Suppr超能文献

NADPH 选择性耗竭纳米医学介导的放射免疫代谢调节增强抗 PD-L1 疗法治疗三阴性乳腺癌。

NADPH Selective Depletion Nanomedicine-Mediated Radio-Immunometabolism Regulation for Strengthening Anti-PDL1 Therapy against TNBC.

机构信息

The Key Laboratory of Biomedical Information Engineering of Ministry of Education, School of Life Science and Technology, Xi'an Jiaotong University, Xi'an, 710049, China.

International Joint Research Laboratory for Biomedical Nanomaterials of Henan, Zhoukou Normal University, Zhoukou, 466001, P. R. China.

出版信息

Adv Sci (Weinh). 2023 Jan;10(3):e2203788. doi: 10.1002/advs.202203788. Epub 2022 Nov 20.

Abstract

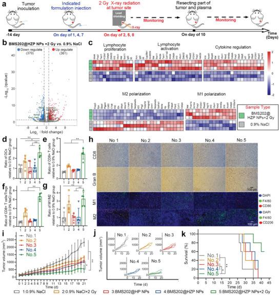
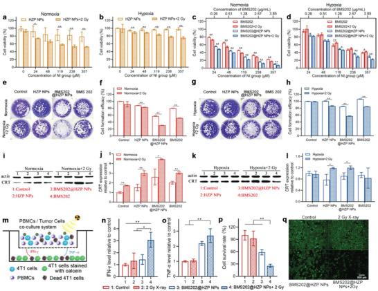
Anti-PD(L)1 immunotherapy recently arises as an effective treatment against triple-negative breast cancer (TNBC) but is only applicable to a small portion of TNBC patients due to the low PD-L1 expression and the immunosuppressive tumor microenvironment (TME). To address these challenges, a multifunctional "drug-like" copolymer that possesses the auto-changeable upper critical solution temperature and the capacity of scavenging reduced nicotinamide adenine dinucleotide phosphate (NADPH) inside tumor cells is synthesized and employed to develop a hypoxia-targeted and BMS202 (small molecule antagonist of PD-1/PD-L1 interactions)-loaded nanomedicine (BMS202@HZP NPs), combining the anti-PD-L1 therapy and the low-dose radiotherapy (LDRT) against TNBC. In addition to the controlled release of BMS202 in the hypoxic TNBC, BMS202@HZP NPs benefit the LDRT by upregulating the pentose phosphate pathway (PPP, the primary cellular source for NADPH) of TME whereas scavenging the NADPH inside tumor cells. As a result, the BMS202@HZP NPs-mediated LDRT upregulate the PD-L1 expression of tumor to promote anti-PD-L1 therapy response while reprogramming the immunometabolism of TME to alleviate its immunosuppression. This innovative nanomedicine-mediated radio-immunometabolism regulation provides a promising strategy to reinforce the anti-PD-L1 therapy against TNBC.

摘要

抗 PD-(L)1 免疫疗法最近被认为是治疗三阴性乳腺癌 (TNBC) 的有效方法,但由于 PD-L1 表达低和免疫抑制性肿瘤微环境 (TME),仅适用于一小部分 TNBC 患者。为了解决这些挑战,合成了一种多功能“类药”共聚物,该共聚物具有自动改变的上临界溶液温度和在肿瘤细胞内清除还原型烟酰胺腺嘌呤二核苷酸磷酸 (NADPH) 的能力,并将其用于开发一种缺氧靶向和负载 BMS202(PD-1/PD-L1 相互作用小分子拮抗剂)的纳米药物(BMS202@HZP NPs),结合抗 PD-L1 治疗和低剂量放疗(LDRT)治疗 TNBC。除了在缺氧 TNBC 中控制 BMS202 的释放外,BMS202@HZP NPs 通过上调 TME 中的戊糖磷酸途径(PPP,NADPH 的主要细胞来源)和清除肿瘤细胞内的 NADPH 来受益于 LDRT。结果,BMS202@HZP NPs 介导的 LDRT 上调肿瘤的 PD-L1 表达,以促进抗 PD-L1 治疗反应,同时重塑 TME 的免疫代谢以减轻其免疫抑制作用。这种创新的纳米医学介导的放射免疫代谢调节为加强抗 PD-L1 治疗 TNBC 提供了一种有前途的策略。

https://cdn.ncbi.nlm.nih.gov/pmc/blobs/95cf/9875612/f13a4e2e842e/ADVS-10-2203788-g001.jpg

文献AI研究员

20分钟写一篇综述,助力文献阅读效率提升50倍。

立即体验

用中文搜PubMed

大模型驱动的PubMed中文搜索引擎

马上搜索

文档翻译

学术文献翻译模型,支持多种主流文档格式。

立即体验