Suppr超能文献

醛糖还原酶1B1驱动MASLD相关肝细胞癌中高血糖诱导的代谢重编程。

AKR1B1 drives hyperglycemia-induced metabolic reprogramming in MASLD-associated hepatocellular carcinoma.

作者信息

Syamprasad N P, Jain Siddhi, Rajdev Bishal, Panda Samir Ranjan, Kumar Gangasani Jagadeesh, Shaik Khaja Moinuddin, Shantanu P A, Challa Veerabhadra Swamy, Jorvekar Sachin B, Borkar Roshan M, Vaidya Jayathirtha Rao, Tripathi Dinesh Mani, Naidu V G M

机构信息

Department of Pharmacology & Toxicology, National Institute of Pharmaceutical Education and Research Guwahati, Sila village, Changsari, Assam, 781101, India.

Department of Pharmaceutical Analysis, National Institute of Pharmaceutical Education and Research Guwahati, Sila village, Changsari, Assam, 781101, India.

出版信息

JHEP Rep. 2023 Nov 28;6(2):100974. doi: 10.1016/j.jhepr.2023.100974. eCollection 2024 Feb.

Abstract

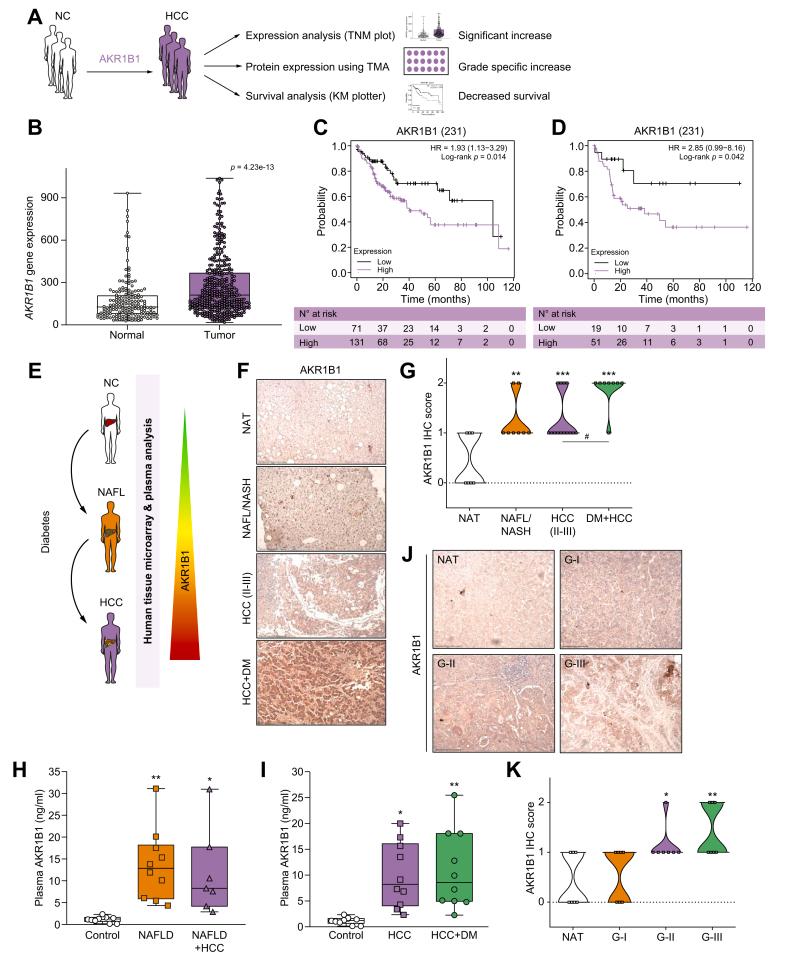
BACKGROUND & AIMS: The mechanism behind the progressive pathological alteration in metabolic dysfunction-associated steatotic liver disease/steatohepatitis (MASLD/MASH)-associated hepatocellular carcinoma (HCC) is poorly understood. In the present study, we investigated the role of the polyol pathway enzyme AKR1B1 in metabolic switching associated with MASLD/MASH and in the progression of HCC.

