Suppr超能文献

严重急性呼吸综合征冠状病毒2(SARS-CoV-2)的单体而非同源三聚体刺突蛋白激活Toll样受体4(TLR4)信号传导。

The monomeric but not homotrimeric spike protein of SARS-CoV-2 activates TLR4 signaling.

作者信息

Lübow Charlotte, Weindl Günther

机构信息

Pharmaceutical Institute, Section of Pharmacology and Toxicology, University of Bonn, Gerhard-Domagk-Straße 3,, 53121, Bonn, Germany.

出版信息

Mol Biol Rep. 2025 Jun 23;52(1):629. doi: 10.1007/s11033-025-10736-4.

Abstract

BACKGROUND

Recent findings indicate that hyperinflammatory responses to SARS-CoV-2 are major contributors to the severity and fatality of COVID-19. Pattern recognition receptors, particularly Toll-like receptors 2 (TLR2) and 4 (TLR4), have been implicated in detecting SARS-CoV-2 proteins, especially the spike protein. However, the role of viral structural components in triggering innate immune responses remains poorly understood.

METHODS AND RESULTS

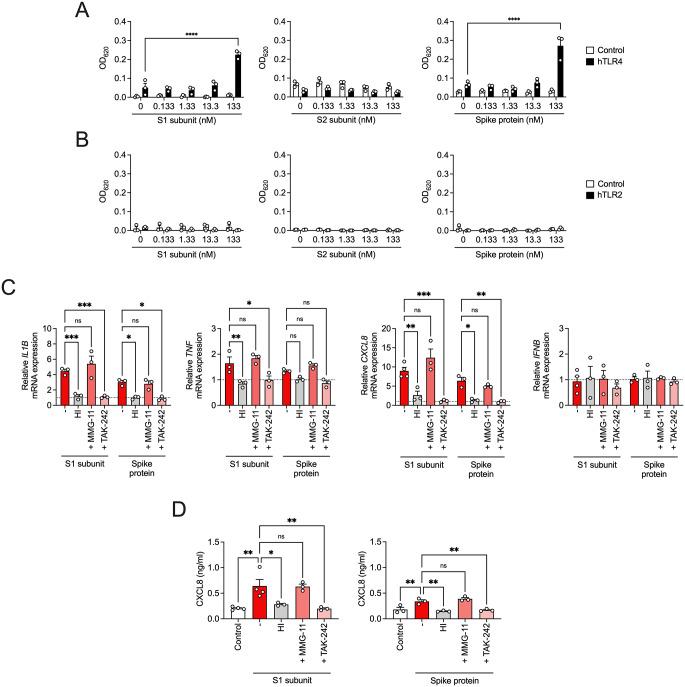
HEK293 reporter cells, engineered to stably express TLR2 or TLR4, and THP-1 differentiated macrophages were exposed to various spike protein components and SARS-CoV-2 variants. Protein levels of cytokines were detected by ELISA and mRNA expression was evaluated by quantitative real-time RT-PCR. We demonstrate that the S1 subunit and full-length spike protein elicit TLR4-dependent pro-inflammatory responses. TLR4 activation was triggered by the monomeric, but not the homotrimeric, form of the SARS-CoV-2 spike protein.

CONCLUSIONS

These findings suggest that distinct elements of the SARS-CoV-2 spike protein differentially activate TLR4 signaling pathways, driving innate immune and inflammatory responses.

摘要

背景

最近的研究结果表明,对严重急性呼吸综合征冠状病毒2(SARS-CoV-2)的过度炎症反应是冠状病毒病(COVID-19)严重程度和死亡率的主要因素。模式识别受体,特别是Toll样受体2(TLR2)和4(TLR4),参与检测SARS-CoV-2蛋白,尤其是刺突蛋白。然而,病毒结构成分在触发先天性免疫反应中的作用仍知之甚少。

方法与结果

将经过基因工程改造以稳定表达TLR2或TLR4的人胚肾293(HEK293)报告细胞和经分化的单核细胞增多性李斯特菌(THP-1)巨噬细胞暴露于各种刺突蛋白成分和SARS-CoV-2变体中。通过酶联免疫吸附测定(ELISA)检测细胞因子的蛋白质水平,并通过定量实时逆转录聚合酶链反应(RT-PCR)评估信使核糖核酸(mRNA)表达。我们证明,S1亚基和全长刺突蛋白引发依赖TLR4的促炎反应。TLR4激活是由SARS-CoV-2刺突蛋白的单体形式而非同源三聚体形式触发的。

结论

这些发现表明,SARS-CoV-2刺突蛋白的不同元件差异激活TLR4信号通路,驱动先天性免疫和炎症反应。

https://cdn.ncbi.nlm.nih.gov/pmc/blobs/199a/12185570/07a4065e0d8a/11033_2025_10736_Fig1_HTML.jpg

文献AI研究员

20分钟写一篇综述,助力文献阅读效率提升50倍。

立即体验

用中文搜PubMed

大模型驱动的PubMed中文搜索引擎

马上搜索

文档翻译

学术文献翻译模型,支持多种主流文档格式。

立即体验