Suppr超能文献

含III型纤连蛋白结构域蛋白1基因在泛癌中的预后及免疫意义及其与胃腺癌增殖和迁移的关系

The prognostic and immune significance of fibronectin type III domain-containing 1 gene in pan-cancer and its relationship with proliferation and migration of stomach adenocarcinoma.

作者信息

Deng Minying, Huang Wen, Luo Rongkui, Wang Huimei, Yu Zixiang, Ma Benting, Xu Lei, Zhang Xiaolei, Su Jieakesu, Xu Chen, Hou Yingyong

机构信息

Department of Pathology, Zhongshan Hospital, Fudan University, Shanghai, China.

出版信息

Transl Cancer Res. 2025 May 30;14(5):3069-3095. doi: 10.21037/tcr-2024-2279. Epub 2025 May 20.

Abstract

BACKGROUND

Fibronectin type III domain containing 1 (FNDC1) exhibits emerging roles in tumorigenesis, yet its pan-cancer implications and mechanistic contributions to stomach adenocarcinoma (STAD) remain underexplored. This study systematically evaluates FNDC1's prognostic relevance, immune interactions, and functional impact in STAD.

METHODS

Multi-omics analyses integrated FNDC1 expression, mutation profiles, and immune associations across 33 cancers using The Cancer Genome Atlas (TCGA) data. Immunohistochemistry assessed FNDC1, mismatch repair (MMR) protein, and human epidermal growth factor receptor 2 (HER2), and clinicopathological information was collected for statistical analysis. Finally, we conducted in vitro experiments to assess the effects of FNDC1 knockdown on STAD.

RESULTS

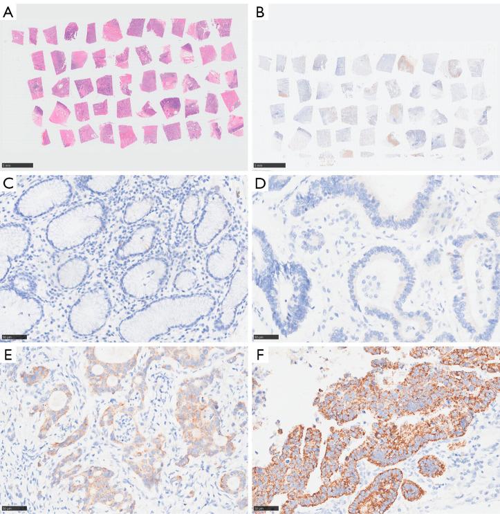
In various cancers, the main genetic alterations of are mutations and deep deletions, with a mutation frequency of 10% observed primarily in malignant melanoma and endometrial carcinoma. The expression levels of messenger RNA (mRNA) in breast invasive carcinoma (BRCA), cholangiocarcinoma (CHOL), colon adenocarcinoma (COAD), esophageal carcinoma (ESCA), head and neck squamous cell carcinoma (HNSC), kidney renal clear cell carcinoma (KIRC), and STAD are significantly higher than those in adjacent normal tissues (P<0.05). In STAD, FNDC1 shows significant correlations with cell infiltrations such as endothelial cells, eosinophils, granulocyte-monocyte progenitors, hematopoietic stem cells, macrophage M1, macrophage M2, monocytes, myeloid dendritic cells, and activated myeloid dendritic cells. In STAD, FNDC1 exhibits significant positive correlations with immune checkpoints HAVCR2 and PDCD1LG2. Proteins with similar expression patterns to FNDC1 and ranking in the top 100 include GNAS, GNB1, MXRA5, COL3A1, COL10A1, ASPN, SFRP2, SFRP4, FXYD2, and GNG2. Kyoto Encyclopedia of Genes and Genomes (KEGG) functional enrichment analysis shows that in STAD, -related genes are involved in pathways such as neuroactive ligand-receptor interaction, calcium signaling, cAMP signaling, vascular smooth muscle contraction, and pancreatic secretion. Gene Ontology (GO) functional enrichment analysis in STAD shows that FNDC1-related genes are involved in pathways related to the muscle system process, collagen-containing extracellular matrix, and receptor ligand activity. Clinical sample analysis demonstrates that FNDC1 protein is upregulated in STAD compared to adjacent normal tissues (P<0.05). Age, tumor size, tumor differentiation, Lauren classification, lymphovascular invasion, neural invasion, tumor deposit, postoperative recurrence, T stage, N stage, M stage, tumor-node-metastasis (TNM) stage, HER2 expression, and MMR protein expression are relevant risk factors for poor prognosis in STAD patients, with age, tumor size, Lauren classification, lymphovascular invasion, neural invasion, and postoperative recurrence being independent risk factors affecting prognosis. Vitro experiments demonstrate that knocking down FNDC1 can decrease the proliferation, migration and invasion abilities of STAD.

