Suppr超能文献

传染性支气管炎病毒马萨诸塞州基因型和德尔马瓦(DMV/1639)基因型对蛋鸡的致病性比较

Comparative pathogenicity of infectious bronchitis virus Massachusetts and Delmarva (DMV/1639) genotypes in laying hens.

作者信息

Farooq Muhammad, Abd-Elsalam Reham M, Ratcliff Natalya, Hassan Mohamed S H, Najimudeen Shahnas M, Cork Susan C, Checkley Sylvia, Niu Yan Dong, Abdul-Careem Mohamed Faizal

机构信息

Health Research Innovation Center, Faculty of Veterinary Medicine, University of Calgary, Calgary, AB, Canada.

Faculty of Veterinary Medicine, Cairo University, Giza, Egypt.

出版信息

Front Vet Sci. 2024 Jan 19;10:1329430. doi: 10.3389/fvets.2023.1329430. eCollection 2023.

Abstract

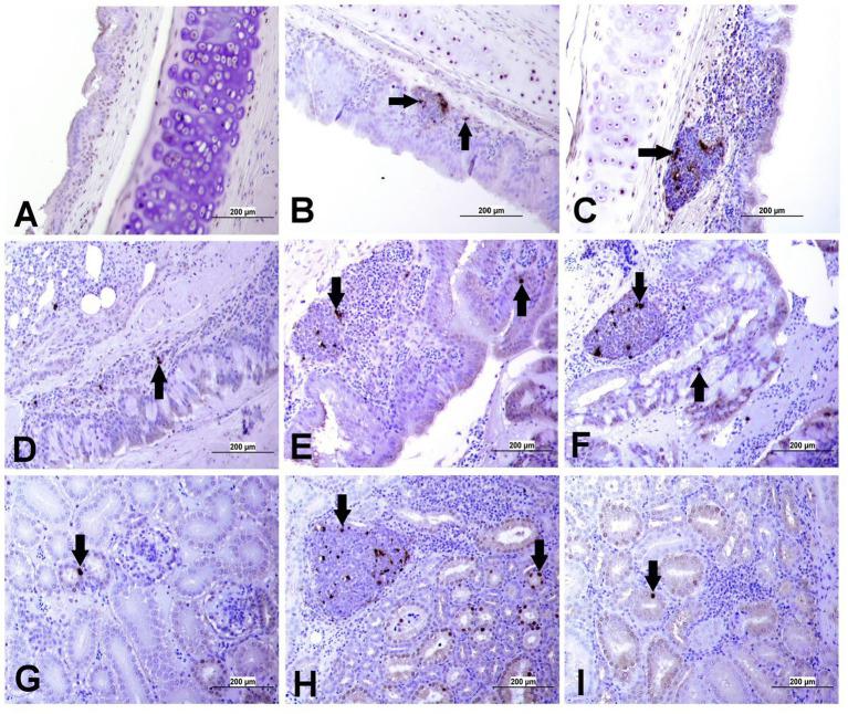
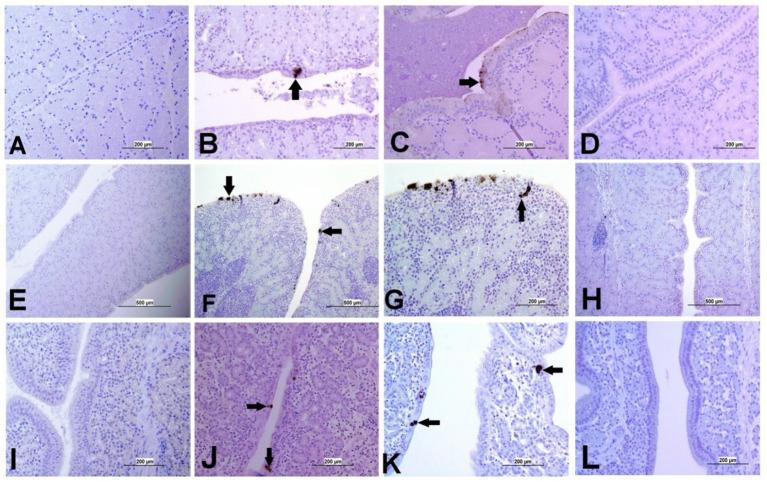
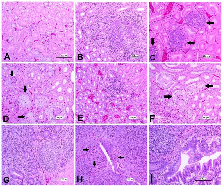
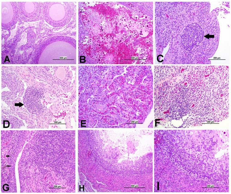
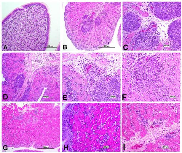
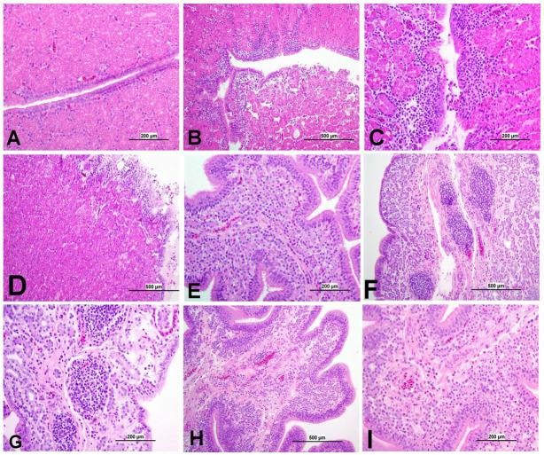
Infectious bronchitis (IB) is a highly contagious and acute viral disease of chicken caused by the infectious bronchitis virus (IBV) of the family Coronaviridae. Even with extensive vaccination against IB by the poultry industry, the occurrence of new IBV genotypes is a continuous challenge encountered by the global poultry industry. This experiment was designed to compare the pathogenicity of two IBV strains belonging to Massachusetts (Mass) and Delmarva DMV/1639 genotypes. Specific pathogen-free laying hens were challenged during the peak of production (30 weeks), keeping a mock-infected control group. During 21 days of observation following infection, a significant drop in egg production with miss-shaped and soft shells was observed in the DMV/1639 IBV-infected hens only. The DMV/1639 IBV infected group showed prolonged and higher cloacal viral shedding compared with the Mass IBV-infected group. At the end of the study (21 days post-infection), the viral genome loads in the respiratory, urogenital, and immune tissues were significantly higher in the DMV/1639 IBV-infected group compared with the Mass IBV-infected group. Macroscopic lesions such as distorted ova leading to egg peritonitis were observed only in the DMV/1639 IBV-infected group. Moreover, microscopic lesion scores were significantly higher in the lung, kidney, cecal tonsils, and oviduct of the DMV/1639 IBV-infected group compared with the Mass IBV-infected group. Finally, the apoptosis index in the kidney, ovary, magnum, isthmus, and shell gland was significantly higher in the DMV/1639 IBV-infected group compared with the control and Mass-infected groups. This study examined the pathogenicity of two IBV genotypes that are impacting the layer industry in North America.

