Suppr超能文献

长寿人群具有年轻的红细胞功能和代谢特征。

Longevity Humans Have Youthful Erythrocyte Function and Metabolic Signatures.

作者信息

Yu Fang, Chen Changhan, Liu Wuping, Zhao Zhixiang, Fan Yuhua, Li Zhenjiang, Huang Weilun, Xie Tingting, Luo Cheng, Yao Zhouzhou, Guo Qi, Yang Zhiyu, Liu Juan, Zhang Yujin, Kellems Rodney E, Xia Jian, Li Ji, Xia Yang

机构信息

Department of Neurology, Central South University, Changsha, China.

National Medical Metabolomics International Collaborative Research Center, Central South University, Changsha, China.

出版信息

Aging Cell. 2025 May;24(5):e14482. doi: 10.1111/acel.14482. Epub 2025 Feb 9.

Abstract

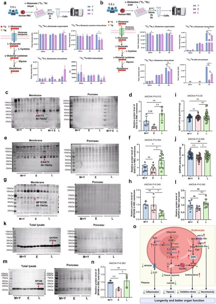
Longevity individuals have lower susceptibility to chronic hypoxia, inflammation, oxidative stress, and aging-related diseases. It has long been speculated that "rejuvenation molecules" exist in their blood to promote extended lifespan. We unexpectedly discovered that longevity individuals exhibit erythrocyte oxygen release function similar to young individuals, whereas most elderly show reduced oxygen release capacity. Untargeted erythrocyte metabolomics profiling revealed that longevity individuals are characterized by youth-like metabolic reprogramming and these metabolites effectively differentiate the longevity from the elderly. Quantification analyses led us to identify multiple novel longevity-related metabolites within erythrocytes including adenosine, sphingosine-1-phosphate (S1P), and glutathione (GSH) related amino acids. Mechanistically, we revealed that increased bisphosphoglycerate mutase (BPGM) and reduced MFSD2B protein levels in the erythrocytes of longevity individuals collaboratively work together to induce elevation of intracellular S1P, promote the release of glyceraldehyde-3-phosphate dehydrogenase (GAPDH) from membrane to the cytosol, and thereby orchestrate glucose metabolic reprogramming toward Rapoport-Luebering Shunt to induce the 2,3-BPG production and trigger oxygen delivery. Furthermore, increased glutamine and glutamate transporter expression coupled with the enhanced intracellular metabolism underlie the elevated GSH production and the higher anti-oxidative stress capacity in the erythrocytes of longevity individuals. As such, longevity individuals displayed less systemic hypoxia-related metabolites and more antioxidative and anti-inflammatory metabolites in the plasma, thereby healthier clinical outcomes including lower inflammation parameters as well as better glucose-lipid metabolism, and liver and kidney function. Overall, we identified that youthful erythrocyte function and metabolism enable longevity individuals to better counteract peripheral tissue hypoxia, inflammation, and oxidative stress, thus maintaining healthspan.

摘要

长寿个体对慢性缺氧、炎症、氧化应激和衰老相关疾病的易感性较低。长期以来,人们一直推测他们的血液中存在“年轻化分子”以促进寿命延长。我们意外地发现,长寿个体表现出与年轻人相似的红细胞氧释放功能,而大多数老年人的氧释放能力则降低。非靶向红细胞代谢组学分析表明,长寿个体具有类似年轻人的代谢重编程特征,这些代谢物能够有效地区分长寿者和老年人。定量分析使我们在红细胞中鉴定出多种与长寿相关的新型代谢物,包括腺苷、鞘氨醇-1-磷酸(S1P)和与谷胱甘肽(GSH)相关的氨基酸。机制上,我们发现长寿个体红细胞中双磷酸甘油酸变位酶(BPGM)增加和MFSD2B蛋白水平降低共同作用,诱导细胞内S1P升高,促进甘油醛-3-磷酸脱氢酶(GAPDH)从膜释放到细胞质中,从而协调葡萄糖代谢重编程向Rapoport-Luebering旁路,诱导2,3-BPG产生并触发氧输送。此外,谷氨酰胺和谷氨酸转运体表达增加以及细胞内代谢增强是长寿个体红细胞中GSH产生增加和抗氧化应激能力提高的基础。因此,长寿个体血浆中与全身缺氧相关的代谢物较少,而抗氧化和抗炎代谢物较多,从而带来更健康的临床结果,包括更低的炎症参数以及更好的糖脂代谢、肝肾功能。总体而言,我们发现年轻的红细胞功能和代谢使长寿个体能够更好地抵抗外周组织缺氧、炎症和氧化应激,从而维持健康寿命。

https://cdn.ncbi.nlm.nih.gov/pmc/blobs/ebc2/12074018/6de2efafbdc5/ACEL-24-e14482-g003.jpg

文献AI研究员

20分钟写一篇综述,助力文献阅读效率提升50倍。

立即体验

用中文搜PubMed

大模型驱动的PubMed中文搜索引擎

马上搜索

文档翻译

学术文献翻译模型,支持多种主流文档格式。

立即体验