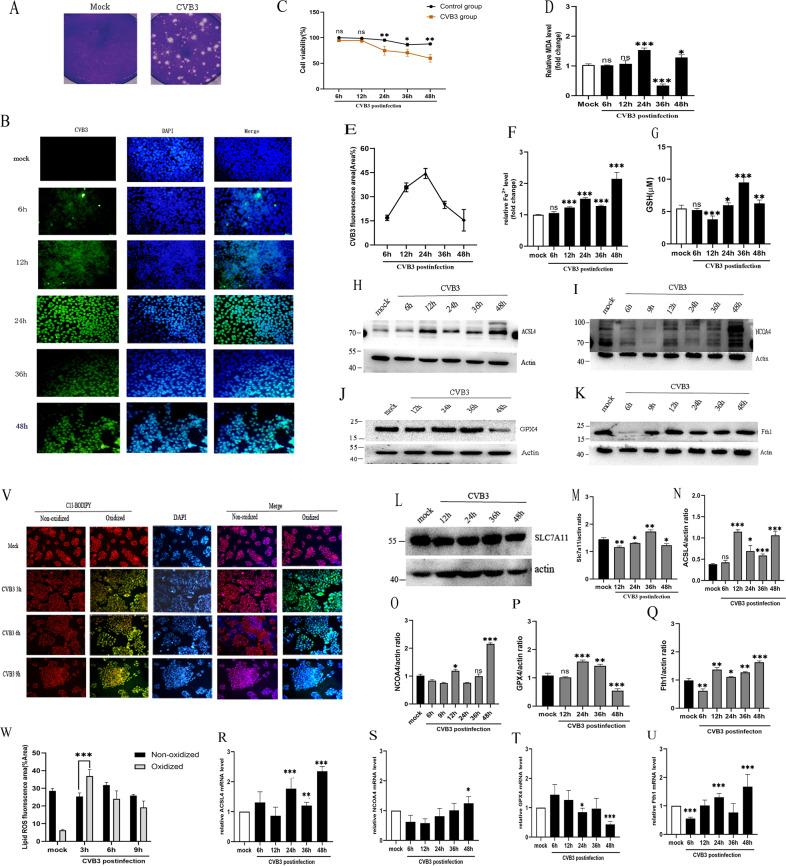
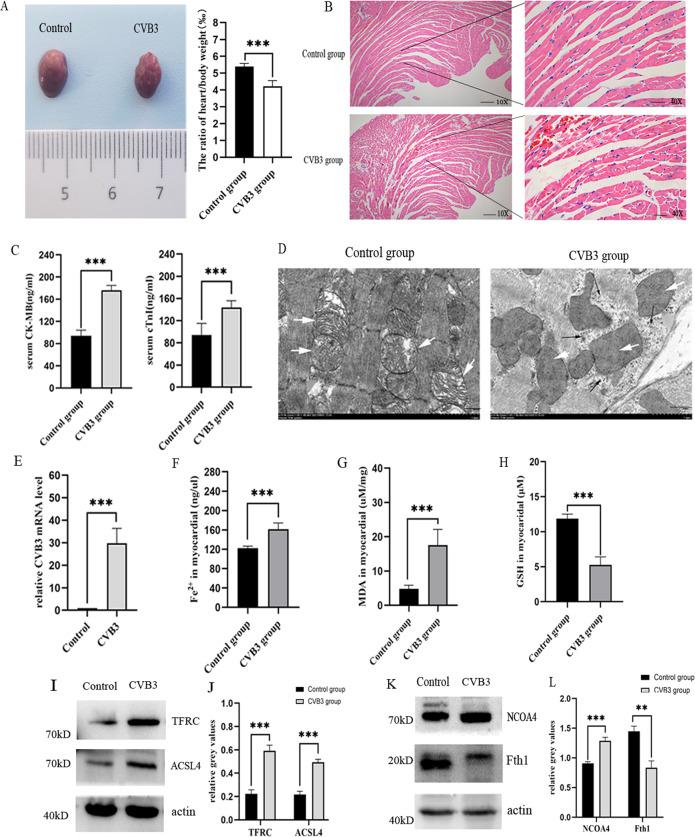
CVB3 is a single positive-strand enterovirus, and a common pathogen in myocarditis etiology. Although a number of antiviral candidates are under development, specific targeted therapy is not available for CVB3. Ferroptosis is a new type of regulatory cell death discovered in recent years. In this study, our team provided the first evidence that ferroptosis existed in CVB3 infection in vivo and in vitro by iron overload, and massive accumulation of lipid peroxides. Mechanistically, we construct a classical model of HeLa cells following a time-course infection (6, 12, 24, 36, 48 h) with CVB3 (MOI = 10). We demonstrated that the TFRC gene plays an important role in promoting ferroptosis in CVB3 infection and downregulation of TFRC attenuated the ferroptosis. Interestingly, we observed that TFRC was nuclear translocation induced by the CVB3, which was predominantly localized in the cell membrane, but redistributed to the nucleus during CVB3 infection. Moreover, we found that the transcription factor Sp1 was an essential factor that could bind to the TFRC promoter and upregulate the TFRC transcription. Collectively, these results suggest that the Sp1/TFRC/Fe axis may provide a new target for the development of therapies against CVB3 infection.

摘要

柯萨奇病毒 B3(CVB3)是一种单股正链肠道病毒,也是心肌炎病因中的常见病原体。尽管有许多抗病毒候选药物正在开发中,但针对 CVB3 尚无特定的靶向治疗方法。铁死亡是近年来发现的一种新型调节性细胞死亡方式。在这项研究中,我们的团队通过铁过载和大量脂质过氧化物的积累,首次提供了铁死亡存在于 CVB3 感染体内和体外的证据。在机制上,我们构建了一个经典的 HeLa 细胞模型,该模型在 CVB3(MOI=10)时间进程感染(6、12、24、36、48 h)后进行实验。结果表明,TFRC 基因在促进 CVB3 感染中的铁死亡中发挥重要作用,下调 TFRC 可减弱铁死亡。有趣的是,我们观察到 CVB3 诱导 TFRC 发生核转位,其主要定位于细胞膜,但在 CVB3 感染期间重新分布到细胞核。此外,我们发现转录因子 Sp1 是一种必需的因子,它可以结合 TFRC 启动子并上调 TFRC 转录。综上所述,这些结果表明,Sp1/TFRC/Fe 轴可能为开发针对 CVB3 感染的治疗方法提供新的靶点。

https://cdn.ncbi.nlm.nih.gov/pmc/blobs/8e16/9276735/04c898eeefdb/41419_2022_5027_Fig1_HTML.jpg

文献AI研究员

20分钟写一篇综述,助力文献阅读效率提升50倍。

立即体验

用中文搜PubMed

大模型驱动的PubMed中文搜索引擎

马上搜索

文档翻译

学术文献翻译模型,支持多种主流文档格式。

立即体验