METHODS

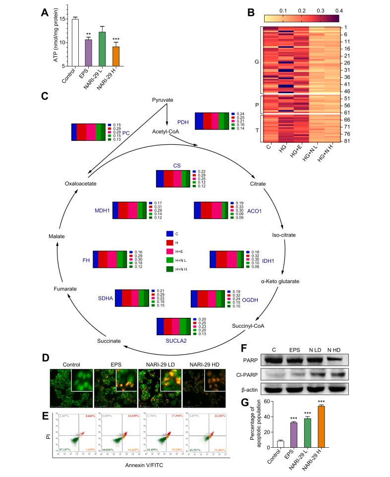
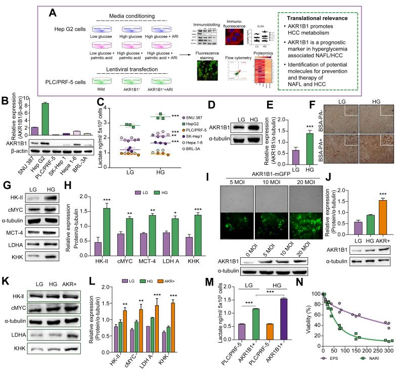
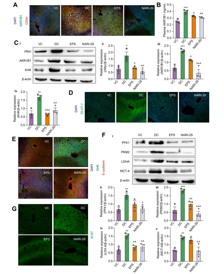
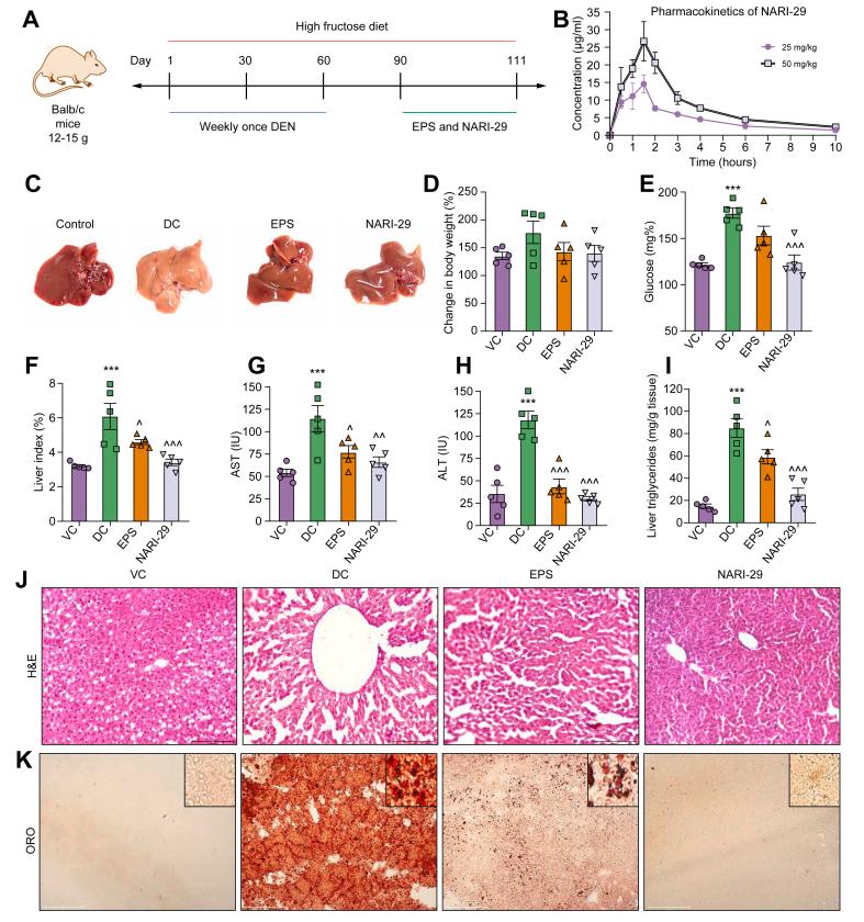
AKR1B1 expression was estimated in the tissue and plasma of patients with MASLD/MASH, HCC, and HCC with diabetes mellitus. The role of AKR1B1 in metabolic switching assessed through media conditioning, lentiviral transfection, and pharmacological probes. A proteomic and metabolomic approach was applied for the in-depth investigation of metabolic pathways. Preclinically, mice were subjected to a high-fructose diet and diethylnitrosamine to investigate the role of AKR1B1 in the hyperglycemia-mediated metabolic switching characteristic of MASLD-HCC.