CONCLUSIONS

FNDC1 is highly expressed in various tumor tissues and may serve as a potential prognostic biomarker and immunotherapy target in cancer. It plays a crucial role in proliferation, migration and invasion of STAD.

摘要

背景

含III型纤连蛋白结构域1(FNDC1)在肿瘤发生中发挥着新出现的作用,但其在泛癌中的意义以及对胃腺癌(STAD)的机制性作用仍未得到充分研究。本研究系统地评估了FNDC1在STAD中的预后相关性、免疫相互作用和功能影响。

方法

利用癌症基因组图谱(TCGA)数据,多组学分析整合了33种癌症中FNDC1的表达、突变谱和免疫关联。免疫组织化学评估了FNDC1、错配修复(MMR)蛋白和人表皮生长因子受体2(HER2),并收集临床病理信息进行统计分析。最后,我们进行了体外实验以评估FNDC1敲低对STAD的影响。

结果

在各种癌症中,主要的基因改变是突变和深度缺失,在恶性黑色素瘤和子宫内膜癌中观察到的突变频率为10%。乳腺浸润性癌(BRCA)、胆管癌(CHOL)、结肠腺癌(COAD)、食管癌(ESCA)、头颈部鳞状细胞癌(HNSC)、肾透明细胞癌(KIRC)和STAD中FNDC1信使核糖核酸(mRNA)的表达水平显著高于相邻正常组织(P<0.05)。在STAD中,FNDC1与内皮细胞、嗜酸性粒细胞、粒细胞-单核细胞祖细胞、造血干细胞、巨噬细胞M1、巨噬细胞M2、单核细胞、髓样树突状细胞和活化的髓样树突状细胞等细胞浸润显著相关。在STAD中,FNDC1与免疫检查点HAVCR2和PDCD1LG2呈显著正相关。与FNDC1表达模式相似且排名前100的蛋白质包括GNAS、GNB1、MXRA5、COL3A1、COL10A1、ASPN、SFRP2、SFRP4、FXYD2和GNG2。京都基因与基因组百科全书(KEGG)功能富集分析表明,在STAD中,与FNDC1相关的基因参与神经活性配体-受体相互作用、钙信号、环磷酸腺苷(cAMP)信号、血管平滑肌收缩和胰腺分泌等途径。STAD中的基因本体论(GO)功能富集分析表明,FNDC1相关基因参与与肌肉系统过程、含胶原蛋白的细胞外基质和受体配体活性相关的途径。临床样本分析表明,与相邻正常组织相比,STAD中FNDC1蛋白上调(P<0.05)。年龄、肿瘤大小、肿瘤分化、劳伦分类、淋巴管侵犯、神经侵犯、肿瘤沉积物、术后复发、T分期、N分期、M分期、肿瘤-淋巴结-转移(TNM)分期、HER2表达和MMR蛋白表达是STAD患者预后不良的相关危险因素,年龄、肿瘤大小、劳伦分类、淋巴管侵犯、神经侵犯和术后复发是影响预后的独立危险因素。体外实验表明,敲低FNDC1可降低STAD的增殖、迁移和侵袭能力。

结论

FNDC1在各种肿瘤组织中高表达,可能作为癌症潜在的预后生物标志物和免疫治疗靶点。它在STAD的增殖、迁移和侵袭中起关键作用。

https://cdn.ncbi.nlm.nih.gov/pmc/blobs/3a5c/12170108/98cfdf74be05/tcr-14-05-3069-f1.jpg

文献AI研究员

20分钟写一篇综述,助力文献阅读效率提升50倍。

立即体验

用中文搜PubMed

大模型驱动的PubMed中文搜索引擎

马上搜索

文档翻译

学术文献翻译模型,支持多种主流文档格式。

立即体验