摘要

传染性支气管炎(IB)是由冠状病毒科的传染性支气管炎病毒(IBV)引起的鸡的一种高度传染性急性病毒性疾病。尽管家禽业对IB进行了广泛的疫苗接种,但新的IBV基因型的出现仍是全球家禽业持续面临的挑战。本实验旨在比较属于马萨诸塞州(Mass)和德尔马瓦DMV/1639基因型的两种IBV毒株的致病性。在产蛋高峰期(30周龄)对无特定病原体的产蛋母鸡进行攻毒,并设 mock-infected 对照组。在感染后的21天观察期内,仅在感染DMV/1639 IBV的母鸡中观察到产蛋量显著下降,伴有蛋形异常和蛋壳变软。与感染Mass IBV的组相比,感染DMV/1639 IBV的组泄殖腔病毒排毒时间更长且排毒量更高。在研究结束时(感染后21天),与感染Mass IBV的组相比,感染DMV/1639 IBV的组在呼吸道、泌尿生殖和免疫组织中的病毒基因组载量显著更高。仅在感染DMV/1639 IBV的组中观察到诸如卵子变形导致蛋性腹膜炎等宏观病变。此外,与感染Mass IBV的组相比,感染DMV/1639 IBV的组在肺、肾、盲肠扁桃体和输卵管中的微观病变评分显著更高。最后,与对照组和感染Mass IBV的组相比,感染DMV/1639 IBV的组在肾、卵巢、膨大部、峡部和蛋壳腺中的凋亡指数显著更高。本研究考察了影响北美蛋鸡业的两种IBV基因型的致病性。

https://cdn.ncbi.nlm.nih.gov/pmc/blobs/4020/10834656/911cf6c277d4/fvets-10-1329430-g001.jpg

文献AI研究员

20分钟写一篇综述,助力文献阅读效率提升50倍。

立即体验

用中文搜PubMed

大模型驱动的PubMed中文搜索引擎

马上搜索

文档翻译

学术文献翻译模型,支持多种主流文档格式。

立即体验