RESULTS

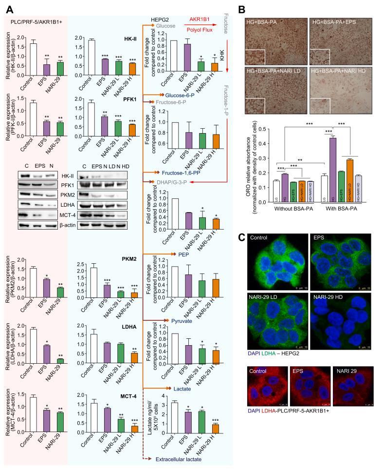
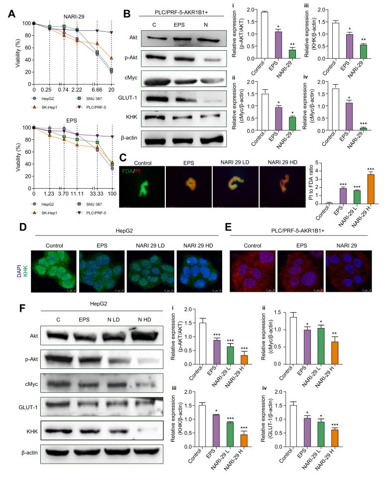
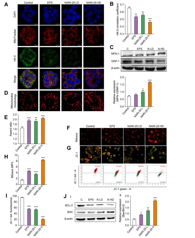
A significant increase in the expression of AKR1B1 was observed in tissue and plasma samples from patients with MASLD/MASH, HCC, and HCC with diabetes mellitus compared to normal samples. Mechanistically, assays revealed that AKR1B1 modulates the Warburg effect, mitochondrial dynamics, the tricarboxylic acid cycle, and lipogenesis to promote hyperglycemia-mediated MASLD and cancer progression. A pathological increase in the expression of AKR1B1 was observed in experimental MASLD-HCC, and expression was positively correlated with high blood glucose levels. High-fructose diet + diethylnitrosamine-treated animals also exhibited statistically significant elevation of metabolic markers and carcinogenesis markers. AKR1B1 inhibition with epalrestat or NARI-29 inhibited cellular metabolism in and models.

CONCLUSIONS

Pathological AKR1B1 modulates hepatic metabolism to promote MASLD-associated hepatocarcinogenesis. Aldose reductase inhibition modulates the glycolytic pathway to prevent precancerous hepatocyte formation.

IMPACT AND IMPLICATIONS

This research work highlights AKR1B1 as a druggable target in metabolic dysfunction-associated steatotic liver disease (MASLD) and hepatocellular carcinoma (HCC), which could provide the basis for the development of new chemotherapeutic agents. Moreover, our results indicate the potential of plasma AKR1B1 levels as a prognostic marker and diagnostic test for MASLD and associated HCC. Additionally, a major observation in this study was that AKR1B1 is associated with the promotion of the Warburg effect in HCC.

摘要

背景与目的

代谢功能障碍相关脂肪性肝病/脂肪性肝炎(MASLD/MASH)相关肝细胞癌(HCC)进展性病理改变背后的机制尚不清楚。在本研究中,我们研究了多元醇途径酶醛糖还原酶1B1(AKR1B1)在与MASLD/MASH相关的代谢转换及HCC进展中的作用。

方法

评估了MASLD/MASH患者、HCC患者以及合并糖尿病的HCC患者组织和血浆中AKR1B1的表达。通过培养基条件培养、慢病毒转染和药理学探针评估AKR1B1在代谢转换中的作用。采用蛋白质组学和代谢组学方法深入研究代谢途径。临床前,对小鼠进行高果糖饮食和二乙基亚硝胺处理,以研究AKR1B1在MASLD-HCC高血糖介导的代谢转换中的作用。

结果

与正常样本相比,在MASLD/MASH患者、HCC患者以及合并糖尿病的HCC患者的组织和血浆样本中观察到AKR1B1表达显著增加。从机制上讲,实验表明AKR1B1调节瓦伯格效应、线粒体动力学、三羧酸循环和脂肪生成,以促进高血糖介导的MASLD和癌症进展。在实验性MASLD-HCC中观察到AKR1B1表达病理性增加,且表达与高血糖水平呈正相关。高果糖饮食+二乙基亚硝胺处理的动物也表现出代谢标志物和致癌标志物在统计学上显著升高。用依帕司他或NARI-29抑制AKR1B1可抑制细胞模型和动物模型中的细胞代谢。

结论

病理性AKR1B1调节肝脏代谢,促进MASLD相关的肝癌发生。醛糖还原酶抑制可调节糖酵解途径,防止癌前肝细胞形成。

影响与意义

本研究工作强调AKR1B1是代谢功能障碍相关脂肪性肝病(MASLD)和肝细胞癌(HCC)的可成药靶点,可为开发新的化疗药物提供依据。此外,我们的结果表明血浆AKR1B1水平作为MASLD和相关HCC的预后标志物和诊断测试的潜力。此外,本研究的一个主要发现是AKR1B1与HCC中瓦伯格效应增强有关。

https://cdn.ncbi.nlm.nih.gov/pmc/blobs/4369/10820337/f270c3723187/ga1.jpg

文献AI研究员

20分钟写一篇综述,助力文献阅读效率提升50倍。

立即体验

用中文搜PubMed

大模型驱动的PubMed中文搜索引擎

马上搜索

文档翻译

学术文献翻译模型,支持多种主流文档格式。

立即体验