Suppr超能文献

维生素D对严重急性呼吸综合征冠状病毒2(SARS-CoV-2)及其变体的体外和体内抗病毒活性评估

Evaluation of In Vitro and In Vivo Antiviral Activities of Vitamin D for SARS-CoV-2 and Variants.

作者信息

Mok Chee-Keng, Ng Yan Ling, Ahidjo Bintou Ahmadou, Aw Zhen Qin, Chen Huixin, Wong Yi Hao, Lee Regina Ching Hua, Loe Marcus Wing Choy, Liu Jing, Tan Kai Sen, Kaur Parveen, Wang De Yun, Hao Erwei, Hou Xiaotao, Tan Yong Wah, Deng Jiagang, Chu Justin Jang Hann

机构信息

Biosafety Level 3 Core Facility, Yong Loo Lin School of Medicine, National University of Singapore, Singapore 117599, Singapore.

Laboratory of Molecular RNA Virology and Antiviral Strategies, Department of Microbiology and Immunology, Yong Loo Lin School of Medicine, National University of Singapore, Singapore 117545, Singapore.

出版信息

Pharmaceutics. 2023 Mar 12;15(3):925. doi: 10.3390/pharmaceutics15030925.

Abstract

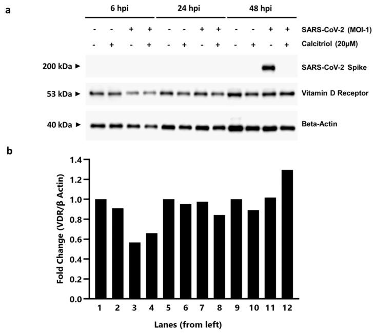
The COVID-19 pandemic has brought about unprecedented medical and healthcare challenges worldwide. With the continual emergence and spread of new COVID-19 variants, four drug compound libraries were interrogated for their antiviral activities against SARS-CoV-2. Here, we show that the drug screen has resulted in 121 promising anti-SARS-CoV-2 compounds, of which seven were further shortlisted for hit validation: citicoline, pravastatin sodium, tenofovir alafenamide, imatinib mesylate, calcitriol, dexlansoprazole, and prochlorperazine dimaleate. In particular, the active form of vitamin D, calcitriol, exhibits strong potency against SARS-CoV-2 on cell-based assays and is shown to work by modulating the vitamin D receptor pathway to increase antimicrobial peptide cathelicidin expression. However, the weight, survival rate, physiological conditions, histological scoring, and virus titre between SARS-CoV-2 infected K18-hACE2 mice pre-treated or post-treated with calcitriol were negligible, indicating that the differential effects of calcitriol may be due to differences in vitamin D metabolism in mice and warrants future investigation using other animal models.

摘要

新冠疫情给全球带来了前所未有的医疗和卫生保健挑战。随着新冠病毒新变种的不断出现和传播,对四个药物化合物库进行了抗SARS-CoV-2病毒活性检测。在此,我们表明药物筛选已产生121种有前景的抗SARS-CoV-2化合物,其中七种被进一步入围进行活性验证:胞磷胆碱、普伐他汀钠、替诺福韦艾拉酚胺、甲磺酸伊马替尼、骨化三醇、右兰索拉唑和马来酸丙氯拉嗪。特别是维生素D的活性形式骨化三醇,在基于细胞的检测中对SARS-CoV-2表现出强大的效力,并显示通过调节维生素D受体途径来增加抗菌肽cathelicidin的表达发挥作用。然而,用骨化三醇预处理或后处理的感染SARS-CoV-2的K18-hACE2小鼠之间的体重、存活率、生理状况、组织学评分和病毒滴度差异可忽略不计,这表明骨化三醇的不同作用可能是由于小鼠体内维生素D代谢的差异,值得未来使用其他动物模型进行研究。

https://cdn.ncbi.nlm.nih.gov/pmc/blobs/6f14/10058714/0c529082f614/pharmaceutics-15-00925-g001.jpg

文献AI研究员

20分钟写一篇综述,助力文献阅读效率提升50倍。

立即体验

用中文搜PubMed

大模型驱动的PubMed中文搜索引擎

马上搜索

文档翻译

学术文献翻译模型,支持多种主流文档格式。

立即体验