Suppr超能文献

巨噬细胞代谢适应和功能的破坏驱动衰老诱导的脊椎动物再生能力下降。

Disrupted macrophage metabolic adaptation and function drive senescence-induced decline in vertebrate regeneration.

作者信息

Barthelaix Audrey, Terraza-Aguirre Claudia, Río-Jay Yalén Del, Bohaud Candice, Salvador Jérémy, Morille Marie, Ferreira Miguel Godinho, Jorgensen Christian, Djouad Farida

机构信息

IRMB, Univ Montpellier, INSERM, Montpellier, France.

ICGM, Univ Montpellier, CNRS, ENSCM, Montpellier, France.

出版信息

Theranostics. 2025 Jun 20;15(15):7308-7326. doi: 10.7150/thno.111352. eCollection 2025.

Abstract

RATIONALE

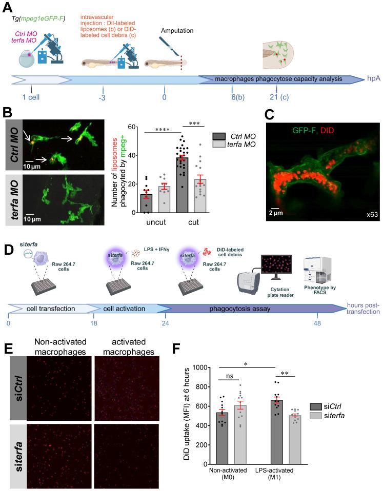
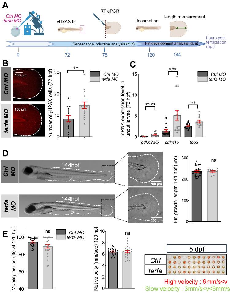
Senescent cells accumulate with age and contribute to impaired tissue regeneration. Here, we developed a senescence-accelerated zebrafish (SAZ) model, characterized by accelerated senescence-like traits and a significant impairment in caudal fin regeneration.

METHODS

To investigate the underlying mechanisms of this regenerative defect, we employed a multifaceted approach. We used transgenic zebrafish lines for 4-D tracking of macrophage subsets during regeneration and performed parabiosis to assess the impact of systemic factors. Then, we isolated macrophages by FACS-sorting for a comprehensive transcriptomic study using RT-qPCR, enabling us to analyze both senescence markers and metabolic markers specifically within SAZ macrophages. Furthermore, we conducted phagocytosis assays to evaluate macrophage function. To explore the role of specific metabolic pathways, we used pharmacological treatments with oligomycin and galloflavin.

RESULTS

Our findings revealed that the reduced regenerative potential in SAZ was partly attributable to an impaired macrophage response during regeneration. We observed higher expression of the senescence marker in SAZ macrophages, which correlated with their reduced ability to polarize into a pro-inflammatory phenotype and exert efficient phagocytosis. These observations were linked to a significant downregulation of , a key enzyme in lactate production, specifically within SAZ macrophages at 24 hours post-amputation. Enhancing anaerobic glycolysis in the SAZ model during early regeneration restored expression, normalized macrophage activation dynamics, and ultimately rescued caudal fin regeneration. This rescue was entirely abolished by co-treatment with galloflavin, a direct inhibitor of LDH isoforms A and B, thereby underscoring the critical role of lactate metabolism in the regenerative process.

CONCLUSION

Collectively, our findings demonstrate that senescence impairs regeneration by altering macrophage metabolic adaptation and functions, providing novel insights into the interplay between aging and regenerative capacity.

摘要

原理

衰老细胞随年龄积累,导致组织再生受损。在此,我们构建了一种衰老加速斑马鱼(SAZ)模型,其特征为衰老样特征加速且尾鳍再生显著受损。

方法

为研究这种再生缺陷的潜在机制,我们采用了多方面的方法。我们使用转基因斑马鱼品系对再生过程中的巨噬细胞亚群进行4D追踪,并进行联体共生实验以评估全身因素的影响。然后,我们通过荧光激活细胞分选(FACS)分离巨噬细胞,用于使用逆转录定量聚合酶链反应(RT-qPCR)进行全面的转录组学研究,使我们能够专门分析SAZ巨噬细胞内的衰老标志物和代谢标志物。此外,我们进行吞噬试验以评估巨噬细胞功能。为探索特定代谢途径的作用,我们使用寡霉素和没食子黄素进行药物治疗。

结果

我们的研究结果表明,SAZ中再生潜力降低部分归因于再生过程中巨噬细胞反应受损。我们观察到SAZ巨噬细胞中衰老标志物的表达较高,这与其极化成为促炎表型并发挥有效吞噬作用的能力降低相关。这些观察结果与乳酸产生中的关键酶——在截肢后24小时时,特别是在SAZ巨噬细胞内显著下调有关。在早期再生过程中增强SAZ模型中的无氧糖酵解可恢复该酶表达,使巨噬细胞激活动力学正常化,并最终挽救尾鳍再生。用没食子黄素(LDH同工型A和B的直接抑制剂)联合处理完全消除了这种挽救作用,从而突出了乳酸代谢在再生过程中的关键作用。

结论

总体而言,我们的研究结果表明衰老通过改变巨噬细胞代谢适应和功能损害再生,为衰老与再生能力之间的相互作用提供了新的见解。

https://cdn.ncbi.nlm.nih.gov/pmc/blobs/0767/12315812/1810d19865f5/thnov15p7308g001.jpg

文献AI研究员

20分钟写一篇综述,助力文献阅读效率提升50倍。

立即体验

用中文搜PubMed

大模型驱动的PubMed中文搜索引擎

马上搜索

文档翻译

学术文献翻译模型,支持多种主流文档格式。

立